Определение болезни. Причины заболевания
Туберозный склероз (ТС; Tuberous sclerosis) — это генетическое заболевание, которое поражает сразу несколько органов, например кожу, головной мозг, почки, лёгкие и сердце. Основным признаком туберозного склероза является формирование доброкачественных опухолей (тубер или гамартом). Болезнь возникает из-за мутаций генов TSC1 и TSC2, находящихся в хромосомах 9q34 и 16p13, которые регулируют рост клеток [1]. Также эту болезнь называют туберозным склерозным комплексом (ТСК).
![Пример опухоли при ТС [30] Пример опухоли при ТС [30]](/media/bolezny/tuberoznyy-skleroz/primer-opuholi-pri-ts-30_s_uY1jeGl.jpeg)
Пример опухоли при ТС [30]
Основными симптомами туберозного склероза являются:
- эпилептические приступы, которые плохо поддаются медикаментозному лечению;
- фибромы (почти у всех пациентов с ТС наблюдаются образования в области околоногтевого ложа);
- гипопигментные (обесцвеченные) пятна на коже;
- трудности с обучением и расстройства поведения;
- нарушение работы сердца и почек;
- снижение зрения (встречается реже других проявлений).
При этом важно отметить, что симптомы могут проявиться в любом возрасте, а их интенсивность зависит от расположения, размера и роста опухолей [2][3].
Лучше всего изучены кожные проявления, а именно аденома сальных желёз, которая развивается из эпителиальных клеток, расположенных в протоках желёз. Она не проявляется до позднего детского или раннего подросткового возраста (до 7–15 лет).
![Аденома сальных желёз [31] Аденома сальных желёз [31]](/media/bolezny/tuberoznyy-skleroz/adenoma-salnyh-zhelyoz-31_s.jpeg)
Аденома сальных желёз [31]
Туберозный склероз довольно редкое заболевание: оно встречается примерно у одного из 6–10 тыс. новорождённых [4]. Болезнь не зависит от пола и одинаково часто встречается у людей всех этнических групп.
ТС может передаваться по наследству: если хотя бы у одного родителя есть мутировавший ген, вероятность рождения больного ребёнка составляет 50 %. Однако часто мутация возникает спонтанно [3].
Факторов риска развития этого заболевания не существует, поскольку оно является генетическим и довольно редким [4].
Симптомы туберозного склероза
Клинические проявления туберозного склероза отличаются в зависимости от возраста пациента. В период внутриутробного развития обычно выявляют рабдомиому сердца, у новорождённых детей — эпилептические приступы, в младшем школьном возрасте — задержку развития и умственную отсталость, во взрослом возрасте — ангиомиолипомы почек, лимфангиолейомиоматоз и околоногтевые фибромы [17]. При наследственном туберозном склерозе степень выраженности клинических проявлений может значительно разниться даже у членов одной семьи: у одних симптомы будут ярко выражены, а у других их может почти не быть.
Кожные проявления
Чаще всего ТС сопровождается кожными симптомами: их наблюдают в 95 % случаев [22]. Они включают:
- Гипопигментные пятна — участки кожи, чаще овальной формы, с низким содержанием пигментных клеток. Чтобы точно определить тип и границы поражения, врач может осмотреть пятна под лампой Вуда (специальной лампой с ультрафиолетовым излучением).
![Гипопигментные пятна (лист ясеня) на руке [27] Гипопигментные пятна (лист ясеня) на руке [27]](/media/bolezny/tuberoznyy-skleroz/gipopigmentnye-pyatna-list-yasenya-na-ruke-27_s.jpeg)
Гипопигментные пятна (лист ясеня) на руке [27]
- Ангиофибромы (кожные гамартомы) — доброкачественные новообразования, которые обычно располагаются на лице: около носа или на скулах. На ранних этапах ангиофибромы выглядят как плоские красноватые пятна, которые можно ошибочно принять за веснушки.
