Определение болезни. Причины заболевания
Глиобластома (Glioblastoma) — это агрессивная злокачественная опухоль головного мозга, которая формируется из глиальных клеток, чаще всего — астроцитов [1]. Иногда её называют мультиформной глиобластомой (GBM).

Глиобластома
Глиобластома — самая распространённая злокачественная опухоль мозга у взрослых: на неё приходится 54 % от всех глиом и 16 % от всех первичных опухолей головного мозга [2]. Однако в общем перечне онкологических заболеваний она встречается сравнительно редко: ежегодно в США диагностируют лишь 2–4 случая глиобластом на 100 тыс. населения [2].
Эта опухоль обычно возникает в головном мозге (часто в лобной или височной доле), но в редких случаях может развиваться и в других отделах центральной нервной системы (ЦНС), например в спинном мозге или стволе мозга [3]. При этом она крайне быстро прорастает в окружающие ткани и способна вызывать тяжёлые неврологические нарушения. Среди типичных первых симптомов выделяют изменение настроения или поведения (например, немотивированную депрессию), а также нарастающие головные боли, которые иногда сопровождаются тошнотой, эпизодами рвоты и головокружением [3]. Без лечения глиобластома стремительно прогрессирует и приводит к смерти в течение нескольких месяцев.
Причины развития глиобластомы
Точные причины формирования опухоли до конца неизвестны. У большинства пациентов она возникает спорадически, т. е. спонтанно, без явных внешних причин [1]. Тем не менее известны некоторые факторы, способные повышать риск возникновения глиобластомы. К ним относятся:
- возраст — опухоль чаще диагностируют у людей старшего возраста (пик приходится на 50–80 лет, средний возраст около 64 лет);
- гендерный фактор — отмечается, что мужчины болеют чаще женщин (примерно в 1,5–1,6 раза) [1][2];
- ионизирующее излучение — перенесённое в прошлом лучевое воздействие на голову (например, облучение мозга при лечении другого заболевания) или частые компьютерные томографии (КТ) в детстве повышают риск развития глиальных опухолей мозга, поэтому врачи стараются применять КТ у детей только по строгим показаниям [4];
- генетическая предрасположенность — некоторые редкие наследственные синдромы могут предрасполагать к возникновению глиобластомы, например синдром Линча и связанный с ним синдром Туркота, нейрофиброматоз, туберозный склероз, синдром Ли-Фраумени и др. (таким пациентам рекомендуется проходить диспансерное наблюдение, чтобы вовремя диагностировать опухоль) [3][7];
- вирусные инфекции — в ткани глиобластом нередко обнаруживают фрагменты некоторых вирусов (например, цитомегаловируса, вируса Эпштейна — Барр, вируса полиомы и др.), поэтому учёные предположили, что они могут быть связаны с развитием опухоли, однако эта гипотеза пока не доказана [3].
Стоит отметить, что в научной литературе нет убедительных данных о связи между развитием глиобластомы и образом жизни: исследования не подтвердили, что диета, курение, употребление алкоголя или использование мобильного телефона повышают риск возникновения этой опухоли [1].
Симптомы глиобластомы
Клиническая картина глиобластомы зависит от расположения и скорости роста опухоли. Несмотря на это, можно выделить ряд характерных симптомов, которые встречаются особенно часто. В первую очередь появляются очаговые неврологические симптомы, связанные с поражением определённых участков мозга, а затем нарастают общемозговые проявления.
Очаговые неврологические симптомы:
- Эпилептические припадки — внезапные приступы судорог, во время которых пациент может потерять сознание. Судорожный синдром развивается примерно у трети пациентов с глиобластомой и может быть первым явным признаком болезни.
- Нарушения зрения и слуха — выпадение частей поля зрения, двоение в глазах, прогрессирующее снижение остроты зрения, шум в ушах, снижение слуха. Если опухоль затрагивает затылочную долю мозга или зрительные пути, у пациента могут появиться зрительные галлюцинации, например ощущения вспышек света, фигур и т. п.
- Расстройства речи — опухоль в речевых зонах (например, в левом полушарии у правшей) приводит к тому, что человеку сложно подбирать слова или он с трудом понимает чужую речь.
- Слабость в руках и ногах — при поражении моторных зон мозга возможны парезы (снижение силы мышц) с одной стороны, неустойчивая походка, иногда развивается паралич, при котором пациент не может пошевелить рукой или ногой [3]. Также может наблюдаться онемение кожи и покалывание.
- Нарушение координации — поражение мозжечка или ствола мозга, сопровождается шаткостью при ходьбе, дрожанием рук и проблемами с равновесием. Пациенту сложно совершать точные движения, отмечается общая неуклюжесть [3][7].

Нарушение координации
По мере прогрессирования глиобластомы вышеперечисленные симптомы становятся постоянными и выраженными. Далее появляются общемозговые проявления, вызванные отёком мозга и давлением опухоли на окружающие ткани. К ним относятся:
- Головные боли — часто постоянные и распирающие. Избавиться от болезненных ощущений не получается даже после приёма сильных обезболивающих. Для опухоли мозга характерно усиление болевого синдрома по утрам или в горизонтальном положении тела, а также сочетание боли с тошнотой.
