Авторы
Литературный редактор:
Елизавета Отмахова
Научный редактор:
Сергей Федосов
Шеф-редактор:
Маргарита Тихонова
Вступление
В стоматологическую клинику обратилась 28-летняя женщина, чтобы провести санацию полости рта.
Жалобы
Пациентке не нравилось, как выглядит десна в области нижнего зуба слева. Других жалоб, например на боль или реакцию на внешние раздражители, не было.
Ротовые ванночки с содой не дали эффекта.
Анамнез
Впервые обратила внимание на внешний вид десны примерно за две недели до приёма. Связывала образование дефекта с грудным вскармливанием и ослаблением иммунитета.
Ранее лечила зуб в связи с острой болью. Тогда женщине поставили световую композитную пломбу.
У стоматолога в последний раз была более трёх лет назад.
Женщина работает продавцом. Вредных привычек нет.
Обследование
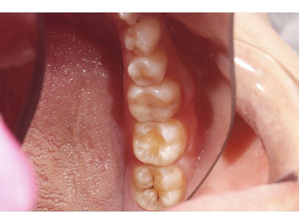
При осмотре на левом нижнем моляре (36-м зубе) наблюдалась композитная пломба, края прилегания которой были нарушены. Десна вокруг зуба покраснела. Рядом находилось отверстие (свищевой ход), из которого сочилось прозрачное содержимое. Простукивание моляра слабоболезненное.
По результатам компьютерной томографии верхней и нижней челюстей:
- очаги воспаления в области верхушек 36-го зуба вплоть до области разделения корней;
- микротрещина во втором медиально-щёчном канале.
Диагноз
Периодонтит, перфорация в 36-м зубе.
Лечение
Пациентке провели повторное эндодонтическое лечение каналов левого моляра. Его несколько раз запломбировали гидроксидом кальция с интервалом в 2 недели.
Женщине также назначили антибактериальный препарат Амоксиклав 500 по 2 таблетки в день в течение 10 суток.
Далее каналы запломбировали постоянным материалом за исключением медиально-щёчного канала. В нём оставили гидроксид кальция. Пациентка решила начать ортодонтическое лечение.
Каждые две недели пациентка проходила осмотр. Отмечалась положительная динамика: десна стала бледно-розовой, покраснение исчезло, свищевой ход закрылся, простукивание безболезненное. Прицельные рентгенологические снимки, что очаги воспаления уменьшились.
Пациентке поставили световую композитную пломбу. Так как дальше пациентка решила начать ортодонтическое лечение, ей поставили световую композитную пломбу. После снятия брекет-системы она планирует поставить на моляр коронку. Зуб подготовили под протезирование.
Пациентка приходит на осмотры раз в 3 месяца, чтобы не допустить осложнений.
Заключение
Этот клинический случай показывает, что можно вылечить периодонтит и при этом сохранить зуб. Гидроксид кальция обладает лечебными свойствами, которые в комплексе с антибактериальными препаратами позволяют уменьшить воспаление. Консистенция гидроксида кальция позволяет ему просочиться через трещину в канале к месту воспаления и оказать прямое воздействие.
Сначала инфицированные каналы обрабатывают гипохлоритом натрия, после чего гидроксид кальция выступает в качестве барьера.