![Ангиофибромы (кожные гамартомы) [28] Ангиофибромы (кожные гамартомы) [28]](/media/bolezny/tuberoznyy-skleroz/angiofibromy-kozhnye-gamartomy-28_s.jpeg)
Ангиофибромы (кожные гамартомы) [28]
- Околоногтевые фибромы (опухоли Коэна) — множественные твёрдые узелки красного или телесного цвета длиной 5–10 мм (иногда бывают и больше). Возникают в подростковом и взрослом возрасте, обычно поражают пальцы ног и сочетаются с глубокими продольными полосами на ногтях.
- Фиброзные бляшки на голове — бежево-коричневатые шероховатые образования, похожие на родинки, немного выступающие над кожей. Чаще располагаются на лбу. Могут быть первым симптомом заболевания у новорождённых [5].
- Участки «шагреневой кожи» — утолщённые, шероховатые участки кожи, которые по текстуре напоминают апельсиновую корку. Обычно располагаются в области поясницы [6].
![«Шагреневая кожа» [29] «Шагреневая кожа» [29]](/media/bolezny/tuberoznyy-skleroz/shagrenevaya-kozha_-29_s.jpeg)
«Шагреневая кожа» [29]
Зачастую новообразования появляются в детстве и активно растут в период полового созревания, после чего не изменяются в размерах на протяжении всей жизни.
Неврологические нарушения
Второе место по частоте возникновения занимают неврологические симптомы. В их основе лежит формирование глионейрональных опухолей — узлов в разных отделах головного мозга, которые вызывают эпилептические приступы (наблюдаются у 92 % пациентов с ТС, у 63 % — на первом году жизни) [4]. В остальных случаях опухоли никак не проявляются.
Приступы могут развиваться по типу инфантильных спазмов — судорог, которые развиваются у детей (обычно в возрасте до года) и приводят к задержке развития [7]. Обычно такие спазмы следуют друг за другом с интервалом в несколько секунд и выглядят как обычные вздрагивания, поэтому долго не вызывают беспокойства у родителей. Количество эпилептических приступов может достигать до нескольких десятков в день, чаще возникают после пробуждения, иногда — во время засыпания.
Со временем инфантильные спазмы могут трансформироваться в другие виды судорог, в том числе фокальные или генерализованные.
Фокальные приступы возникают из-за аномальной электрической активности в определённой области головного мозга, в отличие от генерализованных приступов, вызванных поражением обоих полушарий. Поэтому фокальные судороги затрагивают лишь одну часть тела (руку, ногу или лицо), в то время как генерализированные приступы сопровождаются потерей сознания, подёргиванием всех конечностей, прикусом языка и в некоторых случаях непроизвольным мочеиспусканием.
Эпилепсия — это тяжёлое заболевание: если не начать лечение вовремя, оно может привести к снижению познавательных способностей и интеллекта, нарушению памяти и проблемам с социальной адаптацией.
Нейропсихические симптомы
У пациентов с ТС нередко развиваются нейропсихические расстройства. Их причиной может стать как эпилепсия, так и гамартомы, прорастающие в мозговую ткань [8].
К нейропсихическим симптомам относятся:
- умственная отсталость различной степени выраженности (встречается приблизительно у 65 % пациентов) [9];
- расстройства аутистического спектра, т. е. детский аутизм или другие расстройства [10];
- синдром дефицита внимания и гиперактивности (СДВГ);
- нарушения поведения: вспышки гнева, перепады настроения, тревога, расстройства сна, ритуальное поведение, например, когда ребёнок ест только из одной и той же тарелки или раскладывает предметы в определённом порядке (однако не все ритуалы указывают на психическое расстройство, для полной диагностики необходима консультация психиатра) [4][11].
Эти состояния значительно усложняют жизнь как самим пациентам, так и близким, которые ухаживают за ними. Люди с такими диагнозами испытывают серьёзные проблемы в общении со сверстниками, им сложно приспособиться к жизни в обществе. Поэтому нейропсихические нарушения требуют комплексного лечения, которое будет включать как медикаментозную, так и психотерапию. Поставить соответствующий диагноз может только врач, ни в коем случае нельзя заниматься самодиагностикой.