- Головокружения — спонтанные эпизоды внезапного ощущения вращения или неустойчивости.
- Тошнота и рвота — эти желудочные симптомы не связаны с приёмом пищи и обусловлены повышением внутричерепного давления. Часто сочетаются с головной болью. Нередко рвота возникает натощак, по утрам.
- Психоэмоциональные изменения — необъяснимое подавленное настроение, апатия, снижение инициативы. Близкие могут отмечать, что человек стал вялым, сонливым, у него ухудшилась память или изменился характер [7].
У многих пациентов также развивается синдром повышения внутричерепного давления, который сопровождается усилением головной боли с тошнотой, сонливостью, двоением в глазах, снижением пульса и эпизодами кратковременного помрачения сознания. Поначалу эти симптомы появляются периодически и не слишком выражены, поэтому больной списывает их на усталость, стресс или мигрень. Однако без лечения состояние пациента неуклонно ухудшается: по мере роста опухоли признаки прогрессируют. В терминальной (конечной) стадии возможно снижение уровня сознания вплоть до комы [3].
Следует отметить, что симптоматика глиобластомы неспецифична, так как похожие признаки могут наблюдаться и при других заболеваниях мозга, например при доброкачественной опухоли, инсульте или мозговой инфекции. Тем не менее настороженность должны вызывать сочетание упорной головной боли с рвотой, эпилептические приступы без предшествующей эпилепсии, прогрессирующее снижение памяти или интеллекта, а также любые нарастающие очаговые неврологические симптомы у человека среднего и пожилого возраста. При появлении подобных проявлений важно без промедления обратиться к врачу-неврологу для обследования.
Патогенез глиобластомы
Глиобластома развивается из астроцитов — глиальных клеток, которые формируют каркас нервной ткани и участвуют в питании нейронов. В норме они практически не делятся, но ситуация меняется при возникновении мутации: в этом случае астроциты начинают бесконтрольно размножаться, формируя опухоль. Далее они проникают в здоровую ткань мозга, разрушая её и вызывая симптомы. Например, поражение лобной доли приводит к слабости и апатии, височной — к припадкам и нарушению речи [7].

Увеличение опухоли
Кроме того, глиобластома стимулирует рост новых сосудов, однако они формируются аномально и не обеспечивают полноценное кровоснабжение опухоли. В результате быстрорастущие участки глиобластомы страдают от нехватки кислорода, что приводит к формированию зон некроза — отмирания клеток. Однако это лишь ускоряет рост опухоли: здоровые клетки активно мигрируют из повреждённого участка, увеличивая распространение новообразования по мозгу. Кроме того, они создают вокруг себя особую среду (нишу), повышая выживаемость наиболее злокачественных клеток, которые в дальнейшем способны вызвать рецидив болезни.
Большинство глиобластом являются первичными, т. е. они возникают самостоятельно, без предшествующих опухолей. Около 10–15 % случаев вторичны: они развиваются из ранее существовавших глиом. Первичные опухоли связаны с мутациями гена EGFR, вторичные — генов IDH1/2 и TP53 [2]. При этом обе формы отличаются злокачественностью и агрессивным течением [3].
Глиобластома почти не метастазирует за пределы ЦНС, но может распространяться по спинномозговой жидкости. Даже после удаления опухоли в мозге остаются микроскопические очаги, что часто приводит к рецидиву [9][19]
Классификация и стадии развития глиобластомы
В медицинской практике используют несколько подходов к классификации глиобластом. Основная — это гистологическая классификация по системе Всемирной организации здравоохранения (ВОЗ). Согласно ей, глиобластома относится к группе диффузных астроцитарных глиом высокой степени злокачественности (Grade IV) [1].
Фактически глиобластому можно называть астроцитомой 4-й степени. Ранее использовался термин «глиобластома мультиформная», который подчёркивал её сложное строение. Сейчас глиобластомой называют только самые агрессивные формы без мутации в генах IDH, которые чаще всего развиваются у взрослых людей. Опухоли с мутацией IDH выделяют отдельно, однако для пациентов практическая разница между этими двумя группами небольшая: и та, и другая форма — это высоко злокачественная опухоль мозга.
Помимо общей степени злокачественности, глиобластомы классифицируют в зависимости от морфологических особенностей. К трём основным гистологическим подтипам относятся:
- гигантоклеточная глиобластома — отличается необычно крупными опухолевыми клетками с множественными ядрами;
- глиосаркома — в этой опухоли сочетаются два компонента: глиальный и саркоматозный (соединительная ткань);
- классическая глиобластома — это наиболее частая форма опухоли, в структуре которой не преобладают какие-либо редкие морфологические особенности (так называемая стандартная картина) [3][20].
