Определение болезни. Причины заболевания
Болезнь Пика (Pick's disease) — это хроническое, медленно прогрессирующее заболевание центральной нервной системы, поражающее преимущественно лобные и височные отделы головного мозга. Проявляется когнитивным расстройством, т. е. ухудшением внимания, памяти, речи и восприятия по сравнению с исходным индивидуальным и средним возрастным уровнем. Всё это приводит к постепенной деградации личности, изменениям в поведении и, как следствие, проблемам в обучении, работе, общении и быту [1].

Доли мозга, страдающие при болезни Пика
Болезнь Пика относится к группе лобно-височных деменций. Всего таких заболеваний насчитывается около 15. В настоящее время термин «болезнь Пика» используют более широко, понимая под ним любые случаи лобно-височной деменции. Проявления различных заболеваний этой группы очень схожи, поэтому установить точный диагноз можно только по результатам генетического обследования или морфологически, т. е. при исследовании образцов ткани мозга [18].
Своё название заболевание получило по фамилии чешского врача Арнольда Пика, который первым описал его симптомы в 1892 году [2].
Распространённость
По частоте заболевание уступает более известной болезни Альцгеймера и встречается примерно у 4 человек на 100 тыс. населения [3].
Считается, что болезнь обычно начинается в 45–65 лет, но в мировой практике наблюдалось и более раннее начало — около 30 лет, в то время как болезнь Альцгеймера обычно развивается позже — после 55 лет [14][16].
Причины болезни Пика
В основе этого заболевания лежит нейродегенеративный процесс — гибель определённых групп нервных клеток головного мозга, что со временем приводит к уменьшению объёма лобных и височных долей. Точная причина этого процесса пока неизвестна, к факторам риска можно отнести наследственность (наличие болезни Пика у близких кровных родственников) и мутации в некоторых генах, кодирующих белок тау и влияющих на образование телец Пика в нейронах.
К предрасполагающим фактором можно отнести:
- нейроинфекции (вирусные и бактериальные, например менингит или энцефалит);
- интоксикации (злоупотребление алкоголем и его аналогами, отравление угарным газом);
- оксидативный стресс (например, при других нейродегенеративных заболеваниях, а также на фоне сердечно-сосудистой патологии или онкологического процесса).
Однако влияние на развитие болезни Пика вышеперечисленных факторов, как и перенесённых операций на головном мозге, черепно-мозговых травм, наркоза или психических заболеваний, научно не доказано.
Симптомы болезни Пика
Клинические проявления могут быть очень разнообразными. Выделяют две основные формы болезни: поведенческую и речевую.
В целом у человека с болезнью Пика нарушается и речь, и поведение, но симптомы одной группы, как правило, преобладают над проявлениями другой. Однако в обоих случаях признаки болезни появляются и прогрессируют постепенно, а со временем человек перестаёт осознавать, что болен.
Поведенческая форма
Основные симптомы этой формы — выраженные нарушения поведения, которые проявляются в виде утраты манер или внешнего приличия, сексуальной несдержанности, социально неуместных, импульсивных, необдуманных или непредусмотрительных поступков, например человек может публично раздеваться, трогать или целовать незнакомых людей.
Также часто отмечаются волевые нарушения в виде апатии или нежелания что-либо делать. Пациенты могут стать неопрятными, пренебрегать личной гигиеной, разбрасывать мусор. Характерным признаком является утрата социальных навыков (человек становится замкнутым), эмпатии (нарушается способность к состраданию), снижается отзывчивость к чувствам и потребностям близких людей. Например, он перестаёт воспринимать чужие личные границы, учитывает только свои интересы и потребности, становится равнодушным к чужой боли или горю. Также могут возникать признаки ранее несвойственного ритуального и стереотипного поведения, например пациент может постоянно раскачиваться, сжимать губы, чмокать, похлопывать руками, топать ногами, растирать или пощипывать кожу, одежду и т. д.