Поражение внутренних органов
На фоне ТС также могут возникнуть:
- Ангиомиолипомы почек — это опухоли, которые безопасны сами по себе, но по мере роста начинают сдавливать почки, нарушая их работу. Среди всех поражений внутренних органов при туберозном склерозе они встречаются чаще всего. Основные симптомы — боль в поясничной области, появление примеси крови в моче, задержка мочи, анемия и повышение артериального давления. К менее специфичным признакам относятся слабость и сонливость [14].
- Рабдомиомы — это опухоли сердца, чаще всего диагностируемые у младенцев. Обычно они себя не проявляют, не требуют специфического лечения и со временем исчезают сами. Но в некоторых случаях рабдомиомы могут вызвать аритмию и сердечную недостаточность [15].
- Лимфангиолейомиоматоз — заболевание, при котором в лёгком образуется множество кист. Чаще оно развивается у женщин. Основной симптом — одышка [16].
- Гамартомы и полипоз желудочно-кишечного тракта — это поражения желудка, тонкой и толстой кишки, проявляющиеся болью в животе, хроническими запорами, вздутием и примесью крови в кале.
- Кисты и ангиомиолипомы печени — это поражения, которые обычно протекают бессимптомно и не увеличиваются в размерах. Их обнаруживают у 24 % пациентов с ТС (у женщин в пять раз чаще, чем у мужчин). В редких случаях, при кровоизлиянии в опухоль, ангиомиолипомы вызывают боль в правом подреберье [22].
- Опухоли костей — аномальные участки уплотнения и разрастания костной ткани. Они обычно не вызывают симптомов, поэтому часто опухоли костей находят случайно, когда проводят рентгенологическое исследование по другим показаниям.
Другие проявления
ТС также может поразить глаза, но такое состояние часто протекает бессимптомно, поэтому, если у пациента уже обнаружили гамартомы на коже или в головном мозге, ему следует пройти осмотр у офтальмолога [4].
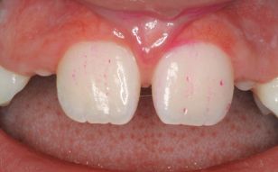
При поражении полости рта могут появиться фибромы дёсен (встречаются у 70 % взрослых и у 50 % детей с молочными и коренными зубами), гиперплазия (разрастание) дёсен и небольшие ямки на эмали коренных зубов, что особенно характерно для ТС [13][22].
![Ямки на эмали [32] Ямки на эмали [32]](/media/bolezny/tuberoznyy-skleroz/yamki-na-emali-32_s.jpeg)
Ямки на эмали [32]
Патогенез туберозного склероза
Гены TSC1 и TSC2 кодируют белки (гамартин и туберин), которые подавляют избыточный рост клеток. Но при генной мутации белки не работают. В результате клетки делятся, разрастаются и формируют опухоли [4]. Такая мутация может быть унаследована от родителей или возникнуть случайно. Опухоли могут образоваться в любой части тела.
Классификация и стадии развития туберозного склероза
Общепринятой классификации ТС пока не существует. При этом исследователи выделяют 2 типа туберозного склероза, один из которых связан с мутацией гена TSC1, а второй — с мутацией гена TSC2. Считается, что ТС 1-го типа протекает мягче, чем ТС 2-го типа [23].
Учитывая клиническую картину, условно выделяют туберозный склероз с преимущественным поражением:
- нервной системы;
- кожи;
- внутренних органов [4].
Осложнения туберозного склероза
При поражении нервной системы у пациентов возникают нейропсихические симптомы и эпилепсия, которая трудно поддаётся медикаментозному лечению. Они приводят к развитию когнитивных и поведенческих нарушений, которые значительно снижают качество жизни. Таким людям, например, сложно осваивать новые навыки, что приводит к плохой успеваемости, сложностям с овладением профессией и нередко является причиной временной или стойкой утраты трудоспособности.
Поражения внутренних органов могут привести к следующим осложнениям:
- почечной недостаточности — нарушению работы почек, при котором появляются слабость, анемия и боли в пояснице;
- нарушениям мочеиспускания — обычно наблюдается задержка мочи;
- лёгочной недостаточности — нарушению работы лёгких, которое приводит к одышке и ограничению физических нагрузок;
- полиорганной недостаточности — разрастание опухолей в лёгких, почках, сердце и головном мозге не даёт органам выполнять свои задачи, что может привести к смерти [21].
