Определение болезни. Причины заболевания
Радикулярная киста (radicular cyst) — это доброкачественное полостное образование, расположенное в области верхушки корня зуба. Стенки кисты состоят из многослойного плоского эпителия, просвет кисты заполнен жидкостью, содержащей кристаллы холестерина и единичные слущенные клетки эпителия.
Радикулярная киста зуба
Синонимы: киста зуба, околокорневая, периапикальная, корневая и одонтогенная киста.
Образование и рост радикулярной кисты часто протекает без выраженных проявлений. Поэтому пациенты годами могут не предполагать о развитии заболевания и не обращаться по этому поводу за медицинской помощью.
Корневая киста характеризуется постоянным медленным ростом. Из-за этого часто развиваются обширные костные дефекты в челюстях [1]. Заболевание можно выявить с помощью рентгенологического обследования челюстно-лицевой области.
Распространённость
Радикулярные кисты составляют 7–12 % случаев среди всех заболеваний челюстно-лицевой области [2]. Околокорневые кисты могут формироваться в любом возрасте, однако чаще возникают у мужчин старше 30 лет. Возможно, это связано с более частым развитием кариеса у этой группы.
Около 50 % радикулярных кист образуется на фронтальной (передней) группе зубов: резцах и клыках [3]. На верхней челюсти околокорневые кисты формируются в 3 раза чаще, чем на нижней [4]. Это связано с более развитым кровоснабжением зубов верхней челюсти и более пористым строением костной ткани.
Гипотезы происхождения радикулярных кист
- Корневая киста развивается из остатков эмбрионального эпителия зубообразовательной пластинки. Эти остатки эпителия более известны как клетки Малассе — Астахова [5].
- В образовании кист челюстей участвуют оболочки полости рта. Автор гипотезы настаивает на разрастании этих клеток под влиянием воспалительных реакций в тканях периодонта, которые окружают и поддерживают зубы [6].
- Глубокие слои эпителия десны разрастаются и проникают в ткани периодонта [7].
- Предшественником радикулярной кисты является не простое воспалительное разрастание, а дифференцированная опухоль. Предшествовавший корневой кисте воспалительный процесс с образованием гранулёмы подтверждает эту гипотезу [8]. В данном случае речь идёт о постепенном преобразовании воспалительной ткани в кисту.
Согласно современному представлению о формировании радикулярных кист, эпителиальные клетки Малассе, которые предотвращают сращение зуба и альвеолы и сохраняют периодонтальные связки, внедряются в воспалительный очаг в области верхушки корня зуба. Происхождение этих эпителиальных включений трактуется по-разному. Однако большинство авторов сходятся во мнении, что киста образуется под влиянием воспалительного процесса в тканях периодонта.
Периодонт и альвеола
Причины развития радикулярных кист
- Осложнённый кариес (периодонтит). Инфекция проникает через корневой канал за верхушку корня, где образуется воспалительный очаг. Однако не всегда периодонтит сопровождается развитием корневой кисты [9].
- Травматическое поражение зуба. Травма может быть острой и хронической. При хронической травме ткани периодонта периодически повреждаются. Сила этого воздействия небольшая и какое-то время организм справляется с повреждениями. Но со временем ресурсы организма истощаются и в тканях периодонта развиваются посттравматические изменения. К хронической травме можно отнести неадаптированную по прикусу «высокую» пломбу, которая сильнее давит на зуб-антагонист при жевании. Сюда же можно отнести привычку накусывать зубами гвозди или другие предметы, колоть зубами орехи. При острой травме сила воздействия выше, чем компенсационная способность связочного аппарата зуба. Это также вызывает воспаление в костной ткани вокруг верхушки корня. К острой травме относится попадание камешка при пережёвывании пищи, удар, открывание бутылок или банок зубами.
- Нарушение иммунитета. При снижении защитных сил организм не может противостоять патологическому процессу, и он прогрессирует.
- Некачественное лечение корневого канала, которое приводит к развитию воспаления. Из-за распространённости эндодонтического лечения (лечения корневых каналов с последующим пломбированием) растёт и число случаев осложнений: отламывается инструмент в корневом канале; пломбировочный материал вводится за физиологическую верхушку корня; корневой канал заполняется пломбировочным материалом не на всю протяжённость; неправильно выполняется антисептическая обработка каналов зуба (например, не соблюдается последовательность обработки корневого канала).
Зачастую околокорневая киста формируется под воздействием нескольких факторов.
