Авторы
Литературный редактор:
Елизавета Отмахова
Научный редактор:
Сергей Федосов
Шеф-редактор:
Маргарита Тихонова
Вступление
В стоматологическую поликлинику обратилась мама с 2-летней дочкой. У девочки были разрушены верхние центральные зубы.
Жалобы
Со слов женщины, малышку беспокоила боль, которая усиливалась при чистке зубов и приёме пищи. В последнее время девочка часто просыпалась по ночам. Зубы разрушались очень быстро, «таяли на глазах».
При острых приступах родители давали дочке обезболивающие препараты. Полностью дискомфорт не уходил, но на несколько часов ей становилось легче.
Анамнез
Впервые жалобы появились около трёх месяцев назад. Постепенно боль на раздражители возникала чаще и примерно за две недели до обращения стала проявляться практически при каждой чистке зубов.
Ранее зубы не лечили.
Девочка родилась от второй беременности, протекавшей без осложнений.
У врача-стоматолога не наблюдалась. Аллергии на медикаменты нет, но есть пищевой диатез на цитрусовые. На грудном вскармливании «по требованию». Ранее просила грудь более 4 раз за ночь. В течение дня малышка ела, пила компот или требовала грудь до 7–8 раз. Чистить зубы не любит: капризничает и отворачивается.
Обследование
Внешне никаких признаков нарушения физического развития нет. Кожа нормального цвета, лицо симметричное, лимфатические узлы челюстно-лицевой области не увеличены.
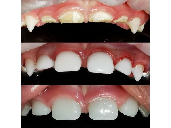
Во рту глубокие, обширные дефекты твёрдых тканей передних верхних зубов (зубы 5.2, 5.1, 6.1, 6.2): на них отсутствовала эмаль, коронковая часть центральных зубов была разрушена наполовину, боковых резцов — до уровня десны.
Инструментальное обследование удалось провести не сразу из-за беспокойства девочки, но в игровой форме ей всё-таки сделали компьютерную прицельную радиовизиографию:
- обнаружены очаги разрушения в коронковой части, которые сообщаются с полостями разрушенных зубов 5.2, 5.1, 6.1, 6.2;
- патологических изменений в периодонте не было.
Диагноз
К04.03 Хронический пульпит.
Лечение
Ввиду высокой активности кариеса и большого объёма лечения, было принято решение проводить процедуру под глубокой седацией. В итоге девочке:
- удалили некротически изменённые твёрдые ткани передних четырёх зубов;
- механически и медикаментозно обработали, высушили и запломбировали каналы;
- восстановили зубы с помощью стандартных циркониевых коронок.
Через неделю после лечения родители ребёнка отметили, что боль при приёме пищи появлялась реже. Когда чистила зубы, дискомфорта не было.
Благодаря проведённому лечению девочка приобрела полноценную улыбку и избавилась от боли. Её родители были довольны результатом терапии. Девочке подобрали необходимые средства для ухода за полостью рта и рассказали маме с папой, какой техники чистки зубов необходимо придерживаться. Им также дали советы по питанию и дополнительным средствам гигиены рта с учётом возраста ребёнка.
Заключение
Лечение пульпита временного зуба является одним из сложных и важных мероприятий в детской стоматологической практике. Этот клинический случай показывает, что стандартная коронка — один из лучших методов восстановления молочного зуба. Она позволяет сохранить его до смены на постоянный зуб даже при обширных разрушениях, тогда как пломба может привести к перелому коронки или корня зуба, а также его удалению. В дальнейшем это может повлиять на прикус, который также придётся лечить.