При поражении головного мозга жизнеугрожающими состояниями являются гидроцефалия и масс-эффект, при котором опухоли сдавливают соседние структуры. Основными симптомами гидроцефалии являются головная боль, тошнота, рвота, головокружение, косоглазие, нистагм, спутанность сознания, сонливость с возможным прогрессированием до комы, судорожные приступы, недержание мочи и кала. Масс-эффект обычно сопровождается головной болью, рвотой, не связанной с приёмом пищи, психическими расстройствами, судорожными приступами, снижением остроты и выпадением полей зрения, а также слабостью в руках и ногах на одной стороне тела.

Гидроцефалия
Диагностика туберозного склероза
При появлении подозрительных симптомов, характерных для ТС, необходимо немедленно обратиться к неврологу или терапевту.
Диагностика туберозного склероза включает:
- тщательный сбор жалоб и анамнеза (истории болезни);
- клинический осмотр терапевтом, неврологом, офтальмологом (при необходимости привлекают специалистов из других областей, в том числе — генетиков);
- инструментальные обследования: магнитно-резонансную томографию (МРТ) головного мозга, ультразвуковое исследование (УЗИ) органов брюшной полости и почек, эхокардиографию (ЭхоКГ), мультиспиральную компьютерную томографию (МСКТ) органов грудной клетки (все эти методы помогают обнаружить гамартомы), электроэнцефалографию (ЭЭГ) (помогает выявить очаг эпилептической активности);
- генетическое тестирование (поиск мутаций в генах TSC1 и TSC2) [12].
Научное сообщество определило первичные и вторичные признаки туберозного склероза, сочетание которых позволяет поставить возможный или точный диагноз.
Первичные (большие) признаки:
- не менее трёх ангиофибром лица или фиброзные бляшки на лбу;
- не менее трёх гипопигментных пятен на коже (не меньше 5 мм в диаметре);
- не менее двух околоногтевых фибром, появление которых не связано с травмами;
- участок «шагреневой кожи»;
- множественные гамартомы сетчатки;
- не менее трёх корковых дисплазий (корковые туберы и миграционные тракты в белом веществе головного мозга);
- не менее двух субэпендимальных узлов или одна субэпендимальная гигантоклеточная астроцитома головного мозга;
- множественные или одиночные рабдомиомы сердца;
- лимфангиолейомиоматоз;
- не менее двух ангиомиолипом почек.
Вторичные (малые) признаки:
- не менее трёх углублений в эмали зубов;
- не менее двух фибром в полости рта;
- гамартома внутренних органов;
- участок сетчатки глаза с недостаточной пигментацией;
- множественные кисты почек;
- пятна «конфетти» на коже [4].
![Пятна «конфетти» на коже [33] Пятна «конфетти» на коже [33]](/media/bolezny/tuberoznyy-skleroz/pyatna-_konfetti_-na-kozhe-33_s.jpeg)
Пятна «конфетти» на коже [33]
Точный диагноз можно поставить, если у пациента есть 2 первичных признака или 1 первичный и 2 вторичных признака. Возможный диагноз ставят, когда наблюдается 1 первичный признак (иногда совместно с 1 вторичным) или 2 и более вторичных признаков [4]. В случае неоднозначной клинической картины проводят генетическое тестирование — самый точный метод для подтверждения ТС.
Если у пациента подтвердился ТС, стоит обследовать ближайших родственников, в том числе на мутацию генов. Это позволит выявить заболевание на доклинической стадии.
Диагностика туберозного склероза связана со многими трудностями: это редкое заболевание, которое может дебютировать в любом возрасте и сопровождается симптомами, характерными для других заболеваний (например, гипопигментные пятна могут рассматриваться как проявления витилиго, эпилепсия — как самостоятельная болезнь, вызванная по неясной причине). Поражения внутренних органов тоже обнаруживают не сразу: обычно гамартомы растут медленно и долго не нарушают работу органа. Всё это может затягивать постановку диагноза и назначение верного лечения.