Симптомы кисты зуба
Как правило, полостные новообразования развиваются бессимптомно, радикулярная киста не исключение. Она может незаметно для пациента расти в течение нескольких лет, иногда десятилетий [10]. Именно поэтому кисту сложно выявить своевременно.
Косвенно указывать на наличие кисты может осложнённый кариес. В этом случае сначала пациента беспокоят только симптомы кариеса. Если его вовремя не вылечить, развивается пульпит, т. е. воспаление пульпы (сосудисто-нервного пучка зуба). В случае некроза (гибели) пульпы возможно потемнение причинного зуба. Иногда отмечаются периодические боли в области причинного зуба. При распространении патологического процесса беспокоить может сразу несколько зубов. Некроз пульпы сопровождается распространением инфекции в костную ткань за пределы верхушки корня зуба с образованием периодонтита. После лечения острого процесса симптоматика стихает, при этом киста никак себя не проявляет.
Кариес, пульпит и периодонтит
При нагноении кисты заболевание иногда протекает по типу острого гнойного периостита (воспаления надкостницы) и на этапе диагностики может остаться незамеченным. По сути нагноение кисты — это и есть гнойный периостит. Однако при наличии кисты нужно не только вылечить воспаление периодонта, но и удалить фиброзную оболочку кисты, чтобы исключить повторное нагноение. Поэтому принято ставить диагноз «нагноившаяся радикулярная киста», хотя по Международной классификации болезней 10-го пересмотра (МКБ-10) периостит входит в группу К10.2 Воспалительные заболевания челюстей.
При нагноении появляется боль, которая иногда распространяется в висок, уши и глаза. Температура тела может повышаться до 37–37,5 °С. Пациент чувствует общее недомогание и озноб.
В случае формирования больших радикулярных кист (до нескольких сантиметров) могут деформироваться кости челюсти. В этом случае пациент будет жаловаться на изменение конфигурации лица. В практике встречался пациент с кистой размером 5–6 см, она была от клыка до клыка на нижней челюсти.
Корневые кисты на верхней челюсти могут прорастать в носовую полость или верхнечелюстную пазуху. При этом изменяется слизистая оболочка пазухи, что ухудшает носовое дыхание на поражённой стороне. Но иногда и такой вариант распространения патологического процесса может протекать без клинических проявлений.
Киста на нижней челюсти в области больших и малых коренных зубов может сдавливать нижнечелюстной канал, в котором находится сосудисто-нервный пучок нижней челюсти. Из-за этого изменяется иннервация (связь с центральной нервной системой) и кровоснабжение мягких тканей, зубов и костной части. У пациента снижается чувствительность зубов, мягких тканей губы, кожи подбородка и слизистой оболочки преддверия полости рта. Чем больше киста, тем сильнее она давит на нерв и тем сильнее снижается чувствительность. Боли при сдавлении нерва не возникает. Она появляется при невритах (воспалении нервов), однако при радикулярных кистах нервы не воспаляются.
Нижнечелюстной канал
Патогенез кисты зуба
Строение и функции периодонта
Периодонт — это связочный аппарат зуба, расположенный между пластинкой альвеолы (углубления в кости челюсти, где располагается зуб) и цементом корня зуба. Его функции — удерживать зуб и перераспределять жевательную нагрузку. Средняя ширина периодонта составляет 0,2–0,25 мм.
Периодонт состоит из рыхлой волокнистой соединительной ткани, основным компонентом которой являются коллагеновые волокна 1-го типа. Между пучками коллагена находится межклеточное вещество с кровеносными и лимфатическими сосудами, а также нервными окончаниями. Коллагеновые волокна достаточно прочные и жёсткие, но за счёт спиралевидных изгибов зуб физиологически подвижен и жевательная нагрузка распределяется равномерно. Альвеола со стороны периодонта представлена пучковой костью, в неё вплетаются волокна периодонтальных связок.
Клеточный состав периодонта включает в основном фибробласты, цементобласты и остеобласты. Из фибробластов образуется коллаген, из цементобластов — цемент корня зуба, из остеобластов — костная ткань. Также в периодонте есть эпителиальные островки Малассе, которые препятствуют сращению зуба и альвеолы [11].
Островки Малассе
Патогенез радикулярной кисты
Радикулярные кисты чаще формируются в области зубов, поражённых гранулематозным периодонтитом. Гранулематозный периодонтит — это хроническое воспалительное заболевание периодонта, при котором в области верхушки корня зуба образуются гранулёмы — специфические соединительнотканные образования, отделяющие инфекционный очаг от здоровых тканей.