Эта форма болезни Пика может также проявляться изменением пищевого поведения с появлением нетипичных ранее пищевых пристрастий, например переедания, повышенной тяги к алкоголю и курению, употреблением несъедобных предметов [4].
При всём этом сохраняется эпизодическая память и зрительно-пространственные функции: пациент может сам почистить зубы, полить цветы, знает, где находится кухня, и т. д. Благодаря этому он может оставаться самостоятельным в быту. Также обрывочно он помнит некоторые факты из профессиональной и личной жизни.
Примерно у половины пациентов с поведенческой формой болезни Пика через несколько лет от начала заболевания начинают появляться симптомы поражения двигательного нейрона, что проявляется нарушением артикуляции, глотания, парезами (снижением силы мышц) и, как следствие, нарушением ходьбы [18].
Речевая форма
Ведущим симптомом является выраженный дефект речи, который значимо влияет на повседневную активность пациента. При этом серьёзные поведенческие нарушения чаще всего отсутствуют. Основным симптомом будет афазия — нарушение речи разной выраженности.
Проявления речевой формы могут быть очень разнообразны. Иногда родственники пациента могут замечать за ним только снижение темпа речи, заикание, «запинки». Могут наблюдаться парафазии — замена близких по звучанию слов, например «лодка» — «ложка». В речи становится меньше прилагательных и наречий, человек начинает использовать более общие понятия ( «они», «вещи», «эти») вместо конкретных имён или названий предметов. Часто происходит замена слов в пределах тематики, так «лев» может стать «волком», а «телевизор» — «холодильником».
У таких пациентов речь становится сильно замедленной, монотонной, неэмоциональной, с ограниченным набором слов — так называемый «телеграфный стиль». Часто человек не может цокать, свистеть и облизывать губы языком.
При этом пациент может долгое время всё так же понимать слова и названия предметов. В конце заболевания формируется мутизм — полная утрата способности отвечать на вопросы и в целом разговаривать.
Патогенез болезни Пика
В основе развития заболевания лежит гибель клеток лобной и височной долей головного мозга. Именно она приводит к постепенному уменьшению структур этих отделов и развитию вышеописанных симптомов.
Почему же у некоторых людей развивается этот недуг, а кого-то обходит стороной? Более половины случаев заболевания случайны, но около 40 % имеют семейную историю слабоумия и психических заболеваний, а примерно 10 % случаев носят аутосомно-доминантный характер, т. е. прослеживаются в каждом поколении семьи. Всё это свидетельствует о значимости в развитии заболевания генетического фактора [5].
Наиболее часто при болезни Пика выявляют мутации в генах, отвечающих за кодировку белка тау (Microtubule-associated protein tau, MAPT). Этот белок часто встречается в нейронах центральной нервной системы. При повреждении гена MAPT нарушается нормальное образование этого белка. Из-за этого в клетках головного мозга откладывается дефектный тау-белок, что формирует тельца Пика — отёчные ахроматические нейроны. Отложение белка амилоида, характерное для болезни Альцгеймера, при этом заболевании не отмечается.
Также выделяют и другие гены, ответственные за проявления симптомов болезни Пика: кодирующие белок програнулин (PGRN), ДНК-связывающий протеин TDP-43 (TARDBP), белок, ассоциированный с саркомой (FUS), а также мутация в гене C9ORF72. Выявлено, что одни и те же изменения в геноме у разных людей могут лежать в основе различных неврологических заболеваний или же их сочетания, например некоторые гены, связанные с лобно-височной деменцией, также вовлечены в развитие бокового амиотрофического склероза [6].
Классификация и стадии развития болезни Пика
Как уже упоминалось выше, лобно-височная деменция, в том числе болезнь Пика, в зависимости от проявлений делится на две основные группы: поведенческую и речевую (первично-прогрессирующую афазию). Причём первая группа встречается чаще второй [16].
Также лобно-височную деменцию классифицируют с учётом генетического дефекта. Но для применения этой классификации необходима молекулярная диагностика, что в клинической практике не проводится. Такая классификация не влияет на тактику лечения и используется пока только в научных целях для исследования болезни [7].