Лечение туберозного склероза
Полностью избавиться от ТС пока невозможно, но исследования в этом направлении продолжаются. Например, в 2012 году был зарегистрирован новый препарат — Эверолимус, который замедляет рост опухолей. Его применяют при новообразованиях в головном мозге размером более 2–3 см и при ангиомиолипомах почки, не требующих немедленного удаления [18]. Препарат зарегистрирован в России и входит в Перечень жизненно необходимых и важнейших лекарственных средств (ЖНВЛС).
Также пациентам назначают симптоматическое лечение, которое помогает контролировать состояние и улучшать качество жизни пациента. В зависимости от клинической картины врач может назначить противосудорожные препараты, средства для коррекции гипертонии и анемии, поведенческих нарушений и дерматологических проявлений. Поскольку ТС может поразить любой орган, люди с таким диагнозом должны наблюдаться у терапевта, невролога, эпилептолога, офтальмолога, кардиолога, пульмонолога, уролога, онколога, радиолога, генетика, а также у реабилитационной команды.
Активно обсуждается возможность применения кетогенной диеты. При дефиците углеводов (глюкозы) энергетический обмен переключается с углеводного на липидный, из-за чего в организме начинают скапливаться кетоновые тела (вещества, образующиеся в печени при расщеплении жиров). Повышенное поглощение кетонов мозгом положительно влияет на эпизодическую память, речь, планирование, концентрацию и скорость реакции, обработки информации. Некоторые исследования показывают, что такая диета может быть эффективной при эпилепсии, плохо поддающейся медикаментозному лечению, в том числе если она вызвана ТС. Однако сведений о результативности и безопасности данного метода ещё недостаточно, чтобы включить его в список обязательных рекомендаций [19][20][24].
Формирование рабдомиомы в детском возрасте может привести к развитию жизнеугрожающих аритмий, поэтому такие пациенты нуждаются в комбинированной антиаритмической терапии и пристальном наблюдении кардиолога и кардиохирурга. При этом операции проводят редко: увеличение сердца с возрастом и грамотно подобранное симптоматическое лечение обычно позволяют стабилизировать состояние пациента без хирургического вмешательства [15].
Хирургическое лечение
Основная цель хирургического вмешательства — контроль эпилепсии, которая не поддаётся медикаментозному лечению. Для этого пациенту могут назначить:
- Резекцию коры головного мозга — удаление одного эпилептического очага. Хотя такое лечение не может устранить причину заболевания, накапливаемый клинический опыт свидетельствует о том, что в определённых случаях операция значительно улучшает состояние пациентов с эпилепсией, вызванной ТС.
- Термоабляцию — уничтожение поражённых тканей с помощью нагревания.
- Каллозотомию — рассечение мозолистого тела. Операция может уменьшить частоту и выраженность атонико-тонических припадков, при которых быстро чередуются фазы расслабления и напряжения мышц, из-за чего пациент падает и в некоторых случаях теряет сознание. Каллозотомия улучшает состояние пациентов с эпилепсией, вызванной ТС, но редко позволяет полностью избавиться от припадков. Кроме того, такой вид лечения бесполезен при других типах приступов.
- Стимуляцию блуждающего нерва — воздействие на эпилептическую активность в ограниченных частях мозга. Она более эффективно контролирует фокальные приступы, чем генерализованные, так как воздействует локально, а не на оба полушария. Как показало исследование, у 9 из 10 пациентов с ТС и эпилепсией стимуляция блуждающего нерва позволяет снизить частоту приступов вдвое, а у каждого второго количество приступов уменьшается на 90 % [22].

Стимуляция блуждающего нерва
- Резекцию субэпендимальных гигантоклеточных астроцитом — удаление опухолей мозга. Операция требуется, если опухоль вызывает гидроцефалию или масс-эффект. Такой метод лечения связан с низким риском рецидива.
Ангиомиолипомы почек также являются показанием для проведения операции. Метод хирургического вмешательства врач подбирает индивидуально, руководствуясь основным принципом лечения — сохранить как можно больше здоровых тканей [18].
Доброкачественные новообразования кожи удаляют, если они часто повреждаются или приносят эстетический дискомфорт. Для этого используют лазерную терапию или хирургическое иссечение.
