Авторы
Литературный редактор:
Юлия Липовская
Научный редактор:
Сергей Федосов
Вступление
При полном отсутствии зубов человек может выбрать несколько вариантов протезирования, которые значительно различаются по комфортности в использовании, сроках осуществления и стоимости. На данный момент современная стоматология может предложить следующие варианты восстановления полностью утраченных зубов:
- Полные съёмные протезы ("присоски") — самый бюджетный, минимально инвазивный и быстро реализуемый вариант протезирования. Если пациенту требуется удалить сразу большое количество зубов, то такой протез может быть изготовлен сразу в день удаления и не придётся ходить без зубов. Однако через 3 месяца его нужно заменить
- Условно-съёмные протезы, которые держатся на 2 или 4 имплантатах (на каждую челюсть нужно установить минимум 2, а лучше 4 имплантата). Такие протезы хорошо фиксируются на челюстях и являются промежуточным по стоимости и инвазивности вариантом между обычными съёмными протезами и несъёмными протезами на большем числе имплантатов.
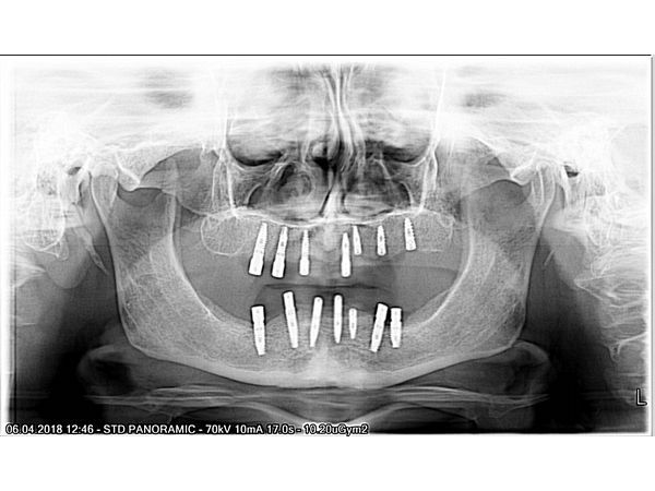
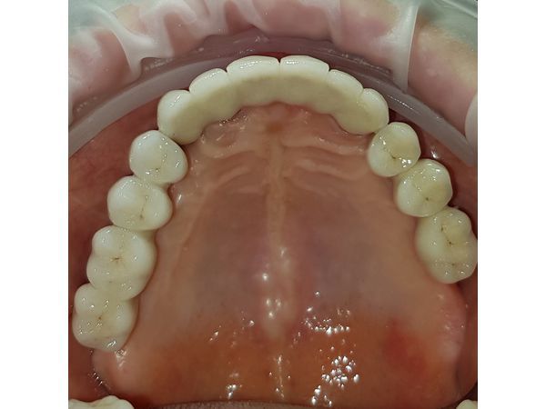
- Несъёмные мостовидные керамические протезы, которые держатся на 6 или 8 имплантатах. Это самый комфортный вариант протезирования, но при этом самый сложный и дорогой.
Здесь представлен случай изготовления несъёмных мостовидных протезов.
Жалобы
На момент обращения пациентку беспокоило отсутствие зубов, невозможность нормально пережёвывать пищу, нарушение дикции и эстетический недостаток.
Факторов, которые бы облегчали или ухудшали ситуацию, не отмечено.
Анамнез
В течении жизни пациентка неоднократно проходила стоматологическое лечение и протезирование. Последние годы пользовалась частичными съёмными протезами, но в связи с расшатыванием и удалением зубов, на которых держались протезы, пользоваться ими стало невозможно.
Со слов пациентки, у родителей тоже были проблемы с зубами и ранняя их потеря.
Обследование
При внешнем осмотре определяется снижение высоты нижней трети лица, выраженность носогубных и подбородочных складок. Открывание рта осуществляется в полном объёме без девиации и дефлексии (временного и стойкого отклонения нижней челюсти в сторону при открывании рта). Ход височно-нижнечелюстных суставов синхронный.
- Были сделаны функциональные оттиски, на основании которых изготовлены и проанализированы диагностические модели.
- Выполнена регистрация центрального соотношения челюстей при помощи функциографа — гнатометр Центрофикс.
- Проведена примерка постановки зубов с последующим переводом её в рентгеноконтрастный шаблон.
- После выполнения конусно-лучевой компьютерной томографии для планирования имплантации изготовлены навигационные шаблоны для установки имплантатов.
Диагноз
Полная вторичная адентия верхней и нижней челюсти
Лечение
На первом хирургическом этапе была проведена дентальная имплантация на верхней челюсти и через несколько недель на нижней челюсти.
Через месяц установлены временные съёмные протезы. Через 4 месяца после приживления имплантатов выполнено протезирование несъёмными мостовидными протезами.
Весь период лечения пациентка находилась под наблюдением, она систематически посещала клинику для контрольных осмотров.
В результате проведённого лечения были достигнуты все требуемые цели:
- восстановлена функция полноценного жевания;
- восстановлена дикция;
- улучшены параметры лица и эстетические параметры;
- улучшено психоэмоциональное состояние пациентки.
Заключение
На сегодня восстановление зубов с использованием имплантатов для удержания протезов является наиболее комфортным в использовании способом протезирования. Имплантация является хорошо изученной и прогнозируемой методикой лечения с долгосрочным прогнозом службы.