В одной из таких классификаций выделяют 4 типа лобно-височной деменции (ЛВД):
Осложнения болезни Пика
Основной причиной тяжёлого течения заболевания является неспособность нейронов головного мозга восстановиться после гибели, что приводит к полному распаду личности: человек становится совсем другим, непредсказуемым и неадекватным, перестаёт контролировать свои мысли и действия. Постепенно утрачивается способность к самообслуживанию, возникают выраженные двигательные нарушения (глотания, мышц дыхательной мускулатуры, парезы рук и ног), из-за чего ему требуется круглосуточное наблюдение и уход [2]. Также это может увеличить риск развития пневмонии и дыхательной недостаточности, из-за которых пациент может умереть [14].
При менее выраженных двигательных нарушениях человек может упасть и серьёзно травмироваться [14].
Иногда может возникнуть делирий — острое угрожающее жизни состояние, при котором наблюдается спутанность сознания в виде галлюцинаций, бреда и других проявлений. В таких случаях требуется неотложная медицинская помощь.
Диагностика болезни Пика
Основным «инструментом» при диагностике заболевания является интервью — профессионально построенный сбор анамнеза (истории болезни) и жалоб. Такая беседа структурирована, во время неё доктор направляет пациента давать развёрнутые ответы, что позволяет оценить различные аспекты речи. Но у больных с поведенческой формой лобно-височной деменции это может быть затруднено из-за того, что они плохо осознают собственное заболевание и у них снижена самокритика. Зачастую они отрицают у себя какие-либо нарушения. Поэтому важнейшую роль здесь играет беседа с родственниками.
При общении с пациентом врач обращает внимание на его поведение: импульсивность и отвлекаемость, инертность или расторможенность, например собирание предметов со стола или неадекватное поведение по отношению к доктору.
В случае преобладания в клинической картине речевых нарушений пациент более критичен к своему дефекту и даже может жаловаться на нарушение памяти, подразумевая «забывчивость на слова».
Для удобства разработаны специальные шкалы, позволяющие выявить разные типы нарушений памяти, поведения и мышления.
В таких тестах могут быть следующие вопросы:
- ведёт ли пациент самостоятельно финансовые дела, контролирует ли поступление денег и расходы;
- способен ли самостоятельно заполнять необходимые документы;
- способен ли самостоятельно покупать в магазине продукты, одежду, необходимые для дома товары;
- принимает ли время от времени участие в семейных развлечением, занимается ли своим хобби;
- способен ли самостоятельно нагреть воду, заварить чай или кофе;
- готовит ли себе еду в полном объёме;
- запоминает ли текущие события;
- способен ли читать книги, смотреть телепередачи, читать книги, понимать и обсуждать их содержимое;
- помнит ли семейные даты, праздники, время приёма лекарств;
- способен ли самостоятельно перемещаться, ездит ли на общественном транспорте.
Каждый пункт оценивается от 0 до 4 в зависимости от способности пациента справляться с задачей. Опросник могут заполнить родственники или сам пациент.
Всё перечисленное выше входит в нейропсихологическую диагностику.
Чтобы оценить наследственную предрасположенность, врач уточнит, встречались ли в семье случаи прогрессирующих изменений поведения, слабоумия и двигательных нарушений [8].
Лабораторная диагностика направлена на исключение:
- метаболических нарушений (гипотиреоза, дефицита витамина В12, фолиевой кислоты);
- нейроинфекций (ВИЧ, сифилиса, гепатитов, боррелиоза);
- аутоиммунных заболеваний мозга;
- болезней накопления (мукополисахаридоза, болезни Фабри, болезни Ниманна — Пика).
Кроме того, исследование крови и цереброспинальной жидкости (ликвора) позволяет выявить биомаркер, показывающий уровень тау-протеина и воспалительных цитокинов.
