Авторы
Литературный редактор:
Елизавета Отмахова
Научный редактор:
Сергей Федосов
Шеф-редактор:
Маргарита Тихонова
Вступление
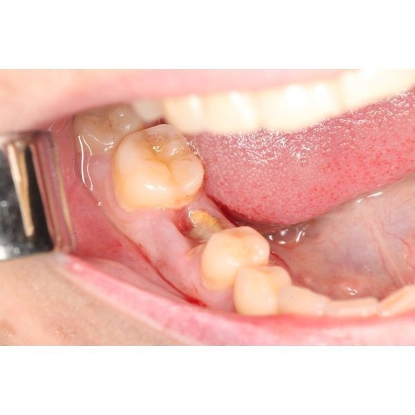
Летом 2022 года в клинику «Евромед» обратился мужчина с разрушенным нижним правым моляром (зубом 4.6).
Жалобы
Пациент жаловался на трудности в жевании и застревание пищи в области повреждённого моляра.
Чтобы прочистить зуб от застрявших кусочков пищи, мужчина полоскал рот кипячёной водой.
Анамнез
Ранее он неоднократно лечил зуб 4.6 по поводу осложнённого кариеса. Его восстанавливали с помощью штифта и композитного пломбировочного материала.
Более месяца назад коронковая часть разрушилась при пережёвывании жёсткой пищи.
Пациент не курит, лекарственных препаратов не принимает. Хронических заболеваний, бруксизма и аллергии нет. У других специалистов не наблюдался.
Обследование
На приёме мужчина находился в ясном сознании, чувствовал себя нормально. Лицо симметричное, кожа нормального цвета, близлежащие лимфатические узлы не увеличены, рот открывался полностью.
При осмотре полости рта уровень гигиены нормальный, отмечался лишь незначительный пигментированный зубной налёт. Прикус физиологический. Зуб 4.6 разрушен ниже уровня десны, простукивание и зондирование безболезненные. Слизистая в области повреждённого моляра бледно-розовая, без особенностей.
Компьютерная томографии выявила очаг разрушения костной ткани вокруг корня зуба с нечёткими контурами размером 1 × 2 мм. Нижнечелюстной канал находился в безопасном положении. В ходе диагностики также оценили целостность структур, плотность и размер альвеолярного отростка.
Диагноз
Хронический периодонтит и дефект тканей зуба 4.6.
Лечение
После осмотра пациенту провели комплексную профессиональную гигиену полости рта, подобрали индивидуальные средства и рассказали, как правильно чистить зубы.
На первичном приёме ему сразу уже установили имплантат:
- сделали местную анестезию;
- удалили повреждённый зуб без корней;
- очистили лунку и остановили кровь;
- подготовили имплантационное ложе;
- установили дентальный имплантат и проверили его стабильность;
- установили формирователь десневой манжеты;
- наложили рассасывающиеся швы и обработали операционную рану;
- провели рентген-контроль.
Весь приём длился 45–60 минут.
На следующем приёме мужчина сказал, что обезболивающее выпил только один раз, других жалоб не было. Слизистая в повреждённой области слегка покраснела, но была безболезненна. Формирователь десны и швы состоятельны.
Спустя неделю слизистая стала бледно-розовой, прощупывание безболезненно. Через месяц швы рассосались. Новых жалоб не было. Формирователь десны и имплантат оставались стабильными.
После интеграции имплантата и наблюдения в динамике пациента направили к стоматологу-ортопеду для установки искусственной коронки.
Заключение
В этом случае было важно провести имплантацию сразу после удаления зуба, чтобы предотвратить атрофию костной ткани альвеолярного отростка и сохранить условия для дальнейшего протезирования.