При повторных обострениях периодонтита ухудшается капиллярное кровоснабжение костной ткани в области гранулёмы (образуются застои и микротромбы). Из-за этого вокруг неё скапливаются фибробласты, которые вырабатывают коллаген и формируют фиброзную соединительнотканную оболочку.
В период ремиссии внутри фиброзной капсулы гранулёмы развиваются эпителиальные клетки с последующим замещением грануляционной ткани на эпителиальную. При дальнейшем развитии эпителиальных клеток формируется внутренняя эпителиальная оболочка гранулёмы. Оболочка вырабатывает секрет, из-за этого гранулёма растёт.
Со временем формируется кистогранулёма, позднее — эпителиальная радикулярная киста. Такая киста медленно растёт за счёт увеличения её содержимого. Внутри кисты находится жидкость с кристаллами холестерина и единичными эпителиальными клетками. Растущая киста давит на окружающую костную ткань, из-за этого её питание ухудшается и кость рассасывается.
Со временем радикулярная киста способна разрушить не только губчатое вещество костной ткани, но и более прочный кортикальный слой. Это грозит деформацией костей, сдавлением сосудисто-нервного пучка нижней челюсти, прорастанием кисты в просвет полости носа или верхнечелюстной пазухи, патологическим переломом челюсти [12]. Истончение костной ткани может быть настолько выражено, что иногда даже мягкая пища провоцирует перелом.
Классификация и стадии развития кисты зуба
В МКБ-10 патология относится к группе болезней пульпы и периапикальных тканей и кодируется как К04.8 Корневая киста.
Стадии развития заболевания:
- Стадия инициации. Характеризуется стимуляцией и разрастанием эпителиальных клеток островков Малассе. Клинически эта стадия никак себя не проявляет.
- Формирование кисты. На этой стадии накапливается кистозная жидкость. Она образуется из капиллярной сети гранулёмы: из просвета кровеносных сосудов плазма крови высвобождается в сформировавшуюся оболочку. Жидкость проникает в полость кисты за счёт разности давления между плазмой крови и содержимым кисты. Чаще эта ситуация протекает без клинических проявлений, иногда появляется дискомфорт при накусывании.
- Рост кисты. Из-за нарастающего напряжения внутри кисты усиливается давление на кость. В результате костная ткань рассасывается, а за счёт этого киста продолжает расти. Киста всегда увеличивается по пути меньшего сопротивления. Например, в области резцов, клыков, щёчных корней премоляров и моляров (малых и больших коренных зубов) она растёт вперёд, в сторону губ, так как здесь более тонкая вестибулярная пластинка. При формировании кисты в области нёбного корня премоляров и моляров возможен рост в нёбном направлении. В области моляров нижней челюсти кортикальная пластинка с обеих сторон достаточно прочная, поэтому киста растёт вбок и вниз. В этом случае при несвоевременной диагностике смещается нижнелуночковый нерв. Часто при поздней диагностике киста прорастает в полость носа или в верхнечелюстную пазуху в зависимости от расположения кисты [12].
Стадии развития кисты зуба
Осложнения кисты зуба
Самым распространённым осложнением околокорневой кисты является нагноение с последующим формированием абсцесса (гнойника). Сначала в кисту проникает инфекция, обычно из корневого канала зуба, реже с током крови или лимфы. Затем инфекция быстро распространяется, что сопровождается ярким воспалительным процессом. Серозное содержимое околокорневой кисты быстро сменяется гнойным. Воспаление обычно распространяется под надкостницу либо клетчаточные пространства лица и шеи с формированием поднадкостничного абсцесса (периостита) и абсцесса челюстно-лицевых областей.
Периостит. При периостите пациент жалуется на боли в области нескольких зубов, которые иногда распространяются по всей стороне лица. Отмечается отёчность мягких тканей лица, возможно повышение температуры тела, озноб, головные боли и тошнота. Симптомы заболевания во многом зависят от локализации патологического процесса, его распространённости и иммунного статуса пациента.
Периостит
Абсцесс мягких тканей. Если под воздействием большой кисты кость разрушается, то воспаление быстро распространяется в мягкие ткани с формированием абсцессов. Характерным признаком абсцесса является локализованность — ограничение воспалительного очага от окружающих здоровых тканей. Клиническая картина при абсцессе более выраженная. Пациент отмечает сильные боли, повышенную температуру тела, озноб, головные боли.
