Авторы
Литературный редактор:
Елизавета Отмахова
Научный редактор:
Сергей Федосов
Шеф-редактор:
Маргарита Тихонова
Вступление
В апреле 2019 года обратилась женщина с жалобами на зубную боль.
Жалобы
Пациентка рассказала, что ноющая боль сосредотачивалась в нижней челюсти справа, но уточнить, какой конкретно зуб болит, она не могла.
Болезненные ощущения усиливались вечером и ночью. Обезболивающие помогали лишь на несколько часов.
Анамнез
После появления боли женщина обратилась к стоматологу-ортопеду. Врач предположил наличие пульпита в одном из зубов, и пациентку перенаправили к стоматологу-терапевту. На момент обращения к стоматологу-терапевту боль беспокоила женщину уже на протяжении двух недель.
За неделю до появления боли зубы нижней челюсти обработали под коронки и виниры. Премоляр 4.2, клык 4.3 и резец 4.4 обработали витальными методами, т. е. под анестезией.
Фиксацию постоянных ортопедических конструкций отложили до момента установления причинного зуба и его лечения.
Обследование
При внешнем осмотре конфигурация лица и цвет кожи были в норме. Лимфатические узлы не уплотнены.
При осмотре полости рта слизистая была бледно-розовой, влажной и блестящей.
Зубы 4.1, 4.2 и 4.3 покрыты временными винирами, премоляры 4.4 и 4.5 и моляр 4.6 — временными коронками (у 4.6 коронка на импланте), крайних жевательных зубов (4.7 и 4.8) не было.
При простукивании и прощупывании зубов 4.1 и 4.5 болезненных ощущений не было. Переходная складка без видимой патологии.
Реакция на холод в зубах 4.2 и 4.3 менее 5 секунд, в 4.4 была выражена и сохранялась длительное время после удаления раздражителя. Простукивание зубов 4.2. и 4.3 безболезненно, в 4.4 слабо болезненно. Переходная складка в области проекции корней зубов без видимой патологии.
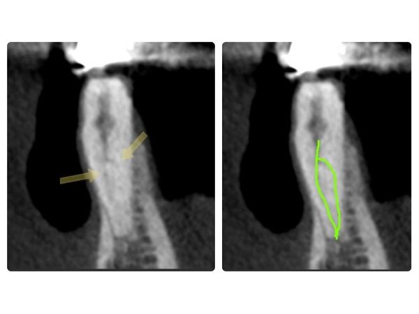
Так как обнаружить вход в язычный корневой канал визуально было практически невозможно даже с помощью микроскопа, было принято решение провести КТ. По результатам обследования:
- 4.1 и 4.5 — равномерная тень пломбировочного материала в коронковой части зуба и в корневых каналах. В тканях, окружающих верхушку корня зуба, изменений не было.
- 4.4 — близкое расположение пульпарной камеры к обработанной поверхности зуба (около 1,5 мм). Расширение пространства периодонта в области верхушки корня. У зуба один корень и два корневых канала (щёчный и язычный). Язычный канал отходит ответвлением от щёчного канала на границе устьевой и средней трети корня под углом почти 90°.
Диагноз
Острый пульпит премоляра 4.4.
Лечение
Канал зуба лечили через временную коронку, приклеенной к зубу. Для лечения понадобилось два визита.
Во время первого посещения:
- Почистили зубы щёткой и пастой для снятия налёта и создали прямолинейный доступ к каналу. Пульпа в канале с признаками воспаления и скоплением крови.
- Под микроскопом с помощью ручных и машинных инструментов и 3,35%-м раствором гипохлорита натрия обработали щёчный канал. Рабочую длину канала определили по апекслокатору и подтвердили радиографическим контролем (Rg-контроль).
- Под контролем КТ замерили глубину расположения ответвления язычного канала и выставили необходимую длину на ручных стальных инcтрументах (k-file №10 и №15). Поиск входа в язычный канал проводили на ощупь при помощи стального файла со слегка подогнутым кончиком, так как на этом этапе лечения канал не был виден даже в микроскоп. После обнаружения язычного канала его механически и медикаментозно обработали. Рабочую длину канала определили по апекслокатору и подтвердили радиографическим контролем.
- После обработки язычного канала оба канала стали видны в микроскоп. В корневых каналах установили временную пломбу.
При втором визите:
- Зубы очистили от налёта и удалили временную пломбу.
- Под контролем микроскопа удалили временный препарат из корневых каналов, обработали их 3,25%-м раствором гипохлорита натрия с активацией и выполнили Rg-контроль с гуттаперчевыми мастер-штифтами.
- Высушили каналы бумажными штифтами.
- Запломбировали их методом вертикальной конденсации гуттаперчи (гуттаперча и силлер «АН+») и провели Rg-контроль пломбирования.
- Поставили постоянную пломбу из композитного пломбировочного материала.
После проведённого лечения боль прошла.
На контрольном осмотре через 1 год 2 месяца женщина отметила, что проблем с зубом больше нет, на КТ признаков воспаления костной ткани вокруг корня зуба не было. Всё это говорит о качественно проведённом эндодонтическом лечении.
Заключение
В этом клиническом случае у пациентки зубы нижней челюсти были обработаны под коронки, но пульпит возник только в одном из них, что усложнило диагностику, так как среди зубов, покрытых временными коронками, сложно определить, какой именно болит.
Также наглядно показана важность выполнения КТ перед началом лечения. Обследование помогло оценить анатомию зуба, не пропустить корневой канал и выбрать правильную тактику лечения.
Лечение подобных зубов требует от специалиста хороших мануальных навыков.








