Авторы
Литературный редактор:
Елизавета Отмахова
Научный редактор:
Сергей Федосов
Шеф-редактор:
Маргарита Тихонова
Вступление
19 марта 2021 года в клинику «Эст» обратилась пациентка 50 лет. Её направил врач районной поликлиники после неудачного лечения нижнего зуба мудрости.
Жалобы
Женщина жаловалась на ноющую боль, которая отдавала в другие зубы и ухо.
Болезненные ощущения усиливалась при воздействии холодных веществ.
Анамнез
В конце февраля пациентке пролечили зубные каналы. Сразу после процедуры она ощутила дискомфорт: зуб мудрости стал реагировать на разные раздражители, чего раньше не было.
По результатам рентгена, у женщины обнаружили сложную анатомию каналов, при которой качественно вылечить зуб в условиях районной поликлиники невозможно. Чтобы пациентка смогла его сохранить и в дальнейшем поставить протез, ей предложили обратиться в другую клинику.
Раньше этот зуб мудрости женщина не лечила.
В течении жизни пациентка ответственно относилась к здоровью своих зубов и при необходимости обращалась за медицинской помощью. Она часто удаляла зубы, так как была уверена, что это единственный вариант лечения. Однако при удалении нижнего зуба мудрости провести несъёмное протезирование невозможно, поэтому женщина стала искать способы, как его сохранить.
Обследование
Зуб находился под постоянной пломбой. Был чувствительным при простукивании. Воздействие холодом сопровождалось длительной болью. Соседние два зуба отсутствовали.
Риск неудачи при повторном лечении выше, чем при первом. Поэтому, чтобы выяснить причину безрезультатности первоначального лечения и вероятность успеха повторного вмешательства, пациентке предложили провести компьютерную томографию. Женщина чувствовала себя нормально, поэтому охотно согласилась пройти обследование.
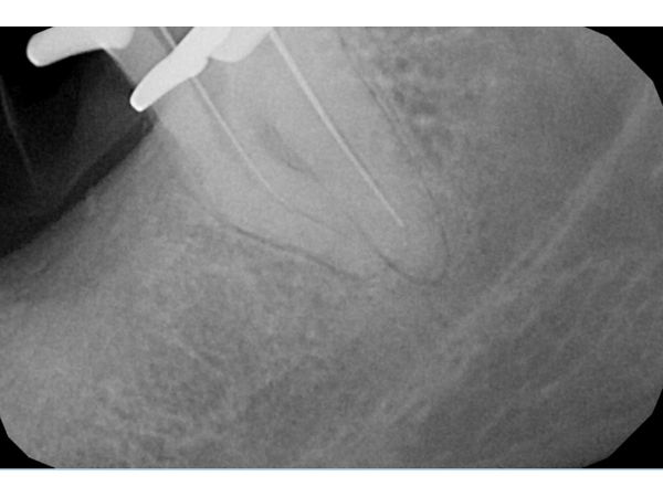
Исследование показало следы пломбировочного материала в медиальном (щёчном) корне зуба и запломбированный на две трети дистальный канал.
По данным снимка, оснований для отказа от повторного лечения не было, несмотря на аномальный изгиб медиального корня.
Диагноз
К04.03. Хронический фиброзный пульпит.
Лечение
Лечение проходило в два этапа по два часа.
Первый приём прошёл 29 марта 2021 года: нужно было полностью очистить каналы от пломбировочного материала, восстановить естественную анатомию каналов, обработать их механически и с помощью антисептиков.
Под контролем апекслокатора, который определяет длину корневого канала, женщине полностью очистили дистальный канал и обработали его до верхушки. Так как ход медиальных каналов не просматривался из-за проведённого ранее вмешательства, медиальные каналы остались необработанными.
Микроскоп показывал ход каналов только до изгиба, но предварительное изучение анатомии зуба с помощью КТ и достаточный опыт позволили найти медиально-язычный и медиально-щёчный каналы вручную. Их длину подтвердил апекслокатор.
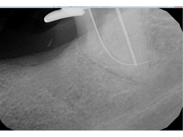
В итоге после первого посещения пациентке полностью восстановили анатомию каналов и расширили их верхушки в соответствии со стандартами лечения (дистальный — до 60-го размера 2-й конусности, медиальные — до 35-го размера 4-й конусности). В каналах оставили смесь гидроксида кальция сроком на 7–14 дней.
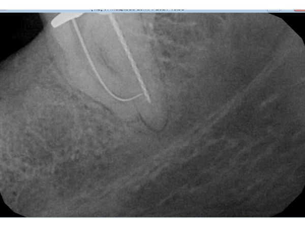
Второй приём прошёл 9 апреля. Женщина ни на что не жаловалась. Ей ввели анестезию, каналы очистили от гидроксида кальция и запломбировали системой BeeFill. После этого в дистальном канале зафиксировали стекловолоконный штифт и восстановили коронку композитным материалом без металла.
После проведённого лечения боль исчезла. Рентгенограмма показала, что женщина может рассчитывать на успешное протезирование.
Заключение
Этот клинический случай доказывает, что использование современных достижений стоматологии позволяет сохранять зубы даже при их сложной анатомии.






