Авторы
Литературный редактор:
Юлия Липовская
Научный редактор:
Сергей Федосов
Вступление
В декабре 2016 года в клинику «Мегаполис Дент» в Санкт-Петербурге обратился пациент А. с желанием решить проблемы с зубами, которые накопились за последние несколько лет.
Жалобы
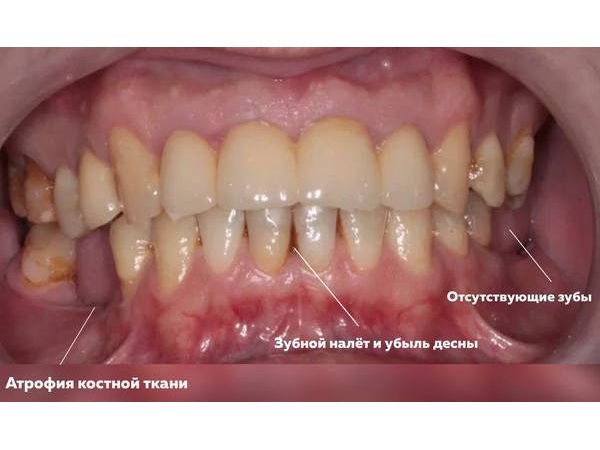
Мужчина жаловался на отсутствие части зубов, плохое состояние оставшихся, застревание еды между зубами и невозможность пережёвывать твёрдую пищу.
Пациент не ставил задачи сделать яркую голливудскую улыбку, в результате он хотел вылечить зубы.
Анамнез
Комплексное стоматологическое лечение ему никогда не проводилось. Последний раз у стоматолога, до этого визита, был 5 лет назад. В тот раз лечение не завершил.
10 лет назад был установлен мостовидный протез на верхние четыре резца. К моменту обращения пациент отмечал минимальную подвижность протеза.
У стоматолога наблюдался нерегулярно.
Обследование
При осмотре рот открывался полностью.
Патологии прикуса не было, но наблюдались вторичные деформации — два жевательных зуба справа (верхний и нижний) сместились в сторону удалённых.
Пародонтальных карманов (полостей между зубами и дёснами) не было. Гигиена полости рта неудовлетворительная. Над дёснами образовался мягкий налёт и зубные камни.
Под старыми пломбами был кариес. Часть зубов невозможно было спасти, они требовали удаления.
Перед началом лечения сняли оттиски, чтобы создать диагностические модели и проанализировать положение зубов. Сделали компьютерную томографию (КТ) верхней и нижней челюсти, чтобы оценить состояние имеющихся зубов и спланировать имплантацию в зоне, где их не было. Провели полный фотопротокол по международному стандарту.
Диагноз
K08.1 Потеря зубов из-за несчастного случая, удаления или локальной периодонтальной болезни.
K02.9 Кариес зубов неуточнённый.
K07.3 Аномалии положения зубов.
Лечение
Лечение было комплексным и включало участие всех специалистов клиники: терапевта-микроскописта, ортодонта, ортопеда и хирурга — пародонтолога-имплантолога.
Пациенту удалили разрушенные зубы, перелечили те, которые можно было спасти, сделали костную пластику, несколько имплантаций и частичное лечение на брекет-системе. Последним этапом провели протезирование с опорой на зубы и имплантаты.
Подробности лечения:
- Сначала мужчине сделали профессиональную гигиену (чистку) и удалили несостоятельные зубы.
- После этого терапевт успешно пролечила каналы в 10 зубах из-за необратимых поражений пульпы (нервов). Затем на зубы установили промежуточные пластмассовые коронки.
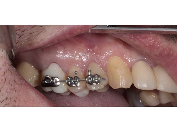
- Ортодонт зафиксировала частичную брекет-систему на боковые зубы и создала место для установки имплантатов.
- Хирург-имплантолог поэтапно провела костную пластику и имплантацию. В результате мы смогли установить пять имплантатов в участках, где изначально был дефицит костной ткани.
- Когда имплантаты прижились, на них установили промежуточные пластмассовые коронки.
- Перед заменой пластмассовых коронок на керамические безметалловые провели полную эстетическую и функциональную диагностику. По её результатам в форму пластмассовых коронок внесли изменения.
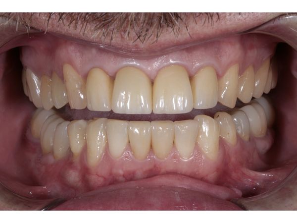
- Пластмассовые коронки заменили на безметалловые керамические.
В итоге получилось полностью восстановить зубы и их эстетику: отсутствующие — восстановили при помощи имплантатов; смещённые — вернули на место; разрушенные — восстановили коронками и винирами.
Пациент теперь настолько дорожит здоровьем зубов, что очень тщательно выполняет все рекомендации по самостоятельному уходу. Поэтому, когда он приходит на контрольные осмотры, у него даже чистить нечего! Уровень гигиены отличный.
Заключение
Этот клинический случай показывает возможности современной стоматологии при работе в команде. Удалось полностью вылечить пациенту зубы и восстановить здоровье полости рта.
Также в процессе лечения пациента мотивировали на качественный уход за зубами и дёснами, что дало стабильный результат даже через 3 года после лечения.