Отдельно учитывается классификация по молекулярно-генетическим признакам, о которой упоминалось выше (IDH-статус, метилирование промотора MGMT, мутации гена EGFR и др.). Эти характеристики важны для подбора терапии и прогноза. Например, глиобластомы с метилированием гена MGMT лучше отвечают на химиотерапию Темозоломидом, а наличие мутации IDH обычно свидетельствует о вторичном происхождении опухоли и более медленном течении болезни [10]. Таким образом, молекулярные классификации используют в основном специалисты, для пациента большой информативности они не несут.
Также глиобластомы делят на уже упомянутые первичные и вторичные:
- первичные составляют около 80–90 % случаев, чаще всего они встречаются у пациентов старше 50 лет и не имеют мутации IDH;
- вторичные встречаются реже, несут мутацию гена IDH1/2, унаследованную от предшествующей опухоли, и обычно развиваются в среднем возрасте (примерно в 40–50 лет) [2][3].
Клинически важно, что вторичные глиобластомы могут прогрессировать чуть медленнее, но в конечном итоге ведут себя столь же агрессивно.
Стадии развития глиобластомы
Для опухолей головного мозга стандартная система стадирования (TNM) не применяется. Это связано с тем, что злокачественные глиомы практически не метастазируют за пределы мозга, а степень их злокачественности определяют по гистологическим критериям (Grade). Таким образом, глиобластома с самого начала относится к опухолям 4-й степени злокачественности, что отражает её крайне агрессивное течение и неблагоприятный прогноз.
Иногда врачи всё же используют термин «стадия» применительно к клиническому состоянию пациента. Например, если глиобластома выявлена на позднем этапе, когда опухоль достигла критически большого размера, широко распространилась и общее состояние больного классифицируется как тяжёлое, могут условно сказать, что это 4-я (терминальная) стадия. Но правильнее говорить просто о запущенной глиобластоме.
С другой стороны, на основании объёма опухоли и степени неврологических нарушений выделяют относительно ранние и диссеминированные случаи. На раннем этапе опухоль ещё ограничена одной долей мозга, поэтому симптомы умеренные. В случае диссеминированной опухоли у пациента возникают множественные узлы в нескольких долях или сторонах мозга, которые вызывают выраженное повышение внутричерепного давления. Однако чёткого деления на стадии нет — каждый случай индивидуален. Следовательно, при формулировке диагноза врачи указывают размер и расположение опухоли, степень злокачественности (Grade IV) и молекулярные маркеры, но не стадию по TNM.
При этом важно отметить, что любая глиобластома требует максимально активного лечения независимо от её размера и симптомов, так как даже небольшой очаг этой опухоли опасен для жизни пациента.
Осложнения глиобластомы
Глиобластома — это крайне опасное заболевание, которое без своевременного лечения неизбежно приводит к тяжёлым последствиям. Прежде всего осложнения глиобластомы связаны с ростом самой опухоли и её воздействием на мозг. Так, она может вызвать:
- Повышение внутричерепного давления и смещение структур мозга. Опухоль вызывает отёк окружающих тканей и повышение давления внутри черепа. При достижении критического уровня возникает смещение мозговых структур — дислокация. В тяжёлых случаях это приводит к грыже мозга — опасному осложнению, при котором части мозга сдавливаются и смещаются в соседние отделы черепа [6]. Это вызывает нарушение сознания, дыхания и сердечной деятельности. Транстенториальная грыжа (смещение височной доли под намёт мозжечка) или вдавление ствола мозга в большое затылочное отверстие часто приводят к смерти [17]. Поэтому высокое внутричерепное давление — грозное осложнение, требующее неотложной помощи (вплоть до срочной операции — декомпрессии).

Смещение структур мозга
- Стойкие неврологические дефициты. Разрушение опухолью различных отделов мозга может привести к необратимым последствиям. Например, если глиобластома повредила двигательные зоны, развивается односторонний паралич и человек теряет способность ходить или пользоваться рукой. Поражение речевых центров может привести к полной утрате речи (афазии). Нередко страдают когнитивные функции: пациенты с глиобластомой на поздних стадиях утрачивают память, способность мыслить и общаться, не могут самостоятельно ухаживать за собой и становятся зависимы от окружающих людей [6]. В некоторых случаях отмечаются выраженные поведенческие и личностные изменения, например опухоль лобной доли может вызвать деменцию, апатию, снижение самоконтроля и критичности к своему состоянию и т. д. Такие нарушения сохраняются даже при успешном уменьшении опухоли, поскольку нервные клетки уже разрушены.
- Эпилептический статус. Опухоль, провоцируя судорожные припадки, может привести к тяжёлому осложнению — эпилептическому статусу, когда один приступ следует за другим без восстановления сознания. Такой статус опасен отёком мозга, травмами при судорогах, аспирацией (попаданием в дыхательные пути) рвотных масс и требует реанимационных мероприятий.
- Гидроцефалия. Если опухоль нарушает отток спинномозговой жидкости (например, блокирует желудочки мозга), развивается окклюзионная гидроцефалия — скопление жидкости в мозговых полостях. Это усугубляет внутричерепную гипертензию и может потребовать установки шунта для отведения жидкости.

