Авторы
Литературный редактор:
Елизавета Отмахова
Научный редактор:
Сергей Федосов
Шеф-редактор:
Маргарита Тихонова
Вступление
В июле 2021 года в стоматологическую клинику обратился 27-летний парень, чтобы решить вопрос по поводу удаления правого нижнего моляра (зуба 4.6).
Жалобы
Пациент хотел установить брекет-систему, но у его лечащего врача возникли сомнения в благоприятном исходе. Поэтому парня отправили на дополнительное обследование и лечение верхнего правого моляра (зуб 1.6) под микроскопом.
Иногда на десне нижней челюсти рядом с зубом 4.6 появлялся безболезненный «пузырёк», который проходил сам.
Анамнез
5 лет назад в нижнем и верхнем молярах справа (зубах 4.6 и 1.6) удалили пульпу (нервы) из-за осложнённого кариеса. После этого зубы больше не беспокоили. Твёрдая и жёсткая пища болезненности не вызывала.
У пациента нет вредных привычек. Гигиена полости рта хорошая.
Обследование
При осмотре лицо симметричное, отёков нет, кожа и видимые слизистые нормального цвета. Близлежащие лимфоузлы не увеличены. Рот открывается свободно и безболезненно. Слизистая оболочка полости рта без видимых патологических изменений.
На зубах 1.6 и 4.6 старые пломбы прилегали неправильно и занимали примерно половину от объёма зубов. Под ними развился вторичный кариес. Прощупывание и простукивание безболезненное, на температурные раздражители зубы также не реагировали. Пародонтальных карманов в исследуемой области не было.
На слизистой оболочке в области зуба 4.6 образовался свищевой ход с серозным отделяемым, прощупывание безболезненно.
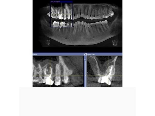
КЛКТ челюстно-лицевой области выявила очаг хронического воспаления в области верхушки мезиального (левого) корня зуба 1.6, второй мезио-букальный корневой канал (второй канал слева, ближе к щеке) был не запломбирован (пропущен).
В области мезиального корня зуба 4.6 отмечался обширный очаг разрушения кости, который распространялся от верхушки корней до места их соединения, тень пломбировочного материала в мезиальных корневых каналах нечёткая и неоднородная, располагалась пристеночно, доходила до половины и второй трети каналов (мезиального и дистального).
Диагноз
Хронический апикальный периодонтит зуба 1.6. Хронический периапикальный абсцесс зуба 4.6 со свищом.
Лечение
Лечение каждого зуба проводили в 2 этапа, причём сначала полностью пролечили нижний зуб, а потом верхний.. На первом приёме пациенту:
- сделали инфильтрационную анестезию и наложили коффердам;
- очистили поверхность зуба пастой и щёткой, убрали всю старую реставрацию и инфицированные ткани;
- восстановили стенки зуба из композита с использованием матричной системы;
- нашли все корневые каналы и очистили от старой пломбировки и некротизированных остатков пульпы;
- определили рабочую длину каждого канала и механически их очистили с помощью машинных файлов;
- промыли каналы 3%-м раствором Гипохлорита натрия;
- обработали ультразвуком, высушили и вложили в каналы Гидроксид кальция на 2–3 недели;
- закрыли зуб временной пломбой.
Во время второго посещения:
- очистили зуб щёткой и пастой;
- убрали временные пломбы и отмыли Гидроксид кальция раствором Гипохлорита натрия с использованием ультразвука, после чего высушили каналы;
- закрыли их силлером с термопластифицированной гуттаперчей и загерметизировали устья;
- в нёбном корневом канале зуба 1.6 зафиксировали никель-титановый штифт;
- установили постоянную пломбу из светоотверждаемого композита;
- скорректировали пломбу по прикусу, отшлифовали и отполировали её.
Все манипуляции проводили под стоматологическим микроскопом.
Пациенту назначили дату контрольного осмотра и рентген-диагностики, чтобы оценить результат лечения.
Через неделю после начала лечения свищевой ход полностью исчез. Боли и дискомфорта в зубах не было.
Контрольная КТ через полгода показала полное восстановление кости в тканях, окружающих зубы 4.6 и 1.6.
Заключение
Этот клинический случай показывает, что всегда нужно предпринять все возможные меры, прежде чем использовать радикальные методы. Если врач советует удалить зуб, не стесняйтесь обратиться к другому специалисту, чтобы получить второе мнение.






