Авторы
Литературный редактор:
Елизавета Отмахова
Научный редактор:
Сергей Федосов
Шеф-редактор:
Маргарита Тихонова
Вступление
В стоматологическую клинику обратилась 50-летняя женщина, которой пришлось удалить несколько жевательных зубов.
Жалобы
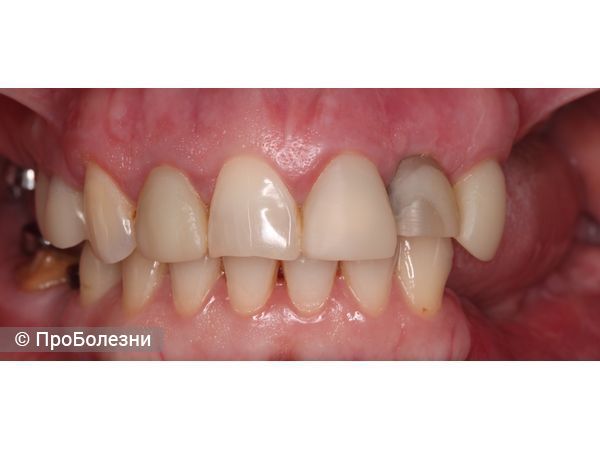
Пациентка жаловалась на разрушенность и внешний вид некоторых зубов. Её также беспокоило снижение высоты нижней трети лица.
Женщина хотела, чтобы ей изготовили несъёмную конструкцию, которая бы выглядела максимально естественно.
После удаления и разрушения зубов пациентке было тяжело жевать пищу.
Анамнез
Зубы удалили из-за осложнённого кариеса. До обращения в клинику женщина пользовалась несъёмными конструкциями: коронками и мостовидными металлокерамическими протезами, которые сняли перед удалением и лечением зубов.
Комплексное обследование ранее не проходила, профилактику кариеса не проводила.
Обследование
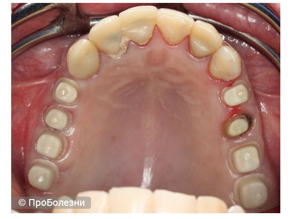
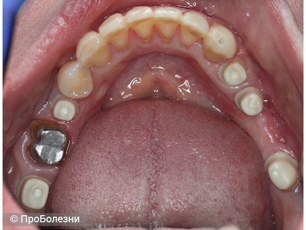
На приёме осмотрели полость рта и обследовали мышцы, отвечающие за движение нижней челюсти. У женщины не было 15 зубов: почти всех моляров (жевательных зубов) и пяти премоляров. Также осмотр выявил тенденцию к стираемости зубов и снижению высоты прикуса.
По результатам дентальной КТ:
- очаг разрушения костной ткани в области 14, 15, 22 и 46-го зубов;
- снижение ширины альвеолярного гребня в области отсутствующих зубов с обеих сторон нижней челюсти;
- уменьшение вертикального объёма костной ткани в области 15, 16, 17, 25, 26 и 27-го зубов (в области верхнечелюстных пазух справа и слева).
У пациентки сняли силиконовые оттиски, изготовили гипсовые модели челюстей, проанализировали их в артикуляторе и изготовили восковую модель всего зубного ряда обеих челюстей.
Диагноз
K08.1 Потеря зубов. K04.5 Хронический апикальный периодонтит четырёх зубов. K03.0 Повышенное стирание зубов.
Лечение
Комплексная терапия включала в себя лечение, удаление и имплантацию, а также протезирование отсутствующих зубов.
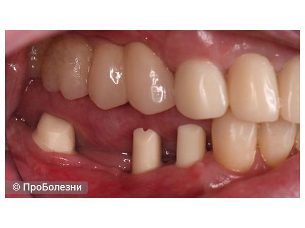
Верхний премоляр и резец (14 и 22-й зубы) сохранить не удалось из-за проблем в костной ткани. Поэтому их удалили и сразу установили импланты с временной коронкой.
Далее пациентке «нарастили костную ткань» в области отсутствующих жевательных зубов. После костной пластики прошло 6 месяцев, прежде чем материал сросся с костью. После этого на нижней челюсти поставили импланты. На верхней челюсти импланты установили в тот же день, когда нарастили костную ткань. Всего на восстановление нужного объёма костной ткани и имплантации потребовалось полтора года.
В промежутках между хирургическими операциями лечили и восстанавливали зубы, которые планировались сохранить: перепломбировали каналы 12, 21, 23 и 46-го зубов, после чего установили металлические штифтовые вкладки в качестве опор для коронок. У остальных зубов, которые планировалось восстановить керамическими коронками, нервы не удалялись, так как с зубами всё было в порядке.
После соответствующего лечения зубов и имплантации приступили к протезированию временными конструкциями. Основой для воссоздания зубных рядов стала восковая реконструкция, так называемый ваксап. Сначала подготовили дёсны, чтобы коронки на имплантах как бы «вырастали» из десны. Для этого изготовили индивидуальные формирователи десны и установили их на 3 недели.
