Определение болезни. Причины заболевания
Патологический кифоз (Pathological kyphosis) — это стойкое искривление грудного отдела позвоночника с образованием выпуклости на спине (горба).

Патологический кифоз
В норме позвоночник имеет физиологические изгибы: шейный и поясничный лордозы (прогибы вперёд), а также грудной и крестцовый кифозы (прогибы назад). Эти изгибы, подобно пружине, помогают смягчить нагрузку при ходьбе, беге и прыжках. Однако при патологическом кифозе угол изгиба в грудном отделе превышает 40–45°, что приводит к деформации спины, нарушению работы внутренних органов из-за их сдавления и снижению качества жизни [1].

Физиологические изгибы позвоночника
В Международной классификации болезней 10-го пересмотра (МКБ-10) эта болезнь закодирована под номером М40.0 [2]. В литературе также могут встретиться и другие названия заболевания: гиперкифоз, дорсальный кифоз, горб.
Причины развития патологического кифоза
Условно причины делят на врождённые и приобретённые, структурные (т. е. связанные с аномалиями позвонков) и функциональные (вызванные нарушением осанки).
Врождённые причины:
- клиновидные позвонки — недоразвитие передних отделов тел позвонков (частая причина кифоза у детей);
- синдром Клиппеля — Фейля — сращение шейных позвонков с укорочением шеи (редкая генетическая патология);
- нейрофиброматоз 1-го типа — опухоли нервной ткани, которые вызывают различные аномалии, в том числе костные деформации;
- мукополисахаридозы (например, синдром Моркио) — нарушения обмена веществ, которые приводят к деформациям скелета;
- болезнь Шейермана — Мау (юношеский кифоз) — генетически обусловленное заболевание, при котором 3 и более грудных позвонков приобретают клиновидную форму;
- спина бифида — незаращение дужек позвонков, которое сопровождается неврологическими нарушениями (зачастую — слабостью и параличом ног, нарушением мочеиспускания и дефекации); по мере развития заболевания через открытое отверстие в позвоночнике выпячивается спинной мозг и его оболочки (миеломенингоцеле), при этом чем выше располагается выпячивание, тем тяжелее симптомы [3].

Спина бифида
В основе этих заболеваний лежит нарушение роста прочных хрящевых слоёв, которые покрывают верхнюю и нижнюю стороны каждого межпозвоночного диска. Обычно такую форму кифоза диагностируют в 12–17 лет.
Приобретённые причины:
- Дегенеративно-дистрофические изменения:
- остеопороз — снижение плотности костей, которое приводит к компрессионным переломам тел позвонков (основная причина кифоза у пациентов старше 60 лет) [3];
- остеохондроз — разрушение межпозвоночных дисков, что в дальнейшем приводит к перегрузке передних отделов позвонков и прогрессированию деформации.
- Травмы:
- компрессионные переломы грудных позвонков — переломы, при которых одна часть кости вдавливается в другую под воздействием внешней силы, например при падении с высоты [3];
- ятрогенные деформации — последствия хирургических вмешательств, например ламинэктомии (удаления части дужки позвонка) или спондилодеза (операции по сращиванию соседних позвонков).
- Инфекции и воспаления:
- туберкулёзный спондилит — поражение позвонков палочкой Коха, при котором позвонки разрушаются с дальнейшим формированием горба;
- остеомиелит — гнойное воспаление костной ткани с ееё последующим разрушением.

Остеомиелит
- Онкологические заболевания:
- первичные опухоли позвонков (остеосаркома, гемангиома) — приводят к местному разрушению кости;
- метастазы (например, при раке молочной железы, простаты или лёгких) — опухолевые клетки выделяют вещества, которые разрушают костную ткань вокруг метастаза, из-за чего кости становятся очень хрупкими.
- Неврологические нарушения:
- детский церебральный паралич (ДЦП) — из-за постоянного напряжения мышцы не могут расти и нормально выполнять свою работу, поэтому нагрузка на позвоночник распределяется неправильно, приводя к его деформации;
- полиомиелит — уменьшение объёма и массы мышц, поддерживающих позвоночник, также приводит к кифозу, так как мышечный корсет не справляется со своей задачей.
