Авторы
Литературный редактор:
Вера Васина
Научный редактор:
Сергей Федосов
Шеф-редактор:
Маргарита Тихонова
Вступление
В клинику «Триовиталь Дентал» 21 ноября 2022 года обратилась 25-летняя девушка с жалобами на потерю центрального резца и неудовлетворительный вид передних зубов.
Жалобы
Зуб был утерян после травмы 3 месяца назад. Девушка поскользнулась при катании на коньках, упала на лицо и почувствовала резкую боль в передних зубах. Затем её доставили в отделение неотложной стоматологической помощи, где удалили центральный зуб.
Поставить имплантат одновременно с удалением не было возможности из-за расположения зуба. Поэтому пришлось подождать, пока не восстановится костный дефект.
Анамнез
После падения зуб раскололся в нескольких плоскостях.
По словам девушки, наследственных заболеваний нет.
Обследование
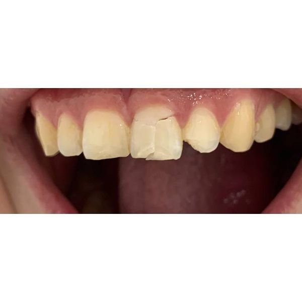
Слизистая полости рта бледно-розовая, умеренно увлажнённая, рот открывался полностью, кожа чистая, региональные лимфатические узлы не прощупывались (норма). Отсутствовал 21-й зуб, наблюдались сколы режущего края передних зубов (11, 12 и 22).
На компьютерной томографии в области потерянного зуба костный дефект не обнаружили, был заметен след восстановления костной ткани, отчётливо видны трабекулы (нормальная структура кости).
11, 12 и 22 зубы раньше не лечили, у них были сколоты режущие края без вскрытия пульповой камеры.
Диагноз
Основной диагноз: K08.1 Потеря зубов вследствие несчастного случая. Сопутствующий: S02.51 Скол коронки зуба без повреждения пульпы.
Лечение
Провели совместную консультацию со стоматологом-хирургом, где приняли решение выполнить имплантацию зуба. Установили имплантат Osstem Regular 0.4 10 мм, а также изготовили временную коронку на него для коррекции эстетики. Следующий приём назначили через 4 месяца.
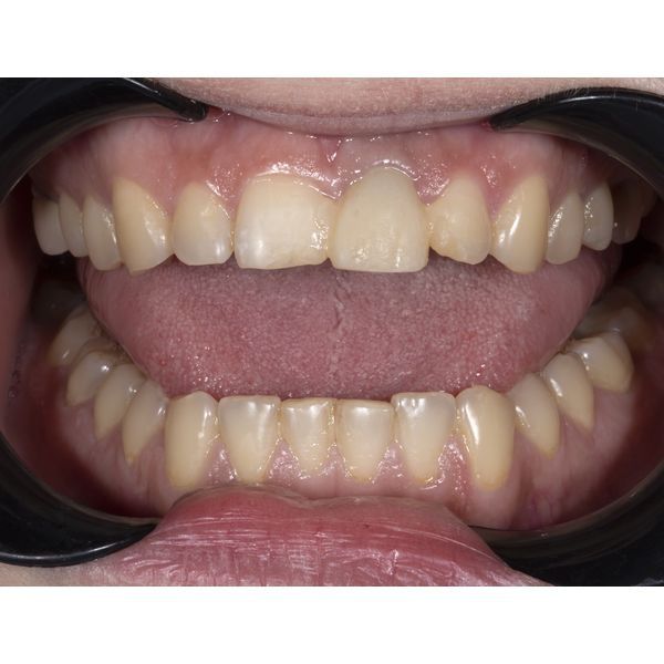
Когда имплант в кости стабилизировался, выполнили рентгенологическое исследование, чтобы оценить его приживаемость и затем провести протезированием зуба. Также предварительно отсканировали верхнюю челюсть и спроектировали будущую улыбку, далее выбрали конструкцию: циркониевую покрывную коронку с облицовкой на индивидуальном абатменте. Также провели художественную реставрацию сколотых центральных зубов с учётом заранее смоделированной улыбки пациентки.
В общей сложности потребовалось 6 приёмов, в сумме они длились 8 часов. Весь цикл лечения занял 5,5 месяцев.
За время лечения болевых ощущений не наблюдалось. В первые 3 дня после установки имплантата пациентка отмечала небольшой дискомфорт, который затем прошёл.
Девушке установили имплантат и реставрировали сколотые передние зубы. Таким образом восстановили эстетику и функцию центральных резцов.
Заключение
Этот случай показывает, что сломанный зуб не всегда получается восстановить за один приём: может потребоваться длительное, но не менее эффективное лечение. К тому же, при его планировании пациентка при планировании лечения могла увидеть финальный вид улыбки, что благоприятно повлияло на психоэмоциональное состояние и помогло выстроить продуктивные взаимоотношения с врачом.






