Авторы
Литературный редактор:
Елизавета Отмахова
Научный редактор:
Сергей Федосов
Шеф-редактор:
Маргарита Тихонова
Вступление
В клинику обратилась пациентка для санации рта перед лечением прикуса, протезированием и имплантацией.
Жалобы
Женщина рассказала, что жевательные зубы пожелтели и стали разрушаться, в них начали попадать кусочки пищи, что приносило дискомфорт. Кроме того, на жевательных зубах стояли плоские пломбы.
Неприятные ощущения усиливались при чистке зубов и приёме пищи, особенно если она была горячей или холодной. После чистки зубов и использования ирригатора пациентке становилось легче.
Анамнез
Кариес и дефекты на пломбах жевательных зубов появились более года назад. Потом пломбы начали выпадать, что спровоцировало застревание пищи в зубах. Десна под пломбами стала разрастаться и реагировать на раздражители. Месяц назад жевательные зубы начали сильно болеть.
Последнее лечение у стоматолога было два года назад.
У родителей пациентки также был кариес, из-за чего они лишились зубов. Сама женщина живёт в хороших условиях.
Обследование
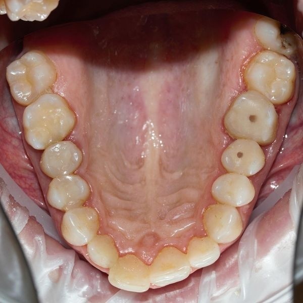
Осмотр жевательных зубов выявил:
- кариес и полости;
- дефектные пломбы с острыми краями;
- разрастание десны;
- зубной налёт и камни.
Прощупывание болезненных ощущений не вызвало, асимметрии лица не было, рот открывался нормально.
По результатам зондирования:
- инструмент застревал и вызывал сильную боль;
- десна кровоточила;
- между десной и зубами образовались патологические карманы.
3D-томография показала:
- кариес под пломбами находился глубоко;
- нервы располагались близко к кариесу;
- между жевательными зубами и десной образовались карманы по 2–4 мм;
- корни зубов не разрушены.
Диагноз
Лечение
После обезболивания и изоляции зубов их отполировали, удалили пломбы и кариес. После дезинфекции и высушивания поставили пломбы и послойно отреставрировали зубы. Каждый слой засветили со всех сторон по 20 секунд. В конце пломбы отшлифовали и отполировали, после чего покрыли фторлаком, защищающим эмаль. На каждый зуб (их было два) ушло по 2 часа. Лечение проходило в течение месяца.
Уже после первого этапа лечения появились улучшения:
- боль уменьшилась;
- интенсивность реагирования на раздражители понизилась;
- пища стала реже застревать.
Через месяц после завершения лечения пациентка отметила, что чувствует себя хорошо и приём пищи больше не вызывает неприятных ощущений. Ей назначили контрольный осмотр через полгода с учётом годовой гарантии. Со временем провели имплантацию, протезирование и выровняли прикус.
Заключение
Случай показывает, насколько важно проводить санацию полости рта перед прочими процедурами. Если бы пациентка отложила лечение, кариес мог бы проникнуть глубже, что привело бы к развитию осложнения — пульпиту.
В постановке диагноза важную роль сыграла 3D-томография: с её помощью удалось наверняка определить, что поражён только дентин и нервы зубов не задеты, хоть и находятся близко к кариесу. Это позволило подобрать подходящую тактику лечения и вовремя удалить кариес.