При расположении гнойника в области нижней челюсти может появиться боль при глотании, иногда пациенту трудно открыть рот. Лицо становится асимметричным из-за выраженного отёка мягких тканей около воспалительного очага. В области абсцесса кожа часто становится горячей и краснеет. При поверхностном расположении абсцесса кожа напряжена, прощупывание вызывает боль. В таких ситуациях обычно наблюдается лимфаденит — воспаление регионарных лимфатических узлов.
Одонтогенный верхнечелюстной синусит. Часто развивается, если киста расположена в области жевательных зубов верхней челюсти. Если в полости кисты не протекает острый воспалительный процесс, то слизистая оболочка пазухи не изменяется или незначительно утолщается. Иногда растущая радикулярная киста смещает и деформирует костное дно пазухи. Такие кисты называют оттесняющими [13].
При хроническом течении верхнечелюстного синусита пациент может не отмечать никаких изменений. Иногда пациенту труднее дышать, изменяются запахи, появляются другие симптомы хронического гайморита.
Нагноение одонтогенной корневой кисты, прилежащей к верхнечелюстной пазухе. Протекает по сценарию острого гнойного верхнечелюстного синусита с выраженной симптоматикой и клинической картиной: боли в области поражённой пазухи, заложенность носа, гнойные выделения из носа, изменение в восприятии запаха, тяжесть в области лба при наклоне головы вперёд, часто озноб, повышенная температура тела, слабость и головная боль.
Перелом нижней челюсти. Корневая киста нижней челюсти может достигать больших размеров. Костная ткань иногда настолько поражена, что при обычной жевательной нагрузке происходит перелом нижней челюсти. Это случается редко, однако такой вариант возможен.
Энцефалит. Наиболее неблагоприятным исходом гнойно-воспалительного процесса является развитие энцефалита (воспаления тканей головного мозга) и сепсиса (системной воспалительной реакции всего организма). Современные лекарственные препараты позволяют минимизировать количество общих осложнений на фоне инфицирования корневых кист, однако такой исход развития заболевания нельзя исключать.
Диагностика кисты зуба
Радикулярные кисты сложно выявить своевременно из-за их бессимптомного течения. При этом без лечения они могут достигать внушительных размеров и вызывать серьёзные местные и общие осложнения [14]. Поэтому своевременная диагностика кисты так же важна, как и её рациональное лечение.
Методы обследования пациентов с радикулярными кистами можно разделить на клинические, аппаратные и лабораторные.
Клинические методы обследования
Сбор жалоб. Как правило, пациент ни на что не жалуется. Если поражена пульпа, зуб иногда темнеет, а пациент отмечает периодическую болезненность при накусывании на зуб. При обширных радикулярных кистах возможно изменение конфигурации лица. Если киста прорастает в верхнечелюстную пазуху или полость носа, пациент может жаловаться на затруднение носового дыхания на поражённой стороне.
При расположении кисты в области жевательного зуба нижней челюсти иногда сдавливается нижнечелюстной канал. В этом случае пациент отмечает изменение чувствительности нижней губы, кожи подбородка и слизистой оболочки полости рта. Если корневая киста нагноилась, пациент чувствует боль, отёчность, возможно повышение температуры тела.
Сбор анамнеза. В истории заболевания пациент отмечает периодические боли в области причинного зуба, которые могут усиливаться при жевании.
Осмотр. При внешнем осмотре часто не выявляется никаких особенностей. Однако при больших кистах иногда изменяется конфигурация лица. Если присоединилась инфекция и начался гнойно-воспалительный процесс, то наблюдается отёк мягких тканей, иногда покраснение кожи. Обычно пациент без труда открывает рот, боли при этом не возникает. Изменение со стороны лимфатических узлов отмечается на фоне острого гнойно-воспалительного процесса.
В полости рта тоже обычно нет изменений, которые бы указывали на радикулярную кисту. При накусывании на зуб и постукивании пациент может не чувствовать неприятных ощущений. Однако в случае большой кисты кортикальная пластинка челюсти становится тоньше, поэтому при пальпации в этой области возможен «пергаментный хруст».
При появлении гнойника слизистая оболочка полости рта краснеет и уплотняется. Пациент отмечает болезненность в области причинного зуба (нескольких зубов). При пальпации преддверия полости рта (её переднего отдела) наблюдается отёчность и выбухание слизистой оболочки — признаки сформированного абсцесса.
