Авторы
Литературный редактор:
Анастасия Кравченко
Научный редактор:
Сергей Федосов
Шеф-редактор:
Маргарита Тихонова
Вступление
На приём обратился мужчина без единого зуба на верхней челюсти.
Жалобы
Пациент жаловался, что не может нормально пережёвывать пищу. В клиниках, где он был ранее, ему отказали в имплантации из-за относительных противопоказаний, а взамен предложили съёмный протез, который мужчина не хотел.
Боли пациент не испытывал.
Анамнез
Зубы мужчине удалили более года назад из-за кариеса цемента корня и хронического апикального периодонтита (воспаления ткани вокруг верхушки зуба). На нижней челюсти также не было зубов, вместо которых пациент использовал съёмный протез.
У мужчины сахарный диабет 2-го типа, который держится под контролем благодаря лечению у врача-эндокринолога, т. е. компенсирован. Члены семьи диабетом не страдают.
Обследование
При проведении осмотра:
- пациент свободно открывал рот;
- лимфатические узлы не определялись (не увеличены);
- слизистая оболочка полости рта была увлажнённой, бледно-розового цвета;
- слюнные железы работали нормально.
В ходе конусно-лучевой компьютерной томографии определили, что альвеолярный отросток верхней челюсти (где находятся корни зубов), костная ткань челюсти, а также структура и функция височно-нижнечелюстных суставов в норме. Ширина альвеолярного гребня (верхней части отростка) составляла минимум 8 мм, а высота — более 8–10 мм, что обеспечивало хорошие условия для установки имплантов.
Пациенту провели лабораторные исследования:
- общий анализ крови;
- анализ времени свёртываемости;
- анализ времени кровотечения по Сухареву;
- анализы на социально значимые инфекции (ВИЧ, гепатиты B и С и сифилис);
- анализ уровня гликимированного гемоглобина, который составил 7 %, что подтверждало компенсированный сахарный диабет.
На основании результатов обследования абсолютных противопоказаний к дентальной имплантации не выявили.
Диагноз
Полная вторичная адентия (потеря зубов) верхней челюсти.
Лечение
Процесс лечения:
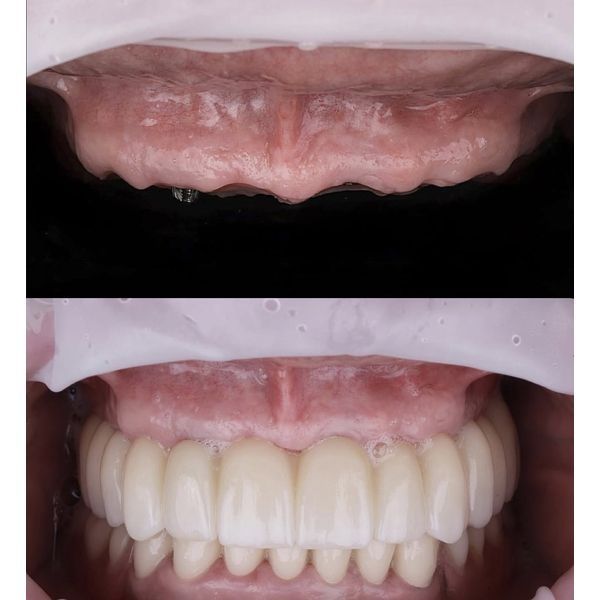
- Под местной анестезией с минимальным травмированием пациенту установили 6 имплантов на верхнюю челюсть параллельно друг другу.
- Выполнили мягкотканную пластику, т. е. сформировали контур десны, чтобы протез выглядел естественно.
- Через неделю изготовили временные коронки, которые установили на импланты. Этим пластмассовым протезом пациент должен был бережно пользоваться на протяжении 6 месяцев, постепенно увеличивая жевательную нагрузку с 3-го месяца.
- После того как импланты прижились, пациенту зафиксировали постоянный протез из диоксида циркония по типу FP1, без использования «розовой» искусственной десны. Такая конструкция максимально похожа на естественный зубной ряд пациента, который был утрачен.
Первый осмотр после имплантации проводился через неделю, второй — через две. Рана заживала в ожидаемые сроки первичным натяжением, т. е. края были ровными и плотно прилегали друг к другу. Отёчности и синяков в раннем послеоперационном периоде не было, потому что хирургическое вмешательство было минимальным.
После второго осмотра пациент стал наблюдаться у стоматолога-ортопеда, который контролировал временный протез. Для его коррекции потребовалось два приёма. Когда оптимальное положение протеза было зафиксировано, на его основе зуботехническая лаборатория изготовила цельноциркониевый протез, который уже не требовал корректировки.
Как и хотел пациент, ему установили несъёмную конструкцию с опорой на импланты, которая позволила нормально жевать пищу и вернула эстетику полости рта. Мужчина находится под наблюдением уже 3 года и ни на что не жалуется. Сейчас планируется заменить съёмный протез нижней челюсти на аналогичный тому, который установлен на верхней.
Заключение
Зубной протез с опорой на импланты считается более комфортным, надёжным и долговечным, чем съёмный, поэтому пациент хотел именно его.
Клинический случай показывает, что при грамотном подходе и привлечении смежных специалистов имплантация зубов при полной адентии возможна даже при относительных противопоказаниях, таких как сахарный диабет.







