Авторы
Литературный редактор:
Юлия Липовская
Научный редактор:
Сергей Федосов
Шеф-редактор:
Маргарита Тихонова
Вступление
К врачу-стоматологу обратился пациент 40 лет с жалобами на потерю зубов.
Жалобы
Эстетический дефект и дискомфорт при жевании значительно ухудшали качество жизни пациента и стали основной причиной обращения.
Неприятные ощущения при жевании периодически усиливался из-за воспаления дёсен. Чистка зубов в такие моменты сопровождалась кровотечением и болью, что доставляло дополнительный дискомфорт. Появлялся неприятный запах изо рта.
Анамнез
Первые симптомы появились 10 лет назад. Периодически пациенту проводили профессиональную гигиену полости рта, но эффект был временным.
Родители мужчины потеряли зубы в преклонном возрасте.
Обследование
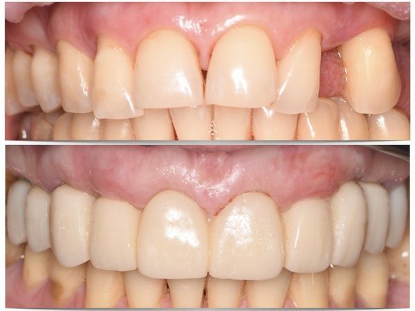
При осмотре видны обильные зубные отложения. При пальпации (прощупывании) определяется патологическая подвижность некоторых зубов.
Наличие десневых карманов и кровоточивость дёсен при зондировании подтвердило, что у пациента пародонтит. Компьютерная томограмма позволила выявить признаки значительной убыли костной ткани в области сохранившихся зубов верхней челюсти.
Диагноз
Лечение
Пациенту предложили два варианта лечения:
- Сохранение зубов верхней челюсти и восстановление отсутствующих.
- Удаление зубов с одномоментной установкой имплантатов и немедленным изготовлением временного диагностического мостовидного протеза.
Так как причиной потери зубов стал тяжёлый хронический пародонтит, возможность сохранить оставшиеся зубы на верхней челюсти ставилась под сомнение. Он же был противопоказанием для лечения с использованием имплантатов. Поэтому пациенту объяснили, что вначале нужно обязательно убрать налёт, который и привёл к развитию пародонтита.
Гигиенист провёл профессиональную чистку полости рта и обучил, как правильно чистить зубы и использовать межзубные ёршики. После этого пациент регулярно приходил на осмотры для контроля гигиенического статуса и навыков гигиены. Когда удалось достичь устойчивой положительной динамики, решили провести лечение с использованием дентальных имплантатов. Решение принимали совместно с пациентом. Из нескольких предложенных вариантов запросы пациента удовлетворял только план с удалением зубов и одномоментной установкой имплантатов.
Под местной анестезией удалили зубы верхней челюсти и установили имплантаты по методике All-on-x, чтобы минимизировать объём вмешательства. Далее стоматолог-ортопед изготовил временный диагностический мостовидный протез, который учитывал пожелания пациента по форме зубов.
Лечение не сопровождалось какими-то выраженными осложнениями. Через неделю состояние тканей было стабильным, их внешний вид тоже был в норме. Временные диагностические коронки полностью выполняли свои функции и своим внешним видом устраивали пациента.
Главная задача на этом этапе — контролировать зубной налёт. Конструкции на имплантатах требуют регулярного тщательного наблюдения со стороны лечащего врача и высокого уровня гигиены со стороны пациента.
Мужчина обратил внимание, что эстетика улыбки значительно улучшила качество его жизни.
В дальнейшем пациенту установили еще 2 имплантата и заменили временную конструкцию на постоянную, которая фиксировалась на 6 имплантатов. Это позволило восстановить полный зубной ряд. Общий срок реабилитации составил 6 месяцев. Результат полностью отвечал ожиданиям и запросам пациента.
Заключение
Клинический случай показал, что тяжёлый пародонтит может привести к потере зубов и необходимости сложной эстетико-функциональной реабилитации, а ведь такие комплексные реабилитации требуют высоких навыков докторов и слаженного командного подхода.
Профилактика требует меньших ресурсов и значительно снижает риски развития тяжёлых патологий, которые сопровождаются появлением эстетических дефектов и снижением качества жизни.