Инструментальная диагностика
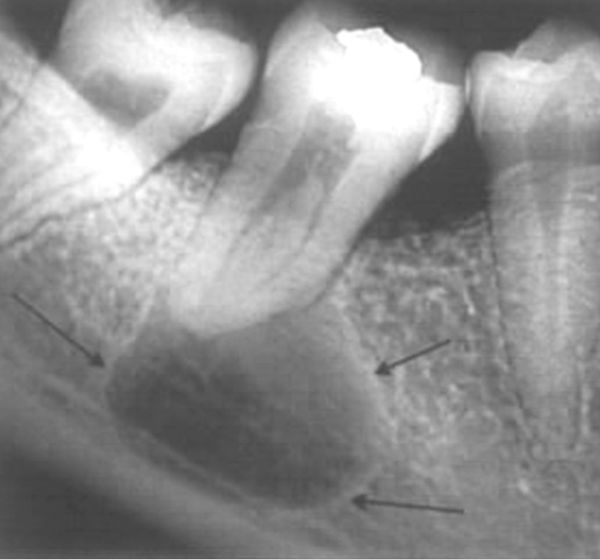
Прицельная рентгенограмма/радиовизиограмма. При наличии радикулярной кисты на рентгенограмме видно разрушение костной ткани округлой формы. Контуры разрушения чёткие и ровные, так как растущая киста постепенно оттесняет кость. Иногда киста распространяется на несколько зубов. Если киста большая, на снимке она может быть видна не полностью.
![Радикулярная киста на рентгенограмме [21] Радикулярная киста на рентгенограмме [21]](/media/bolezny/kista-zuba/radikulyarnaya-kista-na-rentgenogramme-21_s.jpeg)
Радикулярная киста на рентгенограмме [21]
Ортопантомограмма (ОПТГ). Это рентгенологическое исследование, позволяющее получить развёрнутое изображение верхней и нижней челюстей вместе с зубами. При околокорневых кистах этот метод довольно информативен. Можно оценить размеры кисты, вовлечённость в патологический процесс соседних зубов, а также других анатомических структур (верхнечелюстной пазухи, полости носа, нижнечелюстного канала).
Компьютерная томограмма (КТ). Это метод послойного рентгеновского изучения органов и тканей. Он позволяет оценить патологию в трёх проекциях и увидеть наиболее полную картину заболевания. Это исследование самое информативное при распространении кисты в верхнечелюстную пазуху, носовую полость и нижнечелюстной канал.
Электроодонтодиагностика (ЭОД). Позволяет определить пороговое возбуждение болевых и тактильных рецепторов пульпы при прохождении через неё электрического тока. К зубу присоединяется электрод, и на него подаётся напряжение. На экране прибора транслируется сила тока от единицы и более. При околокорневой кисте сосудисто-нервный пучок зуба нежизнеспособен, поэтому показатели чувствительности равны 100–120 мкА.
Чаще всего из этих методов инструментальной диагностики используются рентген, ОПТГ и КТ. Результаты этих исследований помогают планировать лечение на всех этапах и позволяют снизить возможные осложнения.
Лабораторная диагностика
Лабораторная диагностика необходима, чтобы отличить доброкачественное образование от злокачественного.
Цитологическое исследование. Это изучение особенностей строения клеток. Сначала проводится пункция — в полость кисты вводят иглу и берут её содержимое. После этого полученный материал изучается в лаборатории под микроскопом. Цитологическое исследование проводится, если после рентгенографии или КТ возникает подозрение на злокачественный характер новообразования.
Патогистологическое исследование. Метод направлен на изучение структуры тканей и клеток, он незаменим для исключения злокачественного опухолевого процесса. Патогистологическое исследование можно провести только после удаления кисты.
Дифференциальная диагностика
Направлена на исключение заболеваний, которые похожи на радикулярную кисту по каким-либо критериям:
- Фолликулярная киста. В отличие от корневой кисты, она расположена в области коронковой части постоянного зуба.
- Киста резцового канала. Формируется чётко в области средней линии твёрдого нёба за верхними центральными резцами.
- Амелобластома. Это доброкачественная опухоль. Обычно она располагается в области угла и тела нижней челюсти и не связана с воспалительными процессами в области корней зубов. Часто имеет вид поликистозного образования.
- Остеобластокластома. Доброкачественная опухоль с ячеистым строением и менее выраженными рентгенологическими границами.
С онкологическими заболеваниями дифференциальная диагностика радикулярной кисты обычно не проводится, так как у них нет ничего общего.
