Авторы
Литературный редактор:
Елизавета Отмахова
Научный редактор:
Сергей Федосов
Шеф-редактор:
Маргарита Тихонова
Вступление
1 июля 2024 года в стоматологическую клинику «Зубная Фея» обратились родители 3-летнего ребёнка с множественным кариесом временных зубов.
Жалобы
По словам матери и отца, малыш часто жаловался на боль, когда ел сладкое. На холодную, твёрдую или кислую пищу реакции не было.
В питании ребёнка преобладал множественный перекус: он часто ел печенье и пряники, любил сок.
Боль проходила сразу же после устранения раздражителя.
Анамнез
Впервые подозрительные пятна на зубах родители заметили год назад, но не придали этому большого значения. Примерно за полгода до обращения в клинику малыш начал жаловаться на дискомфорт во рту.
Пациент — 4-й ребёнок в семье. Хронических заболеваний и аллергии на лекарственные препараты у него нет.
Родители отметили, что малыш чистит зубы не постоянно и меньше двух минут, при этом редко разрешает взрослым ему помочь.
У старших детей проблем с зубами не было.
Обследование
При осмотре лицо симметричное, кожа чистая. Близлежащие лимфатические узлы не прощупывались, рот открывался свободно.
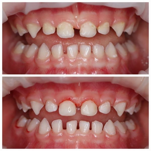
Слизистая полости рта бледно-розового цвета. Половина зубов (11 из 20) была поражена кариесом.
Чтобы уточнить диагноз, также провели рентгенологическую диагностику.
Диагноз
Кариес дентина, зубные отложения.
Лечение
Учитывая возраст ребёнка, было решено провести лечение под комбинированным эндотрахеальным наркозом с помощью препарата Севоран.
Далее в ходе процедуры малышу:
- провели профессиональную гигиену рта по современным швейцарским протоколам GBT: удалили мягкий пигментированный налёт с поверхности зубов;
- изолировали поражённые зубы системой коффердам, чтобы во время лечения из полости рта не просачивалась влага;
- удалили мёртвые ткани;
- механически и медикаментозно обработали кариозные полости;
- нанесли протравочный гель, чтобы улучшить соединение зубов с пломбой, затем тщательно его смыли и высушили полость;
- нанесли адгезив (клей для пломб) и засветили его в течение 10 секунд;
- восстановили жевательную поверхность зубов с помощью пломбы из светоотверждаемого композитного материала;
- сняли систему коффердам, проверили и откорректировали пломбы;
- отшлифовали и отполировали поверхность пломб.
Лечение длилось 2 часа, во время которого ребёнку отреставрировали все поражённые зубы. После окончания всех манипуляций он ещё в течение часа находился под наблюдением анестезиолога. При полном пробуждении малыша родителям дали соответствующие рекомендации и подобрали индивидуальные средства гигиены: зубную щётку, монопучковую зубную щётку, зубную нить и пасту.
Через 2 недели ребёнок должен был прийти на контрольный осмотр. Следующий сеанс профессиональной гигиены назначали через 3 месяца.
Заключение
Этот клинический случай показывает, что, несмотря на большой родительский опыт, не всегда взрослые знают, когда и при каких проявлениях им нужно обращаться к стоматологу.
Ранняя профилактика кариеса у детей играет важную роль в сохранении стоматологического здоровья. Для этого необходимо проводить полноценный гигиенический уход сразу же после прорезывания временных зубов. Это также позволит снизить риск развития осложнений после того, как у ребёнка появятся постоянные зубы.