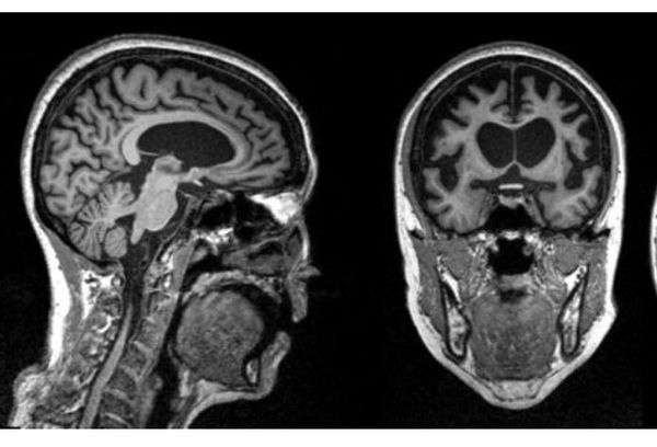
Что же касается инструментальных методов исследования, то всем пациентам с подозрением на болезнь Пика показано МРТ головного мозга, также при возможности целесообразно пройти ПЭТ-КТ. При этом заболевании выявляется диффузная атрофия лобных или лобно-височных отделов головного мозга. Этот признак относится к обязательным критериям для постановки диагноза. Он позволяет отличить болезнь Пика от других психиатрических (например, депрессии, биполярного расстройства, шизофрении) и неврологических заболеваний (болезни Паркинсона, деменции с тельцами Леви). Также КТ или МРТ помогут исключить такие причины симптомов, как патологические очаговые изменения (например, гематомы или участки повреждения после инсульта) и объёмные образования [9].
![МРТ головного мозга пациентки 50 лет с диагнозом болезнь Пика. На снимках прослеживается выраженная атрофия лобной и височной долей [2] МРТ головного мозга пациентки 50 лет с диагнозом болезнь Пика. На снимках прослеживается выраженная атрофия лобной и височной долей [2]](/media/bolezny/bolezn-pika/mrt-golovnogo-mozga-pacientki-50-let-s-diagnozom-bolezn-pika-na-snimkah-proslezhivaetsya-vyrazhennaya-atrofiya-lobnoy-i-visochnoy-dolyay-2_s.jpeg)
МРТ головного мозга пациентки 50 лет с диагнозом болезнь Пика. На снимках прослеживается выраженная атрофия лобной и височной долей [2]
Кроме того, пациентам с двигательными нарушениями может быть показана игольчатая электромиография. Она проводится, чтобы исключить болезнь мотонейрона (к этой группе заболеваний относится, например, боковой амиотрофический склероз).
Лечение болезни Пика
Лечение таких пациентов — это работа команды специалистов: не только психиатра и невролога, но и клинического психолога или психотерапевта. Важно, чтобы терапия была комплексной и в процесс реабилитации вовлекались близкие пациента. Чем раньше от дебюта заболевания начато лечение, тем более эффективным и стойким будет результат.
Необходимо понимать, что излечиться от этого заболевания нельзя. Цель терапии — замедлить развитие болезни и дать возможность пациенту как можно дольше оставаться автономным в быту. Может проводиться медикаментозное и немедикаментозное лечение. Но, к сожалению, эффективность лекарственной и симптоматической терапии при лобно-височной деменции пока не доказана.
Немедикаментозное лечение
Больший акцент делается на немедикаментозные методы лечения, именно они показывают высокую эффективность. К ним относится психотерапия, логопедический тренинг и стратегии, направленные на компенсацию утраченных функций [10]. Чтобы замедлить течение болезни, врач может также порекомендовать физиотерапию и занятия ЛФК [14].
В начале лечения в качестве когнитивно-поведенческой терапии доктор может предложить пациенту вернуться к его прежним хобби. Согласно наблюдательным исследованиям, переключение внимания зачастую позволяет значительно уменьшить неподходящее ситуации поведение, снизить импульсивность и расторможенность. Некоторые исследования показывают эффективность «рутинизации поведения», когда поведенческие и двигательные стереотипы заменяются более подходящими в ответ на провоцирующий стимул [1]. В этом случае очень важной задачей для родственников и ухаживающих людей будет выявить такие нарушения и понять, что их провоцирует. От близких пациента потребуется готовность вовлекаться в процесс лечения, анализировать поведенческие нарушения, понимать их алгоритм и выявлять пусковой фактор, чтобы в последующем предотвратить его.