Окончательный диагноз «радикулярная киста» ставится на основании клинического, рентгенологического и патологоанатамического исследований, а также после проведения дифференциальной диагностики.
Лечение кисты зуба
Виды лечения радикулярных кист можно разделить на консервативные, хирургические и консервативно-хирургические.
Консервативное лечение
Консервативный метод направлен на удаление некротизированного сосудисто-нервного пучка зуба (пульпы) и устранение патологических изменений кости за верхушкой корня.
Распавшаяся пульпа удаляется специальными эндодонтическими инструментами. Затем расширяется корневой канал и проводится антисептическая обработка. В корневой канал вводятся лечебные пасты, которые устраняют микробную флору и восстанавливают поражённую костную ткань. Эти пасты вводят на период от нескольких дней до 1–1,5 месяцев. Обычно этот процесс переносится хорошо, но иногда пасты вызывают обострение процесса с выраженными болями. Чтобы паста не попала в рот, полость зуба герметично закрывается временной пломбой.
Если воспаление костной ткани устраняется, корневые каналы заполняются постоянным материалом, дефект твёрдых тканей зуба закрывается пломбой.
Удаление пульпы и пломбировка каналов
Дело в том, что в самой полости кисты нет микроорганизмов. Это ответная реакция на высокую концентрацию микроорганизмов в инфицированных корневых каналах. После правильной обработки каналов количество микробов снижается и организм с помощью клеточного иммунитета справляется с небольшим количеством микроорганизмов в области верхушки корня. «Барьер» в виде тонкой соединительнотканной оболочки кисты становится не нужен, и макрофаги полностью уничтожают оболочку. При незначительных размерах кисты, рациональном лечении и способности организма противостоять заболеванию консервативное лечение даёт хороший результат — оболочка радикулярной кисты полностью рассасывается, альвеолярная пучковая кость восстанавливается.
После окончательной обработки каналов рекомендуется сделать КТ через 6 и 12 месяцев. При полном рассасывании кисты рецидивов опасаться не стоит, так как причина (бактериальное инфицирование каналов) устранена полностью.
После лечения корневых каналов зуб не получает полноценного питания, поэтому со временем может разрушаться. Чтобы этого не допустить, депульпированные зубы рекомендуется покрывать искусственными коронками.
При неэффективности консервативного метода и сохранении очага деструкции проводится хирургическое удаление кисты. Такое сочетание методов называют консервативно-хирургическим лечением.
Хирургическое лечение
Хирургический метод подразумевает удаление кисты у ранее депульпированного зуба, при этом часто отсекается верхушка корня зуба. Операция проводится строго по показаниям: при отломе инструмента, некачественном лечении коревого канала или если корень выступает в полость кисты. Объём оперативного вмешательства определяется при диагностике.
Чтобы улучшить прогноз после оперативного лечения, костный дефект чаще стали замещать остеопластическими материалами [15][16]. Такие материалы восстанавливают утраченную костную ткань и стимулируют образование новой.
Одним из основных направлений в современной реконструктивно-восстановительной хирургии является применение биотехнологий, которые позволяют ускорить процессы регенерации повреждённых тканей [17]. Речь идёт о тромбоцитарных факторах роста, полученных из собственной крови пациента. Сначала у пациента берут венозную кровь. Затем при помощи центрифуги разделяют кровь на фракции. Фракцию, богатую тромбоцитами, применяют для восстановления дефектов костной ткани. Этот способ доступен почти везде.
Есть два основных хирургический метода лечения радикулярных кист: цистэктомия и цистотомия.
1. Цистэктомия — это операция, при которой фиброзная оболочка кисты удаляется полностью. Обычно проводится в амбулаторно-поликлинических условиях под местной анестезией. Если киста большая и затрагивает полость носа, верхнечелюстную пазуху или нижнечелюстной канал, операция проводится в стационаре челюстно-лицевой хирургии.
Методика оперативного вмешательства:
- Под местной или общей анестезией скелетируется (обнажается) участок кости челюсти в проекции кисты.
- Создаётся доступ в полость кисты, убирается вся поражённая костная ткань и оболочка кисты.
- По показаниям отсекается верхушка корня или её часть и выполняется ретроградное пломбирование корневого канала (пломбирование через верхушку корня) и пломбирование апикальных отверстий каналов специальным цементом, предназначенным для этих целей.
- Операционная рана обрабатывается антисептическими растворами, заполняется костнопластическим материалом и ушивается.