К факторам риска также относится:
- малоподвижный образ жизни — приводит к ослаблению мышц-разгибателей спины;
- неправильная эргономика рабочего места — если человек постоянно сутулится и сидит с опущенной вниз головой, работая на компьютере или по телефону, это создаёт дополнительную нагрузку на шейный отдел и усиливает естественный изгиб позвоночника в грудном отделе;
- ожирение — лишний вес увеличивает нагрузку на передние отделы позвонков;
- дефицит витамина D и кальция — способствует развитию остеопороза и остеопении (снижения объёма костной ткани);
- занятия спортом с осевой нагрузкой (например, тяжёлой атлетикой или гимнастикой) — такая нагрузка вызывает микротравмы позвонков.
Симптомы патологического кифоза
Клиническая картина зависит от степени искривления, возраста пациента и наличия осложнений.
При лёгкой степени искривления (угол 40–50°) наблюдаются следующие симптомы:
- незначительная сутулость («круглая спина») — заметна лишь при внимательном осмотре;
- быстрая утомляемость мышц спины — часто пациенты жалуются на «тяжесть» между лопатками после долгого сидения или стояния;
- периодические ноющие боли в грудном отделе — болезненный синдром, связанный с перенапряжением мышц, обычно усиливается к вечеру.
Средняя степень (50–70°) сопровождается:
- видимым искривлением — у пациента формируется горб, который не исчезает в положении лёжа;
- синдромом позвоночной артерии — неправильное положение позвонков шейного отдела приводит к нарушению кровотока в позвоночных артериях, что сопровождается головокружением и шумом в ушах;
- одышкой при физической нагрузке — из-за деформации грудной клетки нарушается нормальная работа диафрагмы и уменьшается объём лёгких;
- ограничением подвижности — так как мышцы и связки находятся в постоянном напряжении, пациенту сложно разгибать спину и делать повороты корпусом.
При тяжёлой степени (угол более 70°) появляется:
- выраженный горб;
- поза «просителя» — плечи смещаются вперёд и вниз [1];
- корешковый синдром — из-за сдавления нервных корешков Th1–Th12 появляется слабость в руках, боль в грудной клетке, спине и пояснице, которая усиливается при наклоне вперёд (симптом Нери), также снижается чувствительность кожи в областях, которые связаны с этими корешками.
Иннервация в зависимости от расположения нервных корешков
Если у пациента развился не только кифоз, но и сколиоз, он может заметить у себя асимметрию лопаток (одна выше другой). Кроме того, при длительной деформации возникает эффект укорочения ключиц: хотя анатомически они не меняются, визуально кажется, что расстояние между плечами и шеей уменьшилось.
Существует несколько методов, которые помогают самостоятельно заподозрить у себя патологический кифоз:
- Тест у стены. Человек становится спиной к стене, прижимая к ней затылок, лопатки, ягодицы и пятки. Если между поясницей и стеной проходит кулак, это говорит о возможном гиперкифозе.
- Фотоанализ. Необходимо сделать снимок в профиль и по фотографии провести линию от затылка до копчика. В норме линия будет прямой, а чрезмерная выпуклость в грудном отделе указывает на патологию.
Однако окончательный диагноз может поставить только врач.
Патогенез патологического кифоза
В основе патологического кифоза лежит дисбаланс между передними и задними структурами позвоночника. Например, при болезни Шейермана — Мау нарушается процесс окостенения замыкательных пластинок, покрывающих концы позвонков, из-за чего передние отделы позвонков растут медленнее, приобретая клиновидную форму [4]. При этом в зонах роста возникают грыжи Шморля: пульпозное ядро диска внедряется в тело позвонка, что усугубляет деформацию. Часто они появляются в период быстрого роста скелета, если пациент занимается тяжёлым физическим трудом.