При прогрессировании болезни важно создать дома безопасные условия, чтобы пациент мог заниматься привычными делами, насколько это возможно [14].
Медикаментозная терапия
Чаще всего назначают:
- Мемантин — направлен на стабилизацию состояния и замедление нарушений памяти [11][12];
- антидепрессанты класса СИОЗС (например, Тразодон) — используются для коррекции поведенческих нарушений;
- нейролептики — применяются при более выраженных поведенческих и психопатических нарушениях.
Часто их назначают в комбинации. Лечение ни в коем случае не должно начинаться или заканчиваться самостоятельно по выбору пациента и/или его родственников, так как это может привести к быстрому прогрессированию заболевания и проявлению новых симптомов. Терапию подбирает лечащий врач с учётом особенностей пациента, а также предпочтений родственников, их готовности участвовать в лечении.
Нужно знать, что ингибиторы холинэстеразы, которые обычно назначают при болезни Альцгеймера, наоборот могут усугубить поведенческие нарушения при болезни Пика [14]. Поэтому важно, чтобы врач провёл тщательное обследование, а при трудностях с диагностикой вовремя заметил нарушения и назначил правильное лечение.
Прогноз. Профилактика
Болезнь Пика обычно прогрессирует, хоть и медленно, постепенно приводя к инвалидности и различным сложностям. Продолжительность жизни у пациентов с этим заболеванием разная, от 2 до 10 лет и более [14][16]. Но бывали случаи, когда болезнь прогрессировала очень медленно или состояние вовсе не ухудшалось. Такое наблюдалось у людей с поведенческой формой болезни: проблемы с речью у них так и не развивались [16].
Также известно, что у пациентов с болезнью Пика могут проснуться различные творческие способности из-за активной компенсаторной работы непоражённых частей мозга, которые связаны с творчеством [16].
На течение и исход болезни Пика влияет лечение, компенсация сопутствующих заболеваний и качественный долгосрочный уход за пациентом. Так как самостоятельно принимать лекарства в нужное время и в правильных дозировках такие больные не могут, важно, чтобы кто-то это контролировал. Поэтому родственники зачастую прибегают к помощи социальных служб.
Профилактика болезни Пика
Профилактика заболевания, как и любого вида деменции, сводится к уменьшению, а в идеале к устранению факторов, способствующих развитию заболевания. Здесь важен комплексный подход, в первую очередь необходимо корректировать сопутствующие болезни. Так, при гипертонии очень важно стабилизировать артериальное давление, не допускать кризового течения. При сахарном диабете нужно следить за уровнем глюкозы в капиллярной крови, предупреждая эпизоды гипер- и гипогликемии. Также требует коррекции повышенный уровень холестерина и его фракций. Как правило, это достигается совместной работой с терапевтом либо врачом общего профиля.
В профилактике расстройств памяти немаловажное значение имеет образ жизни. Прежде всего, нужно прекратить курить, ограничить употребление алкоголя и регулярно выполнять физические упражнения.
Так, у людей в возрасте 65 лет должны быть не менее 150 минут аэробной активности в неделю (интенсивной ходьбы, плавания, лыж, танцев).
Важную роль играет и адекватный уровень социальной активности, общение по интересам, хобби и т. д. [13] Отдельно для профилактики деменции можно выделить когнитивный тренинг. Это могут быть привычные и любимые кроссворды, игра в шахматы. Есть ряд сайтов в помощь пациентам и их родственникам, например memini.ru, где представлены упражнения для людей с уже развившимися когнитивными нарушениями.