Гидроцефалия и повышение внутричерепного давления
- Возвращение (рецидив) опухоли. Даже после проведённого лечения глиобластомы велика вероятность её повторного роста. У подавляющего большинства пациентов спустя некоторое время после терапии вблизи удалённого участка или в других зонах мозга появляются новые очаги опухоли [6]. При этом рецидив глиобластомы обычно протекает ещё более агрессивно.
Таким образом, без лечения глиобластома приводит к полному неврологическому угасанию пациента: больной перестаёт двигаться, говорить, самостоятельно есть, далее наступает кома и смерть. По статистике, без терапии средняя продолжительность жизни с глиобластомой составляет всего несколько месяцев [16].
Важно понимать, что многие из осложнений можно отсрочить или предотвратить, если вовремя начать лечение. Например, своевременное хирургическое вмешательство снижает внутричерепное давление и улучшает неврологический статус, а противосудорожные препараты помогают контролировать эпилептические припадки. Поэтому ранняя диагностика и терапия глиобластомы напрямую влияют на частоту и тяжесть осложнений.
Диагностика глиобластомы
При появлении подозрительных симптомов пациенты обычно обращаются к неврологу. Именно он проводит первичное обследование и при подозрении на опухоль мозга направляет на дополнительные исследования. При подтверждении глиобластомы лечением занимается команда врачей: нейрохирург, онколог, радиотерапевт, химиотерапевт и специалисты по реабилитации.
Сбор анамнеза и осмотр
На первичном приёме врач подробно расспрашивает пациента о жалобах: когда появились головные боли, как они прогрессировали, не было ли эпизодов потери сознания, нарушения зрения, изменений поведения, слабости в руках и ногах. Он также уточняет, не подвергался ли человек воздействию ионизирующей радиации, не имеет ли ВИЧ-инфекции или других факторов, способных влиять на ЦНС, были ли в семье случаи рака (особенно опухолей мозга).
Затем проводится тщательный неврологический осмотр. Врач проверяет остроту и поля зрения, реакцию зрачков, работу черепных нервов (движения глазных яблок, мимику, слух, глотание и др.), силу и тонус мышц рук и ног, рефлексы, координацию движений, чувствительность кожи, речь и память. При глиобластоме могут выявляться различные отклонения, например:
- неравномерность рефлексов и мышечной силы в разных сторонах тела;
- расстройства речи;
- нарушения зрения и слуха
- патологический рефлекс Бабинского (тыльное разгибание большого пальца стопы при штриховом раздражении наружного края подошвы) т. д.
Симптом Бабинского
Хотя ни один из этих признаков не является специфичным только для глиобластомы, совокупность очаговой симптоматики с признаками повышенного внутричерепного давления позволяет врачу заподозрить опухоль головного мозга. Тем не менее точный диагноз требует дополнительного обследования.
Инструментальная диагностика
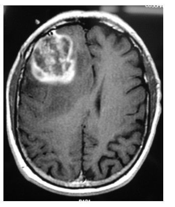
Основным методом диагностики глиобластомы является нейровизуализация — снимки мозга с помощью томографических методов: магнитно-резонансной и компьютерной томографии (МРТ и КТ).
МРТ — наиболее информативный способ, который позволяет точно определить размеры, форму и распространение опухоли, особенно с контрастом на основе Гадолиния: глиобластома выглядит как яркий очаг с отёком вокруг. Метод также подходит для выявления опухолей спинного мозга.
![Глиобластома на МРТ [21] Глиобластома на МРТ [21]](/media/bolezny/glioblastoma/glioblastoma-na-mrt-21_s.jpeg?dummy=1770878252648)
Глиобластома на МРТ [21]
КТ менее детализирована, но быстрее и доступнее, особенно в экстренных случаях. Кроме того, её используют, когда пациенту противопоказана МРТ. КТ выявляет крупные образования, участки распада и отёк мозга, также с помощью контрастирования она позволяет оценить кровоснабжение и смещение мозговых структур.
Чтобы поставить окончательный диагноз, требуется гистологическое подтверждение — изучение образца опухолевой ткани под микроскопом. Как правило, материал получают при нейрохирургической операции по удалению опухоли. Если же радикальная операция невозможна, выполняют стереотаксическую биопсию: через небольшое отверстие в черепе берут фрагмент опухоли с помощью специальной иглы. Гистологическое исследование позволяет установить тип опухоли и определить молекулярные маркеры. Это критически важно для дальнейшего лечения и прогноза. Без биопсии диагноз глиобластомы считается лишь предположительным, поэтому во всех доступных случаях стараются получить ткань опухоли на анализ.

Стереотаксическая биопсия
К дополнительным исследованиям относятся:
- электроэнцефалография (ЭЭГ) — запись электрической активности мозга, которая нередко выявляет очаг эпилептиформной активности в области опухоли;
- люмбальная пункция с исследованием ликвора — её проводят, чтобы исключить распространение опухолевых клеток в спинномозговой жидкости, однако при выраженной внутричерепной гипертензии пункция опасна, поэтому её проводят редко;
- позитронно-эмиссионная томография (ПЭТ-КТ) мозга с контрастом — помогает отличить активную опухоль от постлучевых изменений или некроза;
- ангиография сосудов мозга — её проводят при планировании операции, чтобы оценить кровоснабжение опухоли и риск кровотечений [3].
