Авторы
Литературный редактор:
Елизавета Отмахова
Научный редактор:
Сергей Федосов
Шеф-редактор:
Маргарита Тихонова
Вступление
В 2022 году в стоматологическую клинику обратился мужчина с разрушенными зубами.
Жалобы
Пациент не мог нормально есть, особенно рыбу и грубое мясо (шашлык). Его также беспокоил эстетический вид зубов, мужчина стеснялся своей улыбки.
При приёме жёсткой пищи он иногда испытывал боль, еда часто попадала в места отсутствующих или разрушенных зубов.
Анамнез
Пациент учился в школе в 90-х годах. В то время он несколько раз ходил к стоматологу, и с тех пор у него напрочь отпало желание лечить зубы. Из-за этого некоторые зубы разрушились, некоторые выпали.
Наконец, мужчина осознал всю серьёзность ситуации и решился обратиться в клинику.
У его родителей не было хронических и врождённых заболеваний. С зубочелюстной системой проблемы также не возникали.
Обследование
При осмотре лицо симметричное, близлежащие лимфатические узлы подвижны и безболезненны.
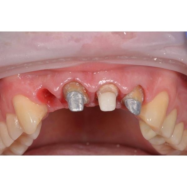
В полости рта определялось обильное количество над- и поддесневых зубных отложений, множественный кариес, дефекты пломб и разрушенные зубы. Отсутствовали два нижних левых моляра и один правый (зубы 3.6, 3.7 и 4.6.). На верхних зубах отмечались несостоятельные коронки.
КТ выявила:
- неудовлетворительную пломбировку корневых каналов некоторых зубов;
- разрушение верхнего резца (зуба 1.2) на уровне цемента корня, при этом костная ткань не разрушена;
- удовлетворительное состояние костной ткани в области отсутствующих зубов 3.6, 3.7 и 4.6.
Диагноз
Хронический апикальный периодонтит. Кариес цемента корня. Потеря зубов вследствие несчастного случая или периодонтальной болезни. Гингивит и болезни пародонта. Кариес зубов.
Лечение
На первом приёме пациенту провели профессиональную гигиену, а также направили на консультацию к двум другим стоматологам: ортопеду и терапевту. На следующих 4 визитах ему снимали несостоятельные коронки, лечили кариес, проверяли корневые каналы и подготавливали зубы к протезированию.
На 5-м посещении мужчине удалили зуб 1.2 и одномоментно провели имплантацию системой Astra-tech TX. В тот же день ему поставили имплантаты на место отсутствующих зубов, а также установили формирователи десны.
Через 10 дней после имплантации пациенту сняли швы и провели временное протезирование.
После 4 месяцев ожидания можно было приступить к протезированию циркониевыми коронками и постоянными имплантатами. Так как объём работы был большой, на это ушло ещё около месяца.
По окончании лечения все эстетические и функциональные недостатки полости рта были устранены. Мужчина остался полностью доволен своим внешним видом и больше не испытывал трудностей при приёме пищи.
Ему также объяснили, как важно периодически проходить профилактические осмотры у стоматолога и вовремя посещать пародонтолога, чтобы не допустить развитие зубных болезней.
Заключение
Этот клинический случай показывает, что современная медицина позволяет быстро, а главное — безболезненно, восстановить зубные ряды даже при запущенной ситуации. Это не только улучшает физическое состояние пациента, но также позволяет ему чувствовать себя более уверенно.




