Авторы
Литературный редактор:
Елизавета Отмахова
Научный редактор:
Сергей Федосов
Шеф-редактор:
Маргарита Тихонова
Вступление
В 2021 году в клинику «Стамус» обратилась 55-летняя женщина, у которой болели зубы.
Жалобы
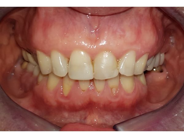
У пациентки не было некоторых жевательных зубов, на их месте стояли импланты и коронки, а дёсны вокруг отекли и кровоточили. Её также беспокоила стираемость зубов и сколы на старых пломбах.
Несколько месяцев назад стоматолог снял коронки с нижних левых зубов (35 и 36) для наблюдения за состоянием пациентки. Боль стала меньше, но пациентка не могла пережёвывать пищу.
Анамнез
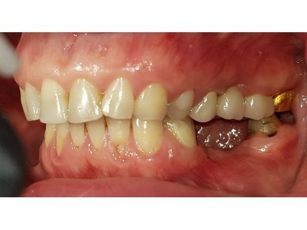
Импланты и коронки на нижние моляры (зубы 35, 36, 45 и 46) установили около 2 лет назад в другой клинике. Примерно через год слизистая вокруг них воспалилась и отекла. Ещё спустя полгода женщина отметила разрушение жевательных зубов 37 и 47.
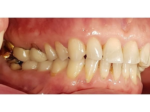
Металлические штампованные коронки также стоят на 18, 28 и 38-м моляре.
Пациентка давно хотела вернуть здоровье своим зубам и приобрести красивую улыбку.
Обследование
При осмотре определялось воспаление слизистой нижней челюсти вокруг коронок и имплантов. Старые пломбы прилегали неправильно и были сколоты. Зубы наклонены в сторону полости рта, при улыбке появлялись чёрные треугольники (вместо зубов виднелась пустота).
Корни правых верхних моляров (16 и 17-го) оголились под металло-керамическими коронками и поменяли цвет.
КТ показала очаги повреждения костной ткани вокруг имплантов, неточность прилегания коронок и большую зону разрушения кости в области 47-го зуба.
Диагноз
Лечение
Пациентке сняли все коронки с зубов и имплантов. На зубы, которые можно было сохранить, изготовили временные коронки, остальные зубы, поражённые периодонтитом, и импланты удалили. На их месте провели костную пластику и имплантацию.
Зубы, поражённые кариесом, пролечили. Старые, плохо прилегающие пломбы заменили на новые.
Свои зубы, кроме нижних передних зубов и клыков, отпрепарировали и покрыли временными коронками, после чего провели работу по перестройке прикуса и восстановлению высоты зубов.
Через полгода после пластики кости и имплантации женщине установили временные фрезерованные коронки из полиметилметакрилата. Спустя 2 месяца, когда пациентка адаптировалась к новому прикусу, ей поставили постоянные безметалловые коронки на зубы и импланты.
С каждым этапом лечения зубов во рту становилось всё больше, что облегчало процесс жевания. Боль полностью ушла вместе с устранением причины. Улыбка стала привлекательной и открытой. Заработали мышцы вокруг рта, поэтому губы также стали более объёмными. Женщина была полностью довольна полученным результатом.
Заключение
Этот клинический случай показывает, что качественное лечение зубов способствует не только восстановлению их функции, но и улучшает психоэмоциональное состояние, а также внешний вид пациента за счёт красивой улыбки и активизации мышцы лица.