![Грыжа Шморля [15] Грыжа Шморля [15]](/media/bolezny/patologicheskiy-kifoz/gryzha-shmorlya-15_s.jpeg?dummy=1760604053935)
Грыжа Шморля [15]
Дополнительно на развитие патологического кифоза влияют:
- Остеопоротические изменения. Снижение плотности костей приводит к микропереломам тонких пластинок внутри кости и сдавлению тел позвонков (особенно Th8–Th12). Так как кости становятся более хрупкими, позвонки деформируются, приобретая форму, напоминающую рыбьи кости («рыбьи позвонки»).
- Мышечный дисбаланс. Снижение тонуса мышц-разгибателей спины и перенапряжение грудных мышц приводит к формированию «позы просителя», а слабость ромбовидных и трапециевидных мышц не позволяют пациенту удерживать лопатки в физиологическом положении [1].
- Биомеханические нарушения. При смещении центра тяжести вперёд у человека формируется компенсаторный гиперлордоз в пояснице, что в дальнейшем приводит к перегрузке межпозвонковых суставов. Если давление на передние отделы позвонков увеличивается, также усиливается клиновидная деформация тел позвонков.
![«Рыбьи позвонки» при остеопорозе [16] «Рыбьи позвонки» при остеопорозе [16]](/media/bolezny/patologicheskiy-kifoz/rybi-pozvonki_-pri-osteoporoze-16_s.jpeg?dummy=1760604041174)
«Рыбьи позвонки» при остеопорозе [16]
Классификация и стадии развития патологического кифоза
Болезнь классифицируют по разным признакам.
1. По причине развития:
- Врождённый кифоз:
- аномалии формирования позвонков (например, их отсутствие или сращение) — такой вид кифоза диагностируют в первые годы жизни;
- синдромальные формы — сочетаются с другими пороками развития, например с синдромом Марфана или нейрофиброматозом.
- Приобретённый кифоз:
- постуральный (нарушение осанки) — гибкая деформация, которая исчезает в положении лёжа и корректируется с помощью лечебной физкультуры (ЛФК);
- дегенеративный — развивается на фоне остеопороза и остеохондроза, прогрессирует с возрастом;
- посттравматический — возникает после переломов или операций, в этом случае характерна угловая деформация;
- воспалительный — формируется при спондилите или болезни Бехтерева, сопровождается скованностью движений.
2. По расположению:
- грудной (на уровне позвонков Th1–Th12) — наиболее частая форма, связанная с болезнью Шейермана — Мау [4];
- пояснично-грудной (Th12–L2) — возникает при остеопорозе и компрессионных переломах;
- шейно-грудной (C7–Th4) — редкая форма, связанная с различными аномалиями (например, с синдромом Клиппеля — Фейля).

Расположение позвонков
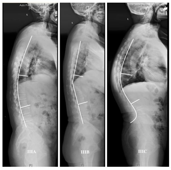
3. По степени тяжести (основана на измерениях угла по Коббу, проведённых по результатам рентгенографии):
- первая степень (угол искривления 30–40°) — сопровождается лёгкой сутулостью и усталостью;
- вторая степень (40–50°) — умеренная деформация, которая вызывает боль;
- третья степень (50–70°) — выраженная деформация, которая также сопровождается болевым синдромом;
- четвёртая степень (более 70°) — сильная деформация, при которой формируются тяжёлые осложнения [6].

Степени кифоза
Осложнения патологического кифоза
Если патологический кифоз прогрессирует до 2–4-й степени тяжести, это влияет не только на позвоночник, но и на весь организм. Например, изменения происходят:
- в дыхательной системе — так как объём грудной клетки уменьшается, у пациента формируется рестриктивная дыхательная недостаточность, т. е. его лёгкие не могут полностью расправляться при вдохе, из-за чего жизненная ёмкость лёгких (ЖЕЛ) снижается на 30–40 % и развивается хроническая гипоксия (кислородное голодание тканей организма), что в дальнейшем приводит к лёгочной гипертензии и правожелудочковой сердечной недостаточности;
- сердечно-сосудистой системе — смещение сердца сопровождается аритмией, тахикардией и ишемической болезнью сердца, а нарушение венозного возврата — отёками ног и варикозом [5].