Люмбальная пункция
Дифференциальная диагностика
При постановке диагноза необходимо отличить глиобластому от других заболеваний ЦНС, которые могут давать схожую клиническую картину. Прежде всего это другие опухоли мозга: метастазы рака из других органов, лимфома ЦНС, абсцесс мозга (инфекционное воспалительное образование, внешне похожее на опухоль), а также доброкачественные опухоли (например, менингиома) [6].
Инсульт (особенно геморрагический) в подострой стадии также можно спутать с опухолью на МРТ или КТ. Чтобы отличить эти состояния врачи анализируют совокупность данных: особенности клинической картины, данные нейровизуализации (структуру и расположение повреждения, накопление контрастного вещества), скорость роста и др. При сомнениях помогает всё тот же гистологический анализ, только он способен точно установить природу образования. Поэтому нередко до получения результатов биопсии в диагнозе пишут общий термин «Опухоль головного мозга». После морфологической верификации уже ставится окончательный диагноз глиобластомы, после чего врачи могут планировать оптимальное лечение.
Лечение глиобластомы
У пациентов, уже находящихся в тяжёлом состоянии, могут развиться острые, угрожающие жизни состояния, например эпилептический припадок и резкое повышение внутричерепного давления.
В случае эпилептического припадка необходимо уложить человека на бок и положить ему под голову что-нибудь мягкое (свёрнутую одежду, сумку или подушку), чтобы защитить голову от ударов. Ни в коем случае нельзя разжимать зубы силой или вливать в рот лекарства — нужно дождаться окончания приступа и вызвать скорую помощь.
Первая помощь при приступе эпилепсии
При признаках острой внутричерепной гипертензии (резком угнетении сознания, рвоте и нарушении дыхания) также необходимо экстренно госпитализировать пациента. В больнице нейрохирурги смогут срочно установить отвод ликвора из мозга (шунтирование) или провести краниотомию (удаление части черепа) для снижения давления.
Основные цели лечения глиобластомы — удалить максимально возможную часть опухоли, замедлить её рост и продлить жизнь пациента. К сожалению, полностью вылечить глиобластому современная медицина пока не может, в большинстве случаев через некоторое время опухоль возникает вновь. Тем не менее активная терапия способна значительно улучшить прогноз. Комплекс лечения подбирают индивидуально, учитывая состояние пациента, расположение опухоли, молекулярные характеристики и другие факторы. В стандартный подход входит комбинация хирургического, лучевого и медикаментозного методов (так называемое мультимодальное лечение) [2].
Хирургическое лечение
Это первый и самый важный этап терапии, если опухоль находится в доступном для операции месте. Хирург старается максимально удалить опухолевую ткань и тем самым снизить внутричерепное давление и уменьшить массу злокачественных клеток [3]. Операцию проводят под микроскопом, чтобы не повредить важные зоны мозга.
Полное удаление глиобластомы осложняется тем, что опухоль прорастает диффузно, т. е. её границы размыты. Тем не менее уменьшение объёма опухоли значительно улучшает неврологический статус и повышает эффективность последующей химио- и радиотерапии [3].
Кроме того, если опухоль диффузно распространилась или расположилась в жизненно важной зоне, может выполняться паллиативное вмешательство, направленное на снижение симптомов: шунтирование мозговых желудочков и удаление части опухоли, снижающее давление [3].

Шунтирование
Известно, что объём удаления напрямую связан с выживаемостью: пациенты, у которых удалено более 90 % опухоли, живут дольше тех, кому выполнена лишь биопсия [14]. Современные технологии — нейронавигация, флуоресцентное окрашивание опухоли (5-АЛК), интраоперационная МРТ — помогают хирургу более точно иссечь опухоль. Тем не менее почти всегда в мозге остаются рассеянные опухолевые клетки.
Важно понимать, что операции на головном мозге проводят высококвалифицированные нейрохирурги, и при правильном планировании риск серьёзных осложнений (например, кровоизлияния или инфекции) невелик. После удаления опухоли состояние пациента обычно улучшается: уходят симптомы высокого давления, частично восстанавливаются утраченные способности (например, речь, сила в ногах и руках). Операция также позволяет получить материал для гистологического исследования и уточнить диагноз.
Лучевая терапия
Практически всем пациентам после операции на головном мозге назначают облучение опухолевого очага, чтобы уничтожить оставшиеся злокачественные клетки. Лучевая терапия обычно начинается через 2–4 недели после нейрохирургического вмешательства, когда заживает операционная рана.
Чаще всего проводят дистанционную радиотерапию: на область, где находилась опухоль (с захватом небольшого окружающего поля), направляют высокоэнергетические лучи. Это позволяет максимально повредить ДНК опухолевых клеток при приемлемом влиянии на здоровые ткани мозга.