Прогноз. Профилактика
Туберозный склероз — это серьёзное заболевание, требующее своевременной диагностики и комплексного лечения. Стоит помнить, что у пациентов с туберозным склерозом риск развития злокачественных опухолей выше, чем у среднестатистического человека. Но сами доброкачественные опухоли, которые уже возникли, имеют низкий риск озлокачествления [34][35].
Современные достижения медицины позволяют эффективно контролировать симптомы и повысить качество жизни пациентов. Люди с этим заболеванием могут жить так же, как и люди без него, но для этого важно вовремя обнаружить болезнь и соблюдать все рекомендации врачей [25].
Профилактика ТС
Как предупредить развитие этой болезни, пока никто не знает, поскольку неизвестны причины мутаций в генах TSC1 и TSC2, однако учёные по всему миру ведут реестр пациентов для наблюдения и проведения исследований в области патогенетического лечения и профилактики заболевания.
Чтобы избежать развития осложнений ТС, необходимо проходить регулярные обследования, благодаря которым врачи смогут вовремя выявить жизнеугрожающие состояния.
Существуют специальные рекомендации по объёму и частоте обследований в каждом возрастном периоде [26]. Это важно, так как симптомы туберозного склероза меняются на протяжении жизни. Например, у человека нет эпилепсии или задержки развития в детстве, но он может приобрести тяжёлое заболевание почек или лёгких во взрослом возрасте.
Родители, у которых уже есть больной ребёнок, могут провести предимплантационную (если они используют ЭКО) или пренатальную генетическую диагностику, которая позволит выявить аномалию у плода [4].
Список литературы
Curatolo P., Bombardieri R., Jozwiak S. Tuberous sclerosis // The Lancet. — 2008. — № 9639. — P. 657–668.ссылка
Goodrick S. The road to Vogt's triad // Lancet Neurol. — 2015. — № 7. — P. 690.ссылка
Schwartz R. A., Fernández G., Kotulska K., Jóźwiak S. Tuberous sclerosis complex: advances in diagnosis, genetics, and management // J Am Acad Dermatol. — 2007. — № 2. — P. 189–202.ссылка
Дорофеева М. Ю., Белоусова Е. Д., Пивоварова А. М. Рекомендации по диагностике и лечению туберозного склероза // Журнал неврологии и психиатрии. — 2014. — № 3. — С. 58–74.
Webb D. W., Clarke A., Fryer A., Osborne J. P. The cutaneous features of tuberous sclerosis: a population study // Br J Dermatol. — 1996. — № 1. — P. 1–5.ссылка
Bongiorno M. A., Nathan N., Oyerinde O., Wang J. A. et al. Clinical Characteristics of Connective Tissue Nevi in Tuberous Sclerosis Complex With Special Emphasis on Shagreen Patches // JAMA Dermatol. — 2017. — № 7. — P. 660–665.ссылка
Cusmai R., Moavero R., Bombardieri R., Vigevano F. et al. Long-term neurological outcome in children with early-onset epilepsy associated with tuberous sclerosis // Epilepsy Behav. —2011. — № 4. — P. 735–739.ссылка
de Vries P. J., Wilde L., de Vries M. C., Moavero R. et al. A clinical update on tuberous sclerosis complex-associated neuropsychiatric disorders (TAND) // Am J Med Genet C Semin Med Genet. — 2018. — № 3. — P. 309–320.ссылка
Yates J. R., Maclean C., Higgins J. N., Humphrey A. et al. The Tuberous Sclerosis 2000 Study: presentation, initial assessments and implications for diagnosis and management // Arch Dis Child. — 2011. — № 11. — P. 1020–1025.ссылка
Jeste S. S., Varcin K. J., Hellemann G. S., Gulsrud A. C. et al. Symptom profiles of autism spectrum disorder in tuberous sclerosis complex // Neurology. — 2016. — № 8. — P. 766–772.ссылка
