Авторы
Литературный редактор:
Елизавета Отмахова
Научный редактор:
Сергей Федосов
Шеф-редактор:
Маргарита Тихонова
Вступление
Летом 2024 года в Калининградскую стоматологическую клинику обратился 44-летний мужчина с тёмным налётом на зубах.
Жалобы
Пациент рассказал, что он не может использовать зубную нить, так как она не проходит в межзубные промежутки в области нижних передних зубов.
Тёмный налёт приносил мужчине психологический дискомфорт, из-за него он стеснялся улыбаться.
В домашних условиях снять зубной налёт и камень не получилось, в том числе с помощью зубного порошка.
Анамнез
В последний раз пациент был у стоматолога более 4 лет назад, когда лечил пульпит. Процедуру профессиональной гигиены полости рта никогда не делал.
У мужчины нет хронических болезней. Пациент курит более 15 лет.
Обследование
Внешний осмотр не выявил признаков патологии. Обследование полости рта показало:
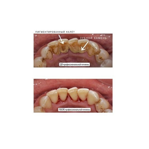
- пигментированный зубной налёт, который появился из-за курения;
- твёрдые зубные отложения, больше всего их было на внутренней поверхности нижних центральных резцов и верхних первых молярах со стороны щеки;
- слизистая бледно-розового цвета, умеренно увлажнена, без видимых патологических изменений;
- десна в области шейки зубов красная и отёчная, кровоточила при прощупывании.
Индекс гигиены (OHI-S) после окрашивания зубов индикатором налёта составил 2,6 баллов. Это очень высокий показатель, который говорит о неудовлетворительной гигиене полости рта.
Диагноз
К03.64 Наддесневой зубной камень. К03.61 Зубной налёт, сформированный по причине употребления табака.
Лечение
Пациенту удалили пигментированный налёт порошкоструйным аппаратом Air flow и сняли минерализованные зубные отложения ультразвуковым скейлером, после чего обработали эмаль резинками и отполировали её с помощью щётки и специальной пасты. В завершении процедуры на дёсны нанесли Солкосерил, а на зубы — АПФ-гель (на 4 минуты).
Мужчине также дали рекомендации:
- заменить зубную щётку на новую, подобранную с учётом вредной привычки;
- приобрести зубную пасту с высоким показателем абразивности, так как она лучше очищает зубы от налёта;
- использовать зубную нить ежедневно;
- посещать стоматолога для профилактического осмотра и проведения профессиональной гигиены полости рта раз в 6 месяцев.
Спустя 2 недели пациент пришёл на контрольный приём. Новых жалоб не было. Он также показал, как сам чистит зубы, чтобы убедиться, что всё делает правильно.
Мужчина остался полностью доволен лечением и поделился, что после процедуры появилась уверенность в себе: «Стал больше улыбаться и не стесняться своих зубов, ведь теперь они белые, блестящие и здоровые!»
Заключение
Этот клинический случай показывает, как важно следить за состоянием своих зубов и дëсен, ведь их внешний вид также может негативно влиять на психологическое состояние, самооценку и ощущение себя в обществе.


