Авторы
Литературный редактор:
Юлия Липовская
Научный редактор:
Сергей Федосов
Шеф-редактор:
Маргарита Тихонова
Вступление
В декабре в стоматологический центр «СтомЛайн» обратилась молодая девушка.
Жалобы
Пациентка жаловалась на кровоточивость и болезненность дёсен при чистке зубов, неприятный запах изо рта и дискомфорт во время еды. Также девушка отметила, что с внутренней стороны зубов появилась шероховатость и тёмный, не счищающийся налёт.
Использование пасты от кровоточивости дёсен и щетки с мягкой щетиной вызывали меньший дискомфорт, но не так эффективно очищали поверхность зубов.
Анамнез
Впервые неприятные ощущения появились год назад, но за медицинской помощью пациентка не обращалась. Со временем дискомфорт только усиливался. Кровоточивость дёсен отмечает последние пол года, тогда же возникло ощущение неприятного запаха изо рта.
Вредных привычек у девушки нет. Зубы чистит два раза в день (утром и вечером), старается не употреблять «красящих» продуктов. Питание обычное, но с преобладанием белковой пищи.
Обследование
При осмотре рот открывается в полном объёме. Кожа и видимые слизистые оболочки нормальной окраски, без патологий. Регионарные лимфоузлы не прощупываются.
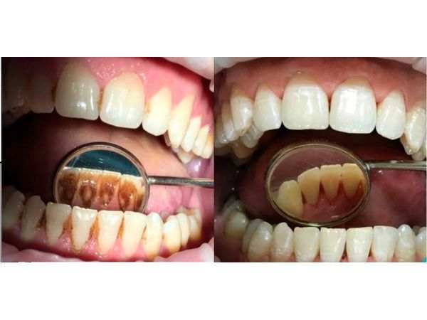
В полости рта выявлены многочисленные зубные отложения на верхней и нижней челюсти. Слизистая оболочка полости рта и дёсны отёчные и гиперемированные (есть покраснение). Прощупывание вызывает резкий дискомфорт.
При инструментальном осмотре полости рта выявлены очаги отложения зубного камня, вызывающие признаки гингивита (воспаления десны). Зондирование зубодесневой борозды вызывало резкий дискомфорт и локальное кровотечение. Зубные ряды сохранены, прикус ортогнатический (нормальный).
Диагноз
К05.1 Хронический гингивит.
К03.6 Отложения на зубах.
Лечение
Лечение гингивита должно быть комплексным. План лечения составляется персонально для каждого пациента в зависимости от причины воспаления, механизма его развития, характера и степени выраженности воспалительных изменений в тканях.
В этом случае после проведённого обследования пациентке провели профессиональную гигиену полости рта:
- удалили мягкий налёт, наддесневой и поддесневой зубной камень;
- тщательно отполировали поверхность всех зубов и покрыли их реминерализующим гелем.
После лечения девушке подобрали индивидуальные средства гигиены полости рта, обучили правильной чистке и дали рекомендации по уходу.
Через неделю у пациентки значительно снизилась кровоточивость дёсен. Неприятный запах изо рта тоже перестал беспокоить. Дёсны приобрели здоровый бледно-розовый оттенок. Чистка зубов и приём пищи перестали приносить дискомфорт.
В целом после лечения девушка отметила стойкое улучшение состояния полости рта.
На основе прогресса лечения пациентке рекомендовали делать профессиональную гигиену один раз в 6 месяцев.
Заключение
Этот клинический случай подтверждает эффективность профессиональной гигиены полости рта в лечении болезней дёсен. Также хочется отметить важность профилактических мероприятий и периодических осмотров у врачей-стоматологов. Такое наблюдение существенно снижает риск возникновения заболеваний полости рта.