- Послеоперационный материал направляется на патогистологическое исследование.
Цистэктомия (удаление радикулярной кисты)
Для лечения применяется стоматологический микроскоп. Он позволяет минимизировать объём удаления верхушки корня и качественно закрыть корневые каналы.
К врачу необходимо прийти на следующий день после операции, затем при спокойном течении через 10–14 дней, чтобы снять швы. Пациент должен находиться под наблюдением лечащего врача до полного заживления послеоперационной раны, далее приходить через каждые полгода для контроля за восстановлением костной ткани и исключения рецидива. Как показывает практика, рецидивы случаются редко, обычно они выявляются в первый год после операции.
Виды материала для заполнения дефекта костной ткани после оперативного вмешательства:
- Аутогенный материал получают из другого участка костной ткани пациента (ветви челюсти, подбородочного отдела и др.). Благодаря полной биологической совместимости такой материал редко отторгается и быстро восстанавливает дефект. Однако при заборе тканей пациента время операции увеличивается, вмешательство становится более травматичным, что негативно сказывается на восстановлении больного.
- Ксеногенный материал получают после специальной обработки костной ткани млекопитающих. Чаще всего используется бычья и свиная кость. При обработке удаляются вещества, которые могут вызвать иммунные и аллергические реакции.
- Синтетический материал имеет в своём составе соли кальция. Для лучшей совместимости он часто используется в комбинации с аутогенным материалом.
2. Цистотомия — операция, в ходе которой оболочка кисты не удаляется, а иссекается только её передняя стенка, что позволяет эвакуировать содержимое кисты. При цистотомии объём оперативного вмешательства меньше, но восстановление после такой операции длится дольше (около месяца). Полученный костный дефект заполняют турундой с йодоформом, далее с определённой периодичностью делают перевязки с заменой турунды. Этот метод применяется всё реже из-за затяжного восстановления, внедрения новых методик и совершенствования материально-технической базы.
Ороназальная (между ртом и носом) цистэктимия и ороназальная цистотомия проводятся, если киста проникает в верхнечелюстную пазуху или оттесняет её.
Всё чаще в современной стоматологии используют оперативные методы с применением лазерной технологии. Лазерные методики менее травматичные. Кроме этого, лазер обладает бактерицидным свойством, что снижает вероятность развития гнойно-воспалительных осложнений [18][19][20].
Удаление зуба. Зуб удаляют, только если сохранять его нецелесообразно. Показания для удаления:
- полное разрушение коронковой части зуба;
- разрушение твёрдых тканей зуба ниже уровня десневого края более чем на 2 мм, когда нет возможности выдвинуть корень ортодонтически или когда корень зуба слишком короткий, что затруднит дальнейшее протезирование;
- отсутствие просвета корневого канала (из-за особенностей строения или ранее проведённого лечения).
Во всех остальных случаях проводятся зубосохраняющие операции, описанные выше.
Осложнения после лечения
Осложнения после удаления кисты возникают нечасто. К ним можно отнести перфорацию верхнечелюстной пазухи, повреждение нижнелуночкового нерва, а также формирование резидуальной (остаточной) кисты, которая образуется при неполном иссечении радикулярной кисты.
Прогноз. Профилактика
При полном иссечении оболочки кисты рецидивы случаются редко. В случае неполного вылущивания оболочки кисты формируются резидуальные (остаточные) кисты. Как и околокорневые кисты, они могут вызвать гнойно-воспалительные заболевания и деформацию кости челюстей.
Профилактика радикулярной кисты
- Профилактические осмотры. Околокорневые кисты часто являются результатом осложнённого кариозного процесса. Поэтому необходимо регулярно посещать стоматолога и делать профессиональную гигиену полости рта. При своевременном обращении к стоматологу можно избежать не только осложнений кариеса, но и самого кариеса. Ведь на начальной стадии есть лишь поверхностное поражение эмали, которое можно восстановить при помощи реминерализирующей терапии. Она подразумевает нанесение на эмаль зуба паст и гелей, которые насыщают поражённый участок минеральными компонентами. Зачастую после этого эмаль полностью восстанавливается.
- Поддержание иммунитета с помощью физической активности, правильного режима работы и отдыха, здорового образа жизни, закаливания. Радикулярные кисты часто формируются из-за того, что иммунитет не может противостоять размножению микроорганизмов и подавлять патологические процессы, связанные с последующим разрушением костной ткани.
