Авторы
Литературный редактор:
Елизавета Отмахова
Научный редактор:
Сергей Федосов
Шеф-редактор:
Маргарита Тихонова
Вступление
В клинику «Элисан» обратилась 68-летняя женщина, которая испытывала трудности с пережёвыванием пищи.
Жалобы
Пациентка рассказала, что у неё нет большинства зубов, а оставшиеся сильно шатаются, также её беспокоила кровоточивость дёсен. Из-за этого у женщины появились проблемы с дикцией и питанием, что негативно повлияло на работу желудочно-кишечного тракта.
Отсутствие зубов также отразилось на её внешнем виде. По словам пациентки, у неё опустились уголки рта и появились глубокие морщины, из-за чего она выглядела старше своих лет.
Боль и кровоточивость усугублялись при приёме пищи: зубы реагировали на горячую и холодную еду. Чтобы избавиться от боли, пациентка принимала болеутоляющие препараты.
Наиболее обильной кровоточивость была при использовании зубной щётки.
Анамнез
Впервые зубы начали выпадать после 40 лет, тогда же появилась кровоточивость дёсен. Но даже после этого женщина не делала профессиональную гигиену полости рта и не проходила пародонтологическое лечение.
Однако ситуация с дёснами лишь ухудшалась, а в последние 2 года зубы выпадали слишком часто, поэтому пациентка всё-таки решилась проконсультироваться со стоматологом.
Хронических заболеваний у неё нет.
У родственников женщины диагностированы болезни мягких тканей полости рта.
Обследование
При осмотре лицо симметричное, околоушные и подчелюстные лимфоузлы не увеличены.
Слизистая рта и мягкие ткани отёчны, тёмно-красного цвета. Зубы подвижны, вокруг них отделялась гнойная жидкость.
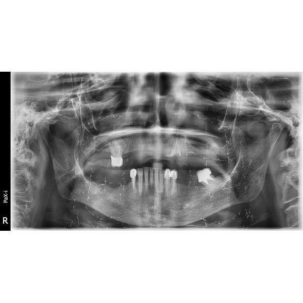
Компьютерная томография (КТ) верхней и нижней челюсти показала атрофию альвеолярного гребня (уменьшение объёма и высоты костной ткани челюсти) и опущение десны, из-за чего корни зубов были оголены. Воспалительных процессов в костной ткани не было, гайморовые пазухи оставались чистыми, височно-нижнечелюстной сустав в норме.
Диагноз
Пародонтоз 3 (тяжёлой) степени. Оголение корней зубов на две трети. Частичная вторичная адентия верхней и нижней челюсти. Хронический периодонтит верхнего правого и нижнего левого зуба.
Лечение
Пациентке провели лечение:
- сделали инфильтрационную анестезию;
- удалили зубы;
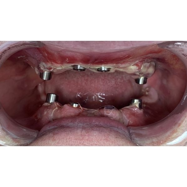
- одномоментно установили импланты в область ранее удалённых зубов на обеих челюстях;
- зафиксировали на имплантах мультиюниты, которые позволят прикрепить протезы с помощью винтов;
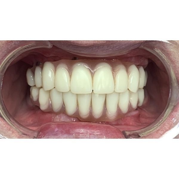
- сняли слепки с обеих челюстей для изготовления временного несъёмного зубного протеза на винтовой фиксации.
Уже на следующий день после операции женщина смогла забрать свой протез.
Через неделю пациентка пришла на плановый осмотр, во время которого ей сняли швы. В течение трёх месяцев она питалась жидкой и мягкой пищей, чтобы снизить нагрузку на импланты.
Полгода женщина носила временную конструкцию. За это время она дважды делала контрольные ортопантомографические снимки и компьютерную томографию, чтобы контролировать состояние полости рта. Когда импланты прижились, ей поставили постоянный протез.
Результат лечения полностью удовлетворил пациентку: она избавилась от проблем с дикцией, перестала ограничивать себя в еде и стала более уверенной. Теперь каждые полгода женщина приходит на профилактический осмотр и гигиену полости рта.
Заключение
Постоянный протез нельзя устанавливать сразу после имплантации, так как имплантам требуется время (от 2 до 6 месяцев) для успешного приживления и заживления десны. Чтобы не оставить пациента «без зубов», ему предлагают использовать временную конструкцию.
Этот случай наглядно показывает пользу такого метода, ведь во время адаптации пациентка могла не переживать насчёт своего внешнего вида и работы челюстей.