Чтобы проверить смыкание зубов и их взаимодействие во время жевания, женщине установили временные коронки. Временное протезирование позволило изготавливать постоянные конструкции поэтапно, так как новую высоту прикуса зафиксировали на временных реставрациях.
После адаптации к временным коронкам начался завершающий этап:
- сначала изготовили и установили коронки на имплантах и зубах в жевательной области справа и слева;
- затем восстановили верхние центральные зубы безметалловыми конструкциями;
- в конце изготовили и установили тонкие керамические несъёмные накладки (виниры) на нижние центральные зубы (от клыка до клыка).
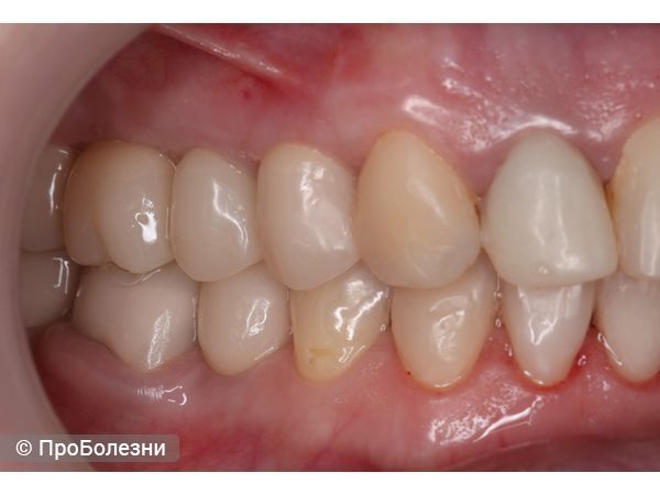
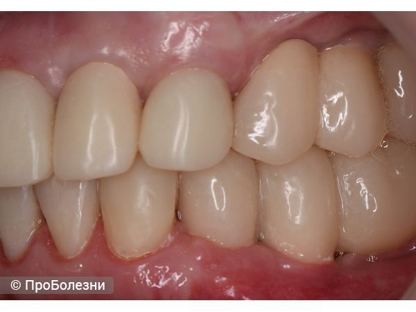
Коронки и мостовидный протез сделали на основе диоксида циркония с опорой на импланты Ankylos (Германия). Чтобы восстановить твёрдые ткани зубов верхней челюсти, выбрали коронки на основе диоксида циркония и дисиликата лития, на нижней — виниры на основе дисиликата лития с нанесением керамики и коронку на основе диоксида цикрония. Все коронки безметалловые.
В целом процесс лечения длился примерно 2 года:
- диагностический этап;
- хирургический этап (восстановление костной ткани, имплантация и пластика мягких тканей) — год и 6 месяцев;
- терапевтический этап (лечение зубов) — месяц;
- ортопедический этап (временное и постоянное протезирование) — по 3 месяца.
Все этапы пациентка переносила хорошо, так как понимала план лечения и была положительно настроена.
Чтобы достичь результата, потребовалось сотрудничество стоматолога-ортопеда, стоматолога-терапевта, хирурга-имплантолога, ассистента стоматолога и зубного техника.
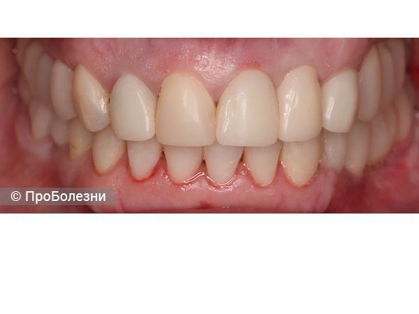
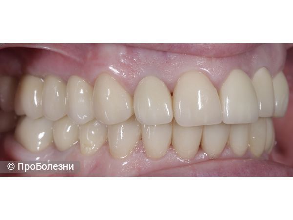
Была проделана сложная работа, которая требовала глубоких знаний в области протезирования: были задействованы импланты и зубы, а в центральном отделе верхней челюсти использовали разнородные опоры под коронками. В результате женщине восстановили зубо-челюстную систему, восстановили все зубы и высоту прикуса. Пациентка была полностью довольна внешним видом.
Кстати, один зуб во время лечения совсем не трогали. Можно попытаться его найти на фотографиях.
Заключение
Потеря зубов нарушает работу всей системы, в которую входят кости челюстей, мышцы, височно-нижнечелюстные суставы и мягкие ткани. Чтобы предотвратить эти нарушения, необходимо заместить все отсутствующие зубы.
При планировании имплантации необходимо учитывать месторасположение имплантов в зависимости от выбранной ортопедической конструкции, объёма костной ткани и времени после удаления зубов.
Если лечение предполагает масштабное восстановление зубных рядов с поднятием прикуса, перед постоянным протезированием необходимо установить временные коронки. Это позволит пациенту адаптироваться к новым условиям: научиться жевать новыми зубами и привыкнуть к новой высоте прикуса. Если же пациенту не понравится, как выглядит его новая челюсть, намного проще вносить изменения на материалах для временного протезирования.