Отдельно хотелось бы выделить необходимость здорового питания. Будет полезно включить в рацион морепродукты, фрукты и овощи, которые обеспечивают организм омега–3 жирными кислотами, антиоксидантами (витамином Е и флавоноидами) и витаминами группы В. Всё это способствует профилактике развития атеросклероза и оксидативного стресса.
Список литературы
Российская ассоциация геронтологов и гериатров. Когнитивные расстройства у лиц пожилого и старческого возраста: клинические рекомендации. — М., 2020. — 317 с.
Olney N. T., Spina S., Mille B. L. Frontotemporal Dementia // Neurol Clin. — 2017. — № 2. — Р. 339–374. ссылка
Knopman D. S., Roberts R. O. Estimating the number of persons with frontotemporal lobar degeneration in the US population // J Mol Neurosci. — 2011. — № 3. — Р. 330–335.ссылка
Snowden J. S., Neary D., Mann D. M. Frontotemporal dementia // Br J Psychiatry. — 2002. — Vol. 180. — P. 140–143. ссылка
Chow T. W., Miller B. L., Hayashi V. N., Geschwind D. H. Inheritance of frontotemporal dementia // Arch Neurol. — 1999. — № 7. — Р. 817–822. ссылка
Onyike C. U., Diehl-Schmid J. The epidemiology of frontotemporal dementia // Int Rev Psychiatry. — 2013. — № 2. — Р. 130–137. ссылка
Chare L., Hodges J. R., Leyton C. E. et al. New criteria for frontotemporal dementia syndromes: clinical and pathological diagnostic implications // J Neurol Neurosurg Psychiatry. — 2014. — № 8. — Р. 866–871. ссылка
Kamath V., Sutherland E., Chaney G. A. Meta-Analysis of Neuropsychological Functioning in the Logopenic Variant of Primary Progressive Aphasia: Comparison with the Semantic and Non-Fluent Variants // Journal of the International Neuropsychological Society. — 2019. — № 3. — Р. 322–330. ссылка
Burton E. J., Barber R., Mukaetova-Ladinska E. B. et al. Medial temporal lobe atrophy on MRI differentiates Alzheimer's disease from dementia with Lewy bodies and vascular cognitive impairment: a prospective study with pathological verification of diagnosis // Brain. — 2009. — № 1. — Р. 195–203. ссылка
Shinagawa S., Nakajima S., Plitman E. et al. Non-Pharmacological Management for Patients with Frontotemporal Dementia: A Systematic Review // Journal of Alzheimer’s Disease. — 2015. — № 1. — Р. 283–293. ссылка
Boxer A. L., Knopman D. S., Kaufer D. I. et al. Memantine in patients with frontotemporal lobar degeneration: a multicentre, randomised, double-blind, placebo-controlled trial // Lancet Neurol. — 2013. — № 2. — Р. 149–156. ссылка
Li P., Quan W., Zhou Y. Y. et al. Efficacy of memantine on neuropsychiatric symptoms associated with the severity of behavioral variant frontotemporal dementia: A sixmonth, open-label, self-controlled clinical trial // Exp Ther Med. — 2016. — № 1. — Р. 492–498. ссылка
World Health Organization. Risk reduction of cognitive decline and dementia // WHO guidelines. — 2019. ссылка
Pippin M. M., Gupta V. Pick Disease // StatPearls Publishing. — 2024. ссылка
Tamvaka N., Manne S., Kondru N., Ross O. A. Pick’s Disease, Seeding an Answer to the Clinical Diagnosis Conundrum // Biomedicines. — 2023. — № 6.ссылка
Saini M. Pick Disease // Medscape. — 2019.
Rosa-Neto P., Hsiung G.-Y. R., Masellis M. Fluid biomarkers for diagnosing dementia: rationale and the Canadian Consensus on Diagnosis and Treatment of Dementia recommendations for Canadian physicians // Alzheimers Res Ther. — 2013. — Vol. 5.ссылка
Левин О. С. Диагностика и лечение деменции в клинической практике. — М.: МЕДПресс-информ, 2014. — 256 с.