Joinson C., O'Callaghan F. J., Osborne J. P., Martyn C. et al. Learning disability and epilepsy in an epidemiological sample of individuals with tuberous sclerosis complex // Psychol Med. — 2003. — № 2. — P. 335–344.ссылка
Roach E. S., DiMario F. J., Kandt R. S., Northrup H. Tuberous Sclerosis Consensus Conference: recommendations for diagnostic evaluation. National Tuberous Sclerosis Association // J Child Neurol. — 1999. — № 6. — P. 401–407.ссылка
Scully C. Orofacial manifestations in tuberous sclerosis // Oral Surg Oral Med Oral Pathol. — 1997. — № 5. — P. 706–716.ссылка
Rakowski S. K., Winterkorn E. B., Paul E., Steele D. J. et al. Renal manifestations of tuberous sclerosis complex: Incidence, prognosis, and predictive factors // J Am Heart Assoc. — 2006. — № 10. — P. e001493.ссылка
Hinton R. B., Prakash A., Romp R. L., Krueger D. A. et al. Cardiovascular manifestations of tuberous sclerosis complex and summary of the revised diagnostic criteria and surveillance and management recommendations from the International Tuberous Sclerosis Consensus Group // J Am Heart Assoc. — 2014. — № 6. — e001493.ссылка
von Ranke F. M., Zanetti G., e Silva J. L., Araujo Neto C. A. et al. Tuberous Sclerosis Complex: State-of-the-Art Review with a Focus on Pulmonary Involvement // Lung. — 2015. — № 5. — P. 619–627.ссылка
Henske E. P., Jóźwiak S., Kingswood J. C., Sampson J. R. et al. Tuberous sclerosis complex // Nat Rev Dis Primers. — 2016. — Vol. 2. — P. 1–18.ссылка
Sampson J. R. Therapeutic targeting of mTOR in tuberous sclerosis // Biochem Soc Trans. — 2009. — Vol. 37. — P. 259–264.ссылка
Chu-Shore C. J., Major P., Camposano S., Muzykewicz D., Thiele E. A. The natural history of epilepsy in tuberous sclerosis complex // Epilepsia. — 2010. — № 7. — P. 1236–1241.ссылка
Jeong A., Nakagawa J. A., Wong M. Predictors of Drug-Resistant Epilepsy in Tuberous Sclerosis Complex // J Child Neurol. — 2017. — № 14. — P. 1092–1098.ссылка
Curatolo P., Maria B. L. Tuberous sclerosis // Handb Clin Neurol. — 2013. — Vol. 111. — P. 323–331.ссылка
Franz D. N. Tuberous Sclerosis Complex Clinical Presentation // Medscape. — 2024.
Tuberous Sclerosis // NORD. — 2023.
Fang Y., Li D., Wang M., Zhao X. et al. Ketogenic Diet Therapy for Drug-Resistant Epilepsy and Cognitive Impairment in Children With Tuberous Sclerosis Complex // Front Neurol. — 2022. — Vol. 13. — Р. 863826.ссылка
Pounders А. What is TSC? // TSC Alliance. — 2023.
Surveillance and Screening // TSA. [Электронный ресурс]. Дата обращения: 19.06.2025.
How TSC Affects the Skin // Massachusetts General Hospital. [Электронный ресурс]. Дата обращения: 19.06.2025.
Macri A., Tanner L., Kwan E. Cutaneous Angiofibroma // StatPearls. — 2024.ссылка
Tuberous sclerosis // PCDS. — 2021.
Stapp L., Combs A. Fibrous Forehead Plaque // Cutis. — 2015.
Requena L., Sangüeza O. Sebaceous Adenoma and Sebaceoma // Cutaneous Adnexal Neoplasms. — 2017. — P. 881–922.
Gosnell E. S., Krueger D., Ruck P., Buff-Lindner A. H., Horn P. S., Griffith M. Oral Manifestations and Quality of Life in Children with Tuberous Sclerosis Complex: A Descriptive Study // Pediatr Dent. — 2021. — № 2. — P. 140–144.ссылка
Francis W. White spots on your skin are not always vitiligo // Iconic Elements. — 2022.
Victorio C. M., Akron Children's Hospital Комплекс туберозного склероза // Справочник MSD. — 2023.
Дорофеева М. Ю., Страхова О. С., Катышева О. В., Осипова Э. К. и др. Туберозный склероз // Лечащий врач. — 2005. — № 8.