У пациентов также развиваются:
- неврологические нарушения — радикулопатия с усилением боли при кашле и чихании и миелопатия, которая сопровождается слабостью в ногах, нарушением мочеиспускания и требует экстренного хирургического вмешательства;
- ортопедические проблемы — протрузии и грыжи межпозвонковых дисков, а также артроз (разрушение) фасеточных суставов, который проявляется утренней скованностью;
- психосоциальные последствия — депрессия, тревожность и снижение трудоспособности (пациенты с кифозом 3-й степени тяжести часто получают инвалидность).
Диагностика патологического кифоза
При подозрении на патологический кифоз следует обратиться к ортопеду или вертебрологу. На приёме врач в первую очередь собирает анамнез (историю) болезни. Он уточняет, были ли у пациента травмы и знает ли он о случаях болезни Шейермана — Мау у близких родственников, так как она может передаваться по наследству [4]. Также врача интересует, насколько усилилась деформация за последний год, чтобы оценить динамику заболевания.
Далее он проводит физикальный осмотр: измеряет рост и просит пациента пройти тест Адамса, т. е. наклониться вперёд. Если при наклоне у человека появляется выпуклость на спине, это говорит о кифозе. Кроме того, уменьшение роста на 2–3 см за год указывает на компрессионный перелом при остеопорозе.

Тест Адамса
Инструментальная диагностика
Чтобы подтвердить диагноз, проводят:
- рентгенографию в боковой проекции — позволяет измерить угол кифоза по Коббу и оценить структуру позвонков (есть ли клиновидная деформация, остеофиты и признаки остеопороза) [11];

Кифоз на рентгенограмме
- магнитно-резонансную томографию (МРТ) — помогает рассмотреть структуру мягких тканей, выявить грыжи дисков, сдавление спинного мозга или воспаление (отёк костного мозга при спондилите);
- компьютерную томографию (КТ) — позволяет оценить костные структуры: переломы, опухоли, разрушение тел позвонков;
- денситометрию — измеряет плотность костей, обязательна для пациентов старше 50 лет;
- электронейромиографию (ЭНМГ) — помогает оценить работу спинномозговых корешков и выявить уровень сдавления (это обследование назначают при наличии неврологической симптоматики).
Специфические лабораторные исследования для диагностики патологического кифоза ещё не разработаны, а генетические анализы для подтверждения болезни Шейермана — Мау недоступны.
К основным диагностическим критериям патологического кифоза относятся:
- угол искривления по Коббу — более или равен 40–45° [11];
- стойкое прогрессирование деформации — ежегодно угол увеличивается на 5–7°;
- клинические симптомы — боль, ограничение подвижности и неврологические нарушения (например, радикулопатия, миелопатия, вегетативные нарушения, синдром позвоночной артерии).
Дифференциальная диагностика
При постановке диагноза врач исключает состояния, похожие на патологический кифоз, такие как:
- сколиоз — искривление во фронтальной плоскости, которое часто сочетается с кифозом;
- болезнь Бехтерева — окостенение связок («бамбуковый позвоночник»);
- остеохондроматоз — доброкачественные костные опухоли, деформирующие позвоночник.
Часто эти состояния развиваются одновременно с патологическим кифозом.
Лечение патологического кифоза
Лечение болезни зависит от его причины, степени выраженности и возраста пациента.
Консервативная терапия
При функциональном кифозе 1–2-й степени необходимо как можно раньше начать лечебную физкультуру. Цель ЛФК — укрепить мышцы спины, скорректировать осанку и увеличить гибкость позвоночника. Для этого назначают различные упражнения:
- «лодочку» — пациент ложится на живот и поднимает руки и ноги на 30 секунд, что тренирует разгибатели спины;
- вертикальную планку — стоя спиной к стене, человек поднимает вдоль неё руки для стабилизации корпуса;
- растяжку грудных мышц — помогает снизить скованность мышц.
Сначала упражнения делают под контролем специалиста (мануального терапевта, кинезиотерапевта или инструктора ЛФК), который помогает поставить верную технику выполнения. Если этого не сделать, симптомы могут только усилиться из-за неправильного двигательного стереотипа. Курс ЛФК длится примерно 6–12 месяцев по 3–4 занятия в неделю.