![Радиотерапия [22] Радиотерапия [22]](/media/bolezny/glioblastoma/radioterapiya-22_s.jpeg?dummy=1770878443406)
Радиотерапия [22]
Существуют и стереотаксические варианты облучения (гамма-нож, кибер-нож), но обычно их используют при небольших очагах или рецидивах, поскольку диффузная природа опухоли требует облучения относительно большого поля.
Облучение существенно снижает риск быстрого рецидива глиобластомы после операции, однако она воздействует и на нормальные клетки мозга. К возможным побочным эффектам относятся лучевой отёк мозга (сопровождается временным усилением симптомов, из-за чего пациенту необходимо принимать кортикостероиды), выпадение волос на облучаемой области головы, покраснение кожи и общая слабость [3]. В дальнейшей перспективе облучение может вызывать когнитивные нарушения, особенно если облучаются большие объёмы мозга. Тем не менее при такой грозной болезни, как глиобластома, выгода лучевой терапии перевешивает риски: без неё опухоль почти наверняка в скором времени вырастет снова.
В некоторых случаях, когда операция невозможна (например, опухоль находится в стволе мозга) или пациент неоперабелен (может не пережить операцию), лучевая терапия становится основным методом лечения.
Химиотерапия
Лекарственное лечение также является стандартной частью терапии глиобластомы. Наиболее эффективным химиопрепаратом признан Темозоломид. Обычно его назначают в комбинации с облучением и после него (протокол Ступпа) по следующей схеме:
- ежедневный приём препарата в небольшой дозе в дни лучевой терапии;
- ежемесячные 5-дневные курсы препарата в более высокой дозировке после завершения радиотерапии (обычно проводят 6–12 таких циклов) [2][8].
Доказано, что добавление химиотерапии к облучению повышает 2-летнюю выживаемость больных глиобластомой почти вдвое [11]. Особенно хорошо препарат работает у пациентов с метилированным геном MGMT: в этом случае в опухоли содержится малое количество белка, который ремонтирует определённый тип повреждений в ДНК, поэтому препарат работает эффективнее.
Пациенты относительно неплохо переносят Темозоломид, к его основным побочным эффектам относятся угнетение кроветворения (снижение числа нейтрофилов и тромбоцитов), тошнота, потеря аппетита и общая слабость. Эти явления контролируют с помощью противорвотных средств и стимулятора лейкопоэза, который увеличивает образование лейкоцитов (кровяных клеток).
Если опухоль продолжает прогрессировать или случился рецидив, назначают схемы «второй линии», например комбинацию PCV (Прокарбазин, Ломустин, Винкристин) или другие алкилирующие агенты [8][12]. Однако их эффективность невысока.
Некоторые врачи также применяют так называемую местную химиотерапию: во время операции на место удалённой опухоли помещают специальные полимерные пластины, пропитанные химиопрепаратом (Кармустином), которые постепенно выделяют лекарство в окружающую ткань мозга. Эта методика позволяет локально воздействовать на опухоль, минуя системные эффекты. Однако чаще всего её используют при первичной глиобластоме без диффузного распространения.
Таргетная и иммунная терапия
В случае рецидивирующей глиобластомы пациенту могут назначить Бевацизумаб. Он не убивает опухоль, но подавляет рост сосудов, уменьшая отёк и временно стабилизируя болезнь, однако препарат почти не влияет на выживаемость, поэтому в России используется ограниченно [13].
Иммунотерапия (например, чекпойнт-ингибиторы) показала слабую эффективность: в большинстве исследований она никак не повлияла на выживаемость. Вакцины, CAR-T-клетки (генетически модифицированные Т-лимфоциты) и вирусная терапия пока находятся на стадии исследований.
В некоторых странах используют устройство Tumor Treating Fields — специальный аппарат, который через наклейки на коже головы создаёт электромагнитное поле и препятствует делению опухолевых клеток. Согласно клиническим данным, применение TTFields в сочетании со стандартной химиолучевой терапией добавляет несколько месяцев к средней выживаемости пациентов [18]. Однако этот аппарат достаточно дорогой. Кроме того, его необходимо носить около 18 часов в сутки, поэтому в России он пока не получил широкого распространения.

TTFields
Симптоматическое лечение и реабилитация
Помимо прямого противоопухолевого воздействия, важным компонентом является терапия, направленная на облегчение симптомов и улучшение качества жизни. Практически всем пациентам во время специального противоопухолевого лечения назначают глюкокортикоиды (например, Дексаметазон), которые снижают отёк мозга, уменьшает головные боли и очаговые симптомы во время основного лечения.
Чтобы предотвратить развитие судорог применяют противоэпилептические препараты (Леветирацетам, Вальпроат и др.)[6]. По необходимости назначают обезболивающие средства, транквилизаторы, препараты для коррекции гормональных нарушений и т. д.
