Авторы
Литературный редактор:
Елизавета Отмахова
Научный редактор:
Сергей Федосов
Шеф-редактор:
Маргарита Тихонова
Вступление
10 февраля 2021 года в частную стоматологическую клинику в Краснодаре обратилась 37-летняя женщина, у которой отпал старый мост с передних верхних зубов.
Жалобы
Пациентка рассказала, что опорные зубы, которые раньше держал мост, начали шататься и разрушаться, из-за чего появились неприятные ощущения.
Её также беспокоила кровоточивость десны при чистке зубов.
Анамнез
Мостовидный металлокерамический протез поставили 5 лет назад. Перед этим опорные зубы лечили по поводу осложнённого кариеса.
За полгода до обращения женщина заметила, что мостовидный протез начал шататься, тогда же появилась кровоточивость десны.
У пациентки нет хронических болезней и аллергии.
Обследование
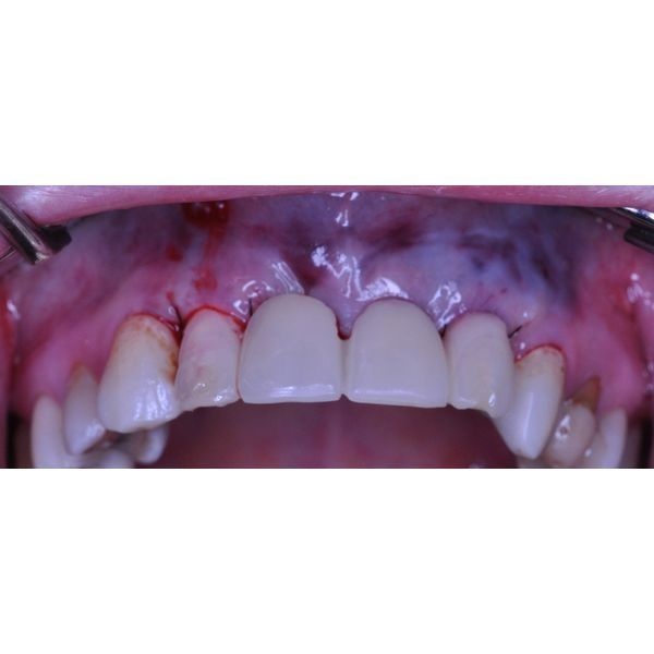
Опорные зубы (1.1, 1.2 и 2.2) разрушены. Сохранившаяся часть зубов была выше десны на 2 мм. Простукивание умеренно болезненно, прощупывание по переходной складке не вызывало дискомфорта. Определялась подвижность II степени (зубы отклоняются чуть больше чем на 1 мм).
КТ не выявила очагов хронической инфекции, она также показала, что кость имеет достаточный объём для проведения имплантации.
Рентген не обнаружил периодонтальной щели и разрушения костной ткани.
Диагноз
К08.8 Хронический фиброзный периодонтит зубов 1.1, 1.2, 2.2.
Лечение
Зубы 1.1, 1.2, 2.2 удалили, сразу же установили в раны имплантаты и зафиксировали временный пластмассовый протез. С ним пациентка ходила 5 месяцев.
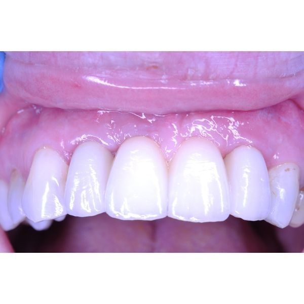
Ей также смоделировали десневую манжету, на основе чего изготовили циркониевый мостовидный протез с керамической облицовкой.
Первые несколько дней после процедуры женщина отмечала небольшую болезненность, однако благодаря временному пластмассовому протезу социальная жизнь не пострадала.
На следующем приёме ей удалили временный протез и установили циркониевый мост.
Сначала пациентка отмечала незначительный отёк и синяк, но через некоторое время они сошли на нет. Женщина осталась довольна лечением. Ей рекомендовали приходить на осмотры 1–2 раза в год, использовать ирригатор при проведении домашней гигиены и сделать контрольные КТ-снимки через 6–12 месяцев.
Заключение
Цирконий считается универсальным металлом для применения в медицинской отрасли, так как он не вызывает контактную аллергию. Это особенно важно при изготовлении коронок и мостов, которые ставят в челюстно-лицевую область, граничащую с жизненно важными органами.
Циркониевые конструкции идеально точно садятся на своё место, что влияет на срок службы зуба и конструкции. Кроме того, при использовании циркония у пациента есть возможность выбрать необходимый оттенок, который будет полностью совпадать с его родными зубами.