- Правильное питание способно не только поддерживать иммунитет в целом, но и обеспечить самоочищение зубов. Приём жёсткой пищи снижает риск развития зубных отложений и впоследствии зубного камня. При употреблении мягкой углеводной пищи налёт на зубах формируется быстрее. Отложения на зубах напрямую не влияют на развитие и течение радикулярной кисты, однако увеличивают риск развития кариеса и периодонтита. Как уже было отмечено, гранулематозная форма периодонтита в ряде случаев является причиной развития радикулярных кист [10].
Список литературы
Ramachandran Nair Р. N. Non-microbial etiology: periapical cysts sustain post-treatment apical Periodontitis // Endodontic Topics. — 2003. — Vol. 6. — P. 96–113.
Тарасенко С. В., Царев В. Н., Дробышев А. Ю. и др. Применение хирургических лазерных технологий для оперативного лечения радикулярных кист челюстей // Лазерная медицина. — 2009. — Т. 13, № 1. — С. 42–47.
Панин А. М. Хирургическая реабилитация пациентов с радикулярными кистами челюстей // Паллиативная медицина и реабилитация. — 2015. — № 1. — С. 28–31.
Ткаченко Т. С., Начева Л. В., Пылков А. И., Фиалко П. Н. Морфофункциональные особенности формирования радикулярной кисты как ксенопаразитарного барьера при одонтогенных воспалительных процессах // Вестник Медицинского стоматологического института. — 2008. — № 1–2. — С. 46–48.
Астахов Н. А. К вопросу о патогенезе зубных околокорневых кист: дис. … д-ра мед. наук. — СПб.: тип. И. Флейтмана, 1908. — 104 с.
Даценко М. Ф. К вопросу о происхождении эпителия в корневых гранулёмах: тезисы докладов III Всесоюзного одонтологического съезда. — Л.: Оргбюро Съезда, 1928. — С. 22–23.
Лукомский И. Г. Одонтогенные опухоли. — М.: изд-во Наркомздрава, 1927. — 135 с.
Harndt Е. Zahn-, Mund- und Kieferheilkunde im Kindesalter. — Verlag Die Quintessenz, 1967. — 560 р.
Cawson R. A., Odell E. W., Porter S. Cawson’s essentials of oral pathology and oral medicine. 7-th ed. — Edinburgh: Churchill Livingstone, 2002. — P. 102–121.
Кузин А. В. Особенности обезболивания при проведении хирургического лечения полостных новообразований челюстей // Институт стоматологии. — 2018. — Т. 79, № 2. — С. 60–62.
Fujiyama К. Denervation resulting in dento-alveolar ankylosis associated with decreased Malassez epithelium // J. Dent. Res. — 2004. — № 8. — P. 625–629.ссылка
Базикян Э. А. Одонтогенные кисты челюстей. — М.: ГЭОТАР-Медиа, 2018. — 80 с.
Lee К. С., Lee S. J. Clinical Features and Treatments of Odontogenic Sinusitis // Yonsei Medical Journal. — 2010. — Vol. 51, № 6. — Р. 932–937.ссылка
Капишников А. В. и др. Оценка влияния остеопластических материалов на регенерацию костной ткани после операции цистэктомии с одномоментной резекцией верхушки корня зуба с помощью компьютерной томографии // Эндодонтия Today. — 2015. — № 4. — С. 29–33.
Ешиев А. М., Сагынбаев М. А., Алимжанов С. К. Эффективность остеоцистэктомии с применением остеопластических материалов // Фундаментальные исследования. — 2015. — № 1–3. — С. 500–503.
Модина Т. Н., Маклакова И. С. Опыт использования нового отечественного остеопластического материала при лечении деструктивных форм периодонтита // Эндодонтия Today. — 2012. — № 1. — С. 28–30.
Hamed M. S. et. al. Effect of platelet-rich plasma on healing of distracted mandibular segment // Med. J. Cairo Univ. — 2013. — № 2. — P. 55–60.
Варгулев А. Да будет свет! // Проблемы стоматологии. — 2005. — № 2. — С. 67.
Дорогокупля Ю. А., Попкова И. Ф., Гринин В. М. и др. Лазерные технологии в стоматологии // Стоматолог. — 2006. — № 5. — С. 13–20.
Рисованный С. И., Рисованная О. Н., Масычев В. И. Лазерная стоматология. — Краснодар: Кубань-книга, 2005. — 276 с.
Alshanbari M. Odontogenic Cysts // Ozident. — 2013.