Очень важна роль реабилитационных мероприятий: после операции и курса лучевой терапии пациенту может потребоваться консультация с реабилитологом, логопедом, физио- и эрготерапевтом. Они подбирают упражнения для восстановления двигательных навыков, речи, памяти и внимания, помогают заново освоить утраченные бытовые навыки, учат ходить (при парезах), пользоваться вспомогательными средствами и т. д. [6]
Также крайне необходима психологическая поддержка как самим больным, так и их семьям, ведь диагноз «Глиобластома» является тяжёлым стрессом. Пациентам и их близким будет полезно посещать психоонколога и специализированные группы поддержки, в том числе онлайн-сообщества пациентов с опухолями мозга.
Таким образом, стратегия лечения глиобластомы подчиняется принципу: удалить, что возможно — облучить оставшееся — подавить рост лекарствами — поддержать организм. Комплексный подход (лечение вместе с реабилитацией) позволяет многим пациентам дольше сохранять активность и поддерживать относительно удовлетворительное качество жизни [2]. Однако, учитывая неизбежность рецидивов, учёные не прекращают поиски новых средств лечения. Пациентам с глиобластомой нередко предлагают участие в клинических экспериментальных испытаниях. При согласии больной может получить доступ к новым технологиям лечения, но сейчас глиобластома всё ещё остаётся практически неизлечимой опухолью, хотя и поддающейся временной ремиссии.
Прогноз. Профилактика
Прогноз при глиобластоме, к сожалению, неблагоприятный. Эта опухоль относится к наиболее агрессивным и быстро прогрессирующим, и даже при современном лечении она практически всегда рецидивирует. Без терапии течение глиобластомы стремительное: согласно статистическим данным, средняя продолжительность жизни таких пациентов составляет около 3–4 месяцев. Противоопухолевое лечение способно значительно продлить жизнь больного и улучшить её качество, но не приводит к полному излечению. При использовании комплексной терапии (операция + радиотерапия + Темозоломид) медиана выживаемости составляет около 15 месяцев [2][5].
Разумеется, прогноз варьируется индивидуально. К благоприятным прогностическим факторам относятся: молодой возраст (до 50 лет), хорошее общее состояние на момент начала лечения, возможность полного удаления опухоли, наличие метилирования гена MGMT и мутации IDH1 в опухоли. Такие пациенты могут прожить 2–3 года и дольше [2]. В литературе также описаны единичные случаи, когда больные с глиобластомой жили более 10 лет [16].
Считается, что вторичные глиобластомы имеют несколько лучший прогноз, чем первичные: средняя выживаемость около 2–3 лет против 1–1,5 лет соответственно [2].
К факторам, которые повышают риск неблагоприятного исхода, относятся пожилой возраст, множественные или недоступные очаги, тяжёлый неврологический дефицит до начала лечения, а также отсутствие метилирования MGMT, так как опухоль становится устойчивее к Темозоломиду. У таких пациентов болезнь нередко прогрессирует в течение месяцев даже при лечении. Тем не менее медицина не может абсолютно точно предсказать индивидуальный исход: иногда сравнительно «благополучные» случаи дают неожиданный ранний рецидив, и, напротив, пациенты с плохими исходными данными живут дольше ожидаемого.
Лечение глиобластомы направлено на продление жизни и улучшение её качества. При прогрессировании возможны повторные операции, смена химиотерапии или переход к паллиативной помощи. Даже при распространённом опухолевом процессе состояние можно частично стабилизировать. В настоящее время 1-летняя выживаемость составляет 40–50 %, 2-летняя — 15–20 %, 5-летняя — около 7 % [5].
Важно подчеркнуть, что прогноз при глиобластоме постепенно улучшается благодаря внедрению новых технологий. Например, ещё 20–30 лет назад медиана выживаемости не превышала 9–10 месяцев, а 5-летняя выживаемость была практически нулевой [15]. Однако введение Темозоломида и комбинированной терапии увеличило эти показатели примерно вдвое [11]. Каждый дополнительный месяц жизни для пациента с глиобластомой ценен — ведь это время, которое можно провести с семьёй, заняться важными делами. К тому же в онкологии не прекращаются исследования, и появление нового препарата или метода лечения может в будущем продлить жизнь тем, кто проходит лечение уже сейчас. Поэтому, даже зная неблагоприятную статистику, всегда стоит бороться за время и надежду.
Профилактика глиобластомы
К несчастью, проверенных способов предотвратить болезнь пока не существует. Это заболевание может возникнуть спонтанно у любого человека [7]. Единственное, что можно сделать, — постараться снизить риск его развития. Для этого следует:
- избегать облучения головы без необходимости — назначенные врачом КТ или рентген безопасны, но лишние исследования, особенно у детей, делать не стоит (те, кто получал лучевую терапию в детстве, должны проходить регулярные осмотры у невролога) [4];
- защищаться от канцерогенов — хотя связь с химикатами не доказана окончательно, есть данные о влиянии веществ вроде Винилхлорида, поэтому на вредных производствах необходимо использовать защитные средства [1];
- наблюдаться у генетиков и онкологов при наличии наследственных заболеваний — некоторым пациентам также может быть рекомендована регулярная МРТ;
- вести здоровый образ жизни — хотя влияние диеты, курения и экологии на глиобластому не доказано, эти меры снижают риск развития других опухолей и помогают лучше переносить лечение [1];
- своевременно обращаться к врачу — ранняя диагностика увеличивает шансы на эффективное лечение, поэтому ни в коем случае нельзя игнорировать длительные головные боли, слабость, припадки или изменения поведения.
