Авторы
Вступление
В стоматологическую клинику "Приор М" обратилась пациентка М. 45 лет.
Жалобы
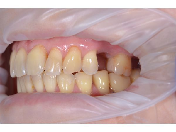
Женщина жаловалась на отсутствие премоляра верхней челюсти слева (зуб 25), затруднённое пережёвывание пищи и нарушение эстетики.
Помимо этого, пациентка заметила изменение положения рядом стоящих зубов, что вызвало у неё тревогу.
Анамнез
По словам женщины, впервые зуб 25 заболел около 10 лет назад. Тогда было проведено лечение корневых каналов. Спустя 2-3 года зуб снова стал болеть при накусывании, а также возник отёк мягких тканей щеки слева. Назначенные лекарственные препараты сняли отёк и боль. После этого было проведено повторное лечение корневых каналов. Около года назад зуб 25 во время приёма пищи сломался, и его удалили в стоматологической клинике. С тех пор никакого лечения по поводу утраченного зуба не проводилось.
Пациентка отрицает наличие вредных привычек. Аллергоанамнез, с её слов, спокоен.
Обследование
Внешний осмотр особенностей не выявил. Регионарные лимфатические узлы челюстно-лицевой области не определяются. Пальпация по переходной складке в проекции зуба безболезненная.
Результат рентгенологического исследования (компьютерной томографии) показывает отсутствие зуба 25. Признаков наличия очага хронической инфекции костной ткани в позиции утраченного зуба нет. Определяется незначительная атрофия костной ткани в этой области.
Диагноз
K08.1 Потеря зуба 25 вследствие несчастного случая, удаления или локальной периодонтальной болезни
Лечение
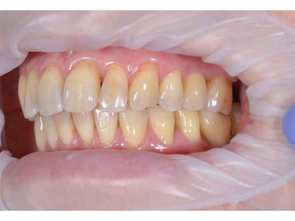
На первом этапе лечения проведена плановая имплантация зуба. Назначена лекарственная терапия: приём антибиотика и НПВС в течение одной недели. При повторном визите через неделю сняты швы. Второй этап начался спустя четыре месяца. На две недели был установлен формирователь десневой манжеты. Проведена динамометрическая проба (измерение устойчивости тканей вокруг имплантата к функциональным нагрузкам). Результат пробы — 30 Н/см2. В завершение была изготовлена коронка и установлена на имплантат методом винтовой фиксации.
За весь период лечения никаких осложнений не возникло.
Благодаря установленному имплантату эстетический и функциональный дефекты, связанные с отсутствием зуба 25, успешно устранены.
Заключение
Данный клинический случай доказывает, что при потере зубов возникает множество проблем. В первую очередь нарушается эстетика зубного ряда, что и было отмечено пациенткой. А при длительном отсутствии зуба соседние зубы становятся подвижными и начинают перемещаться, стремясь занять освободившееся место. Именно эти изменения больше всего встревожили женщину и побудили обратиться за помощью к врачу-имплантологу. Из-за неконтролируемого передвижения зубы искривляются и расшатываются. Это может привести к возникновению дефекта прикуса, что несёт за собой изменение формы лица и появление преждевременных признаков старения (глубокие мимические морщины вокруг губ, опущение и западание щёк, смещение подбородка вперед или назад). Если зуб отсутствует в течение долгого времени, происходит убыль костной ткани. У пациентки атрофия была незначительной и легко восполнимой, но нужно понимать: чем дольше нет зуба, тем сильнее рассасывается кость челюсти в месте его отсутствия. Снижение качества пережёвывания пищи — еще одно серьёзное последствие удаления зуба, которое пациентка почувствовала на себе. С течением времени это может привести к проблемам в работе желудка и кишечника, что отразится на состоянии организма в целом. Чтобы избежать всех проблем, в случае потери даже одного зуба необходимо своевременно обратиться за помощью к имплантологу.