ЛФК показывает высокую эффективность при 1–2-й степени функционального кифоза, однако она может облегчить симптомы и при структурных аномалиях.
Если угол кифоза достигает 50–70°, пациентам до 15 лет нужно носить корсет. Это связано с тем, что у детей ещё открыты зоны роста (т. е. кости продолжают расти). Корсеты могут быть жёсткими (корректируют деформацию за счёт давления на позвоночник) и эластичными (поддерживают осанку при лёгком кифозе) [7].
В качестве дополнительного метода лечения в комплексной терапии врач также может назначить физиотерапию:
- электрофорез с Лидокаином — уменьшает боль в остром периоде;
- ударно-волновую терапию — стимулирует восстановление костной ткани при остеопорозе;
- магнитотерапию — улучшает микроциркуляцию в мышцах и связках.
В некоторых случаях мануальная терапия может быть полезна как часть комплексного консервативного лечения и реабилитации после операции, но её применение требует строгого учёта причины кифоза и индивидуальных рисков. Она помогает адаптировать организм к физическим нагрузкам, снижает интенсивность боли и повышает двигательную амплитуду позвоночника и суставов. Однако проводить такое лечение может только квалифицированный специалист с соответствующим образованием — мануальный терапевт.
В зависимости от течения болезни пациенту могут выписать медикаментозное лечение:
- анальгетики, нестероидные противовоспалительные средства (например, Ибупрофен) — устраняют болевой синдром;
- бисфосфонаты (например, Алендроновую кислоту) — эти лекарства замедляют разрушение кости при остеопорозе;
- хондропротекторы (например, Глюкозамин или Хондроитин) — их используют для защиты хрящевой ткани;
- препараты кальция и витамина D3 — поддерживают терапевтический эффект у пациентов с остеопорозом и высоким риском переломов [14].
Хирургическое лечение
Операцию назначают тем пациентам, у кого есть одно или несколько показаний:
- угол кифоза равен или превышает 70–75°, что приводит к нарушению работы внутренних органов;
- прогрессирующая неврологическая симптоматика (миелопатия, слабость мышц, нарушение чувствительности);
- выраженный болевой синдром;
- сдавливание сердечно-лёгочной системы с нарушением её работы;
- неэффективность консервативной терапии в течение 6–12 месяцев;
- неудовлетворительный внешний вид, из-за чего пациент ощущает психологический дискомфорт [12].
К основным хирургическим методам относится:
- спондилодез — деформированные участки удаляют, фиксируют позвонки титановыми винтами и стержнями и проводят костную пластику с помощью аутотрансплантата из подвздошной кости;
- педикулярная субтракционная остеотомия (PSO) — пациенту удаляют клиновидный участок и аккуратно выравнивают позвоночник, чтобы уменьшить угол искривления [8];
- вертебрэктомия (VCR) — позвонок полностью удаляют и на его место устанавливают титановый кейдж (как правило, к такой операции прибегают только в крайних случаях, когда от восстановления баланса позвоночника зависят жизненно важные функции организма, например дыхание и работа сердца) [9].

Спондилодез
Хирургическое вмешательство может привести к развитию инфекции, повреждению нервных корешков и псевдоартрозу (несращению костей). В последнем случае пациенту потребуется повторная операция.
Чтобы быстрее восстановиться и избежать осложнений, необходимо пройти курс ЛФК через 4–6 недель после операции и в течение 3–6 месяцев носить корсет.
Прогноз. Профилактика
При кифозе у детей и подростков современная диагностика и раннее начало ЛФК в большинстве случаев позволяют скорректировать осанку. Корсетирование уменьшает угол примерно на 20–50° [12][13].
Развитие патологического кифоза во взрослом возрасте снижает вероятность полного восстановления, но комплексная терапия помогает значительно улучшить качество жизни. Хирургические операции также дают хорошие результаты, если у пациента нет осложнений.
