Авторы
Литературный редактор:
Елизавета Отмахова
Научный редактор:
Сергей Федосов
Шеф-редактор:
Маргарита Тихонова
Вступление
В стоматологию «Ренидент» в Кудрово обратилась 40-летняя женщина с переломом переднего зуба.
Жалобы
Когда пациентка надкусывала пищу, появлялась боль и из десны выделялась кровь. Она также отмечала подвижность коронки. Иногда зуб «ныл» вне зависимости от внешних факторов.
Обезболивающие препараты притупляли боль. Чтобы избегать резких болезненных ощущений, женщина пыталась не жевать поражённым зубом.
Анамнез
Симптомы появились примерно за 2 месяца до визита. Однажды во время приёма пищи пациентка услышала хруст, после чего почувствовала резкую боль и смещение коронки.
Всё это время она не обращалась за стоматологической помощью, но постепенно самочувствие ухудшалось. В клинику попала уже в период обострения.
Около 2 лет назад женщина лечила трещину в другой больнице. Тогда зуб восстановили металлической внутрикорневой вкладкой и циркониевой коронкой.
Общий анамнез без особенностей.
Обследование
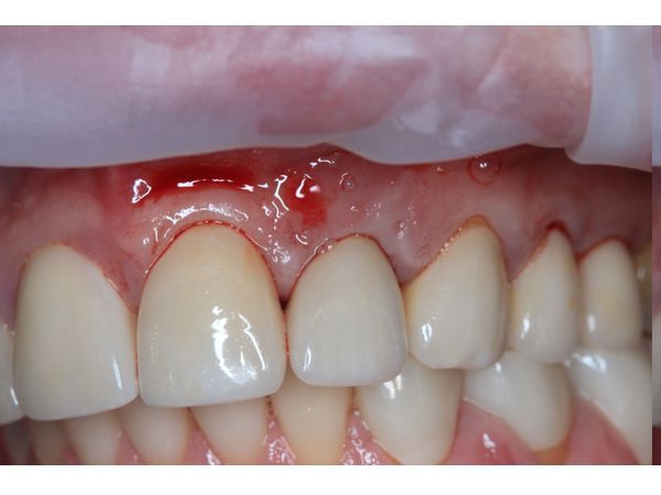
При осмотре отмечалась подвижность коронковой части зуба. На внешней стороне десны определялось отверстие, из которого при надавливании сочилась кровь.
По результатам компьютерной томографии челюстей:
- атрофия и разрушение вестибулярной кортикальной пластинки;
- вертикальный перелом корня зуба.
Диагноз
Вертикальный перелом зуба.
Лечение
Пациентке сделали анестезию и сформировали микрохирургический доступ для удаления зуба и установки дентального импланта в оптимальную ортопедическую позицию. В зоне дефекта одна треть импланта осталась обнажённой.
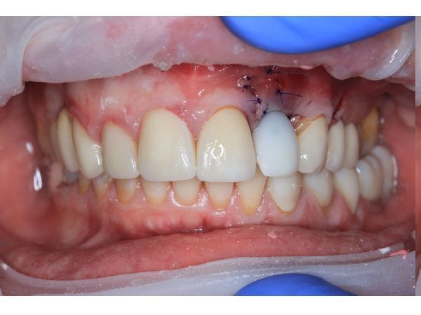
Отсутствующую кортикальную пластинку реконструировали с помощью тройного трансплантата из зоны бугра верхней челюсти (забор произвели на стороне вмешательства). Чтобы зафиксировать трансплантат, его утрамбовали в зону дефекта.
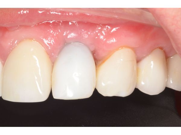
Одновременно с этим изготовили временную коронку из пластмассы на титановом основании.
В течение первых трёх дней после лечения пациентка отмечала лёгкие болевые ощущения в зоне операции, поэтому женщина принимала нестероидные противовоспалительные препараты. Спустя 3 дня боль прошла, но сохранялся лёгкий дискомфорт. Через неделю дискомфорт также исчез.
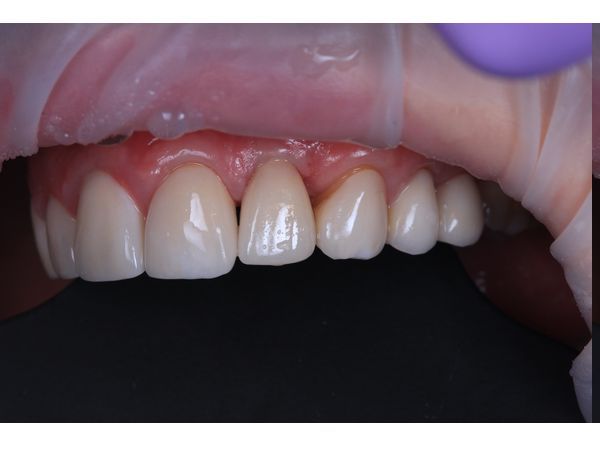
Через 3 месяца после интеграции импланта временную коронку заменили на постоянную циркониевую коронку.
По результатам повторной компьютерной номограммы, вестибулярная кортикальная пластинка и объём костной ткани восстановились. Пациентка ни на что не жаловалась. Внешний вид её полностью устроил.
Заключение
Этот клинический случай показывает, что в отличие от отсроченной имплантации с наращиванием костной ткани, методика немедленной реконструкции зоны дефекта тройным трансплантатом позволяет одномоментно установить имплант и изготовить временную конструкцию сразу же на первом приёме. Это сокращает количество хирургических манипуляций и улучшает самочувствие пациента.
К преимуществам этой методики также можно отнести сохранение анатомических образований, что повышает эстетический результат и благоприятно сказывается на долгосрочных перспективах такого лечения.










