Авторы
Литературный редактор:
Елизавета Отмахова
Научный редактор:
Сергей Федосов
Шеф-редактор:
Маргарита Тихонова
Вступление
В клинику обратились родители ребёнка, у которого не росли некоторые постоянные зубы.
Жалобы
Они рассказали, что после того, как стали выпадать молочные зубы, прошло уже много времени, но постоянные так и не показались. Кроме того, у ребёнка были проблемы с носовым дыханием.
По вечерам и ночью малыш часто дышал ртом, во сне он храпел.
Анамнез
Впервые родители начали волноваться через несколько месяцев после заметили потери молочных зубов. Они долго искали специалиста, пока знакомые не посоветовали стоматологическую клинику, в которой сами проходили лечение.
Ребёнок рос и развивался в соответствии с возрастом. Ранее перенёс ветрянку. ОРВИ болел нечасто, вредных привычек нет. Питается хорошо, на дискомфорт во время приёма пищи не жаловался.
В детстве отец также проходил ортодонтическое лечение по поводу схожей проблемы. В пубертатном периоде носил несъёмные ортодонтические конструкции. У мамы проблем с зубами не было.
Обследование
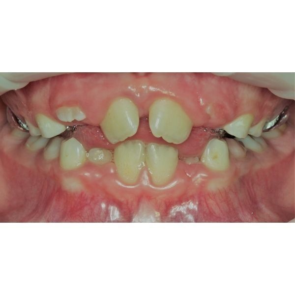
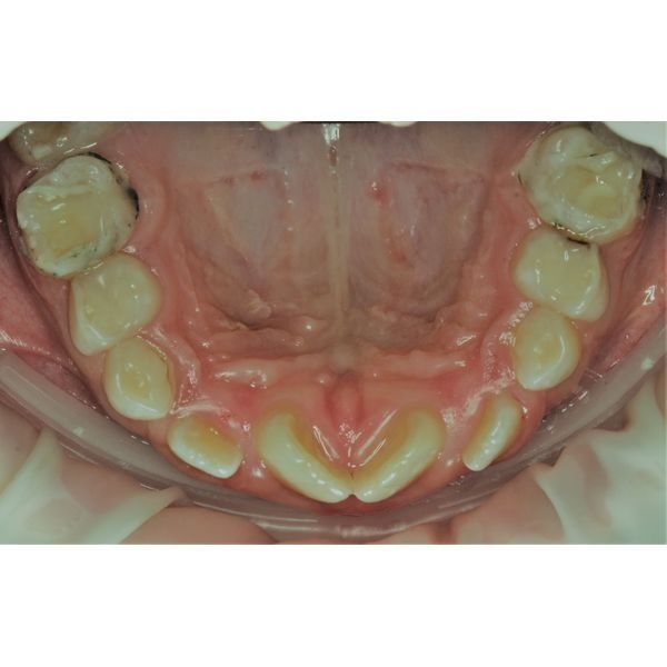
При осмотре отмечалось неправильное положение верхних центральных резцов и отсутствие боковых. Изменений на слизистой оболочке не было. На некоторых зубах наблюдался кариес эмали.
Изучение диагностических моделей и рентгенологическое обследование выявили дефицит места в зубном ряду обеих челюстей. Зачатки всех зубов были сформированы и находились в костной ткани.
Диагноз
Сужение верхнего зубного ряда из-за недоразвития верхней челюсти. Задержка прорезывания постоянных зубов.
Лечение
Пациенту изготовили несъёмный аппарат для расширения верхней челюсти (аппарат Марко Роса), который фиксируется на молочных зубах. Срок ношения аппарата — 6 месяцев с момента фиксации. В течение этого времени родители каждый день раскручивали по инструкции специальный винт.
В первый месяц ношения аппарата ребёнок приходил на осмотр каждую неделю, после — раз в месяц.
Спустя две недели после фиксации аппарата показались боковые резцы. Пациент легко привык к аппарату и не испытывал неудобств, он также был мотивирован на дальнейшее лечение.
За счёт расширения верхней челюсти у ребёнка улучшилось дыхание и пропал храп, прорезались постоянные зубы и улучшилась эстетика зубных рядов.
Чтобы не допустить скученности и улучшить результаты, ему также создали небольшой запас места и назначили профилактическую каппу.
Заключение
Этот клинический случай показывает, как важно регулярно посещать врача и своевременно проходить профилактическое ортодонтическое лечение. Современная стоматология обладает многими методами, способными улучшить состояние зубов. При этом лечение проходит безболезненно и даёт максимальный результат.