Профилактика патологического кифоза
Чтобы предотвратить развитие болезни, детям необходимо:
- ежедневно заниматься гимнастикой — делать упражнения на осанку, например «Лодочку» или «Кошку-корову» (попеременно округлять и выгибать спину);
- носить ортопедические рюкзаки — они позволяют правильно распределить нагрузку, однако его вес не должен превышать 10 % от массы тела ребёнка;
- ограничить время использования гаджетов — малыш не должен сидеть в одной позе более часа.
Упражнение «Кошка»
Взрослым также следует придерживаться некоторых правил:
- заниматься плаванием или йогой — 2–3 занятия в неделю помогают укрепить мышцы спины;
- потреблять достаточное количество полезных веществ — 1200 мг кальция и 800 МЕ витамина D в сутки;
- регулярно делать денситометрию — актуально для людей старше 50 лет, чтобы вовремя заметить признаки остеопороза и остеопении [10].
Список литературы
Лака А. А. Повреждения и заболевания позвоночника. — М.: ГЭОТАР-Медиа, 2025. — 400 с.
Международная классификация болезней 10-го пересмотра (МКБ-10) // MKB-10. [Электронный ресурс]. Дата обращения: 16.10.2025.
Kyphosis // Mayo Clinic. — 2024.
Zaidman A. M., Zaidman M. N., Strokova E. L., Korel A. V. еt al. The mode of inheritance of Scheuermann’s disease // Biomed Res Int. — 2013. — Vol. 2013. ссылка
Прийма Н. Ф., Комолкин И. А., Попов В. В., Комиссаров И. А. и др. Анатомо-функциональные изменения сердца при воронкообразной деформации грудной клетки у детей по данным эхокардиографии // Гений ортопедии. — 2011. — № 3. — С. 35–40.
Слипченко О. В., Хорошилов И. Е., Иванов В. П., Кузнецов А. Н. и др. Военно-врачебная экспертиза при кифозах // Военная медицина. — 2007. — № 4. — С. 39–40.
Maruyama T., Takeshita K., Kitagawa T. Milwaukee brace today // Disabil Rehabil Assist Technol. — 2008. — № 3. — Р. 136–138. ссылка
Рябых С. О., Савин Д. М. Возможности оперативного лечения кифозов III типа методом «Pedicle subtraction osteotomy» // Гений ортопедии. — 2013. — № 1. — С. 120–123.
MacLennan A. Scheuermann’s disease // The British Medical Journal. — 1922. — № 3227. — С. 864–866.
Блиновских В. В., Григорьев А. А., Шахвалеева Л. Н. Денситометрия как скрининговый метод определения остеопороза // Вестник Челябинской областной клинической больницы. — 2016. — № 4. — С. 100–103.
Lam J. C., Mukhdomi T. Kyphosis // StatPearls. — 2023.ссылка
Sardar Z. M., Ames R. J., Lenke L. G. Scheuermann’s Kyphosis: Diagnosis, Management, and Selecting Fusion Levels // J Am Acad Orthop Surg. — 2019. — № 10. — P. e462–e472. ссылка
Colak T. K., Akgun T., Colak I., Dereli M. еt al. Successful brace treatment of Scheuermann’s kyphosis with different angles // J Craniovertebr Junction Spine. — 2017. — № 2. — Р. 136–143. ссылка
Марченкова Л. А., Макарова Е. В., Васильева В. А., Сазонова Н. В. и др. Влияние базовой терапии кальцием и витаминами D3 и В6 на мышечную силу, функции движения и баланса у пациентов с остеопорозом, проходивших медицинскую реабилитацию // Вопросы курортологии, физиотерапии и лечебной физической культуры. — 2020. — № 1. — С. 25–34.
Lengerke J. Schmorl's nodes // Wikimedia Commons. — 2010.
Vasiliadis A. V., Valanos I., Valanos N., Mpeletsiotis A. Multilevel «fish-vertebra» sign in a patient with idiopathic osteoporosis // Clin Case Rep. — 2021. — № 6. — Р. e04250.ссылка
Liu C., Ge R., Li H., Zhu Z., Xia W., Liu H. Thoracolumbar/Lumbar Degenerative Kyphosis-The Importance of Thoracolumbar Junction in Sagittal Alignment and Balance // J Pers Med. — 2023. — № 1. — Р. 36.ссылка