Таким образом, соблюдение общих принципов здоровой жизни и осторожность с радиацией — по крайней мере, разумные меры, которые снижают риск в целом. Кроме того, важно знать о болезни и её признаках, чтобы не затягивать с визитом к врачу. Хотя глиобластома — тяжёлый диагноз, медицина не стоит на месте, и современные лечебные протоколы внушают осторожный оптимизм. Пациентам важно чётко следовать рекомендациям врачей, не терять надежду и пользоваться поддержкой близких и специалистов. Даже при таком серьёзном заболевании грамотный подход позволяет выигрывать время и сохранять качество жизни как можно дольше.
Список литературы
Что такое глиобластома? Информационный бюллетень для пациентов (русская версия) // UCLA Neurosurgery. — 2018.
Tamimi A. F., Juweid M. Epidemiology and Outcome of Glioblastoma // Glioblastoma. — 2017. — P. 143–153. ссылка
Глиобластома головного мозга — симптомы, признаки, причины // ФГБУ НМИЦ радиологии Минздрава РФ. — 2021.
Семикоз Н. Г., Чегоненко А. С. Современные подходы к диагностике и лечению первичных опухолей головного мозга (обзор литературы) // Поволжский онкологический вестник. — 2024. — № 2. — С. 36–48.
Ostrom Q. T., Cioffi G., Gittleman H., Patil N. et al. CBTRUS Statistical Report: Primary Brain and Other Central Nervous System Tumors Diagnosed in the United States in 2012–2016 // Neuro Oncol. — 2019. — Vol. 21. — P. v1–v100. ссылка
Roy S., Lahiri D., Maji T., Biswas J. Recurrent Glioblastoma: Where we stand // South Asian J Cancer. — 2015. — № 4. — Р. 163–173. ссылка
Glioblastoma — Symptoms & causes // Mayo Clinic. — 2024.
NCCN Guidelines. Central Nervous System Cancers // NCCN. — 2025.
Zhang W., Lin L., Li Y., Wang Y., Shen H., Guan Y. Glioblastoma with cerebrospinal fluid dissemination and MYC gene amplification: A transitional or atypical glioblastoma with primitive neuronal components // Medicine (Baltimore). — 2025. — Vol. 104. — P. e44072. ссылка
Adult Central Nervous System Tumors Treatment (PDQ®) // PDQ Cancer Information Summaries. — 2024.ссылка
Stupp R., Mason W. P., van den Bent M. J. et al. Radiotherapy plus Concomitant and Adjuvant Temozolomide for Glioblastoma // N Engl J Med. — 2005. — № 10. — P. 987–996. ссылка
McBain C., Lawrie T. A., Rogozińska E., Kernohan A., Robinson T., Jefferies S. Treatment options for progression or recurrence of glioblastoma: a network meta-analysis // Cochrane Database Syst Rev. — 2021. — № 1. ссылка
Wen P. Y., Weller M., Lee E. Q. et al. Glioblastoma in Adults: A Society for Neuro-Oncology (SNO) and European Society of Neuro-Oncology (EANO) Consensus Review on Current Management and Future Directions // Neuro Oncol. — 2025. — Vol. 13. ссылка
CBTRUS Fact Sheet 2025 // CBTRUS. — 2025.
Rabab'h O., Al-Ramadan A., Shah J., Lopez-Negrete H., Gharaibeh A. Twenty Years After Glioblastoma Multiforme Diagnosis: A Case of Long-Term Survival // Cureus. — 2021. — № 6. — P. e16061.ссылка
Maiese K., Levin M. C. Brain Herniation // MSD Manual. — 2024.
Степанов И. А., Сороковиков В. А., Белобородов В. А., Кривошапкин А. Л., Гайтан А. С., Шамеева М. А. Современные достижения молекулярной и клеточной биологии в лечении глиобластомы // Онкология. Журнал им. П. А. Герцена. — 2022. — № 4. — С. 66–72.
Webb L. M. et al. A case series of osseous metastases in patients with glioblastoma // Medicine (Baltimore). — 2024. — № 27. — P. e38794. ссылка
Louis D. N., Perry A., Wesseling P. et al. The 2021 WHO Classification of Tumors of the Central Nervous System: a summary // Neuro Oncol. — 2021. — № 8. — P. 1231–1251. ссылка
Gupta G. Neurologic Manifestations of Glioblastoma Multiforme // Medscape. — 2021.
Radiation Therapy for Meningioma // Moffitt Cancer Center. [Электронный ресурс]. Дата обращения: 10.09.2024.

