Авторы
Литературный редактор:
Елизавета Отмахова
Научный редактор:
Сергей Федосов
Шеф-редактор:
Маргарита Тихонова
Вступление
В стоматологическую клинику обратилась 48-летняя женщина.
Жалобы
Пациентка хотела заменить старые ортопедические конструкции на центральных резцах (зубы 1.1, 1.2, 2.1 и 2.2), которым было уже более 7 лет, а также поменять сломанный мостовидный протез на верхней челюсти слева (зубы 2.3–2.7).
Никаких активных жалоб, например боли, у женщины не было.
Анамнез
Пациентка рассказала, что коронки ей установили более 10 лет назад.
Никаких серьёзных факторов, которые могли бы повлиять на текущее состояние зубов, не отмечала.
Обследование
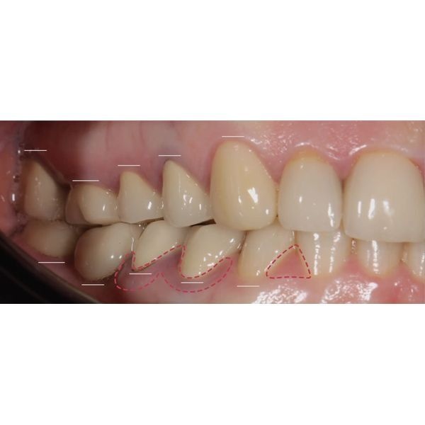
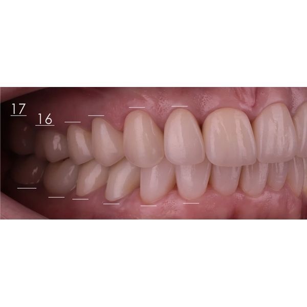
При осмотре выяснилось, что конструкции на центральных зубах хоть и выглядели эстетично, на них появились трещины и сколы, было нарушено краевое прилегание. Кроме того, у женщины наблюдалась стираемость зубов, особенно заметно стёрся нижний клык (зуб 3.3). На других зубах также присутствовали сколы.
Десневой контур был неровным, а сама десна в ряде участков выглядела нездоровой, что могло быть вызвано краевым прилеганием конструкций и неидеальной гигиеной.
Жевательные поверхности боковых зубов оставались гладкими. Это говорило о том, что у пациентки не было окклюзионных помех, которые могли бы спровоцировать проблемы с височно-нижнечелюстным суставом (ВНЧС), однако из-за отсутствия рельефа контакт между зубами-антагонистами плоскостной, а не точечный, поэтому мышцам приходилось прилагать больше усилий, чтобы пережевать пищу.
Конусно-лучевая компьютерная томография (КЛКТ) показала:
- очаги разрушения костной ткани в области корней зубов 2.7 и 1.7 — кисты, периодонтит;
- почти идеальное строение левого сустава — суставная головка округлая, с чёткими границами, но суставная щель заметно меньше нормы, т. е. челюсть смещена назад и вверх;
- изменения в правом суставе — деформация суставной головки в сочетании с узурами (эрозиями), участок перестройки костной ткани с «клювовидным» выступом, смещение головки назад;
- однородное заполнение большинства корневых каналов рентгеноконтрастным материалом.
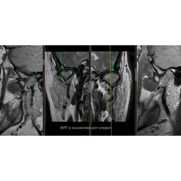
По результатам магнитно-резонансной томографии (МРТ) правого сустава:
- полное вентральное смещение суставного диска с редукцией — диск смещён вперёд, но при открытии рта суставная головка «запрыгивает» на диск;
- дистрофические изменения диска — диск начал терять эластичность и нормальную структуру;
- тенденция к перфорации промежуточной зоны диска — в средней части диска появляется риск возникновения сквозного отверстия;
- дорзальный тип установки головки мыщелкового отростка нижней челюсти — головка нижней челюсти стоит слишком далеко назад (дорзально) в суставной ямке (неправильное положение);
- остеоартроз ВНЧС 2-й степени по Kellgren — начальные дегенеративные изменения сустава.
МРТ левого сустава выявила:
- вентромедиальное смещение суставного диска с частичной редукцией — диск смещён вперёд и немного внутрь (медиально), при открывании рта он частично возвращается на место;
- компрессионный тип установки головки мыщелкового отростка — головка нижней челюсти сильно прижата к суставной ямке;
- гипермобильность головок суставных отростков — головки нижней челюсти избыточно подвижны;
- дистрофические изменения диска;
- остеоартроз ВНЧС 1-й степени по Kellgren.
Диагноз
Частичная вторичная адентия. Хронический периодонтит.
Лечение
Пациентке предложили 2 варианта лечения: заменить часть коронок и несостоятельный мостовидный протез или восстановить жевательную эффективность и эстетику, а потом поддерживать результат регулярной гигиеной. Женщина выбрала второй путь.
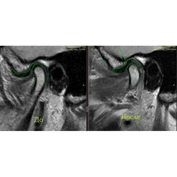
Хотя она не жаловалась на боли в мышцах и суставах, по совокупности данных планируемого лечения и рентгенологической картины было решено:
- скорректировать положение нижней челюсти — выдвинуть её вперёд и вниз, чтобы декомпрессировать суставы;
- вправить суставной диск (важно понимать, что не все вывихи суставного диска, особенно полные, поддаются вправлению, но в этом случае удалось);
- создать пространство для моделирования боковых стёртых зубов.
При моделировании будущих зубов использовались данные аксиографии: угол суставного пути (наклон ската суставной ямки), переднюю направляющую (угол наклона центральных зубов), угол окклюзионной плоскости по сфере Монсона (высота боковых зубов). После провели примерку будущих конструкций в полости рта. Когда всё согласовали (женщина скорректировала эстетические параметры — размер и форму), конструкции зафиксировали на пару месяцев и сделали контрольное МРТ. Она показала расширение суставной щели и более корректное положение суставной головки слева.
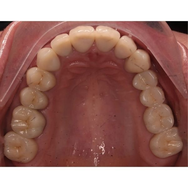
Когда суставные головки приняли нормальное положение, наступил этап изготовления постоянных конструкций. Из непротезированных зубов у пациентки остались только нижние 4 резца и 2 клыка.
Так как женщина хотела самые тонкие виниры с минимальной обработкой, ей установили ультраниры. Из-за поднятия прикуса и значительной стёртости зубов серьёзного препарирования не потребовалось, достаточно было под микроскопом сгладить острые грани и обозначить границы будущей конструкции для техника. Так удалось максимально сохранить твёрдые ткани зуба.
За весь период реабилитации пациентке:
- вылечили периодонтит и кариес;
- сделали костную и десневую пластику;
- выровняли десневой контур;
- установили 5 имплантов;
- зафиксировали коронки и виниры на все зубы.
Кроме того, за счёт поднятия прикуса и изменения наклона верхних зубов нам удалось снизить нагрузку на центральные зубы, что минимизирует риск новых сколов в будущем.
Заключение
Как показывает практика, если коронки портятся из-за перегрузки зубов, простая замена коронок на аналогичные исправит ситуацию лишь временно, т. е. в будущем на них снова появятся сколы и трещины. Поэтому важно решать проблему более глобально.
В этом случае нам удалось добиться оптимального окклюзионного контакта. На динамических и статических пробах видно плотное, равномерное смыкание всех зубов. Это не только эстетически выигрышно, но и функционально: теперь жевание стало эффективнее, а нагрузка на суставы — физиологичнее.





























