Авторы
Литературный редактор:
Елизавета Отмахова
Научный редактор:
Сергей Федосов
Шеф-редактор:
Маргарита Тихонова
Вступление
В стоматологическую клинику обратился мужчина, у которого не было центрального левого верхнего резца (зуб 1.1).
Жалобы
Пациент не испытывал боль, но его беспокоил сам факт отсутствия зуба.
Из-за потери центрального резца мужчина не мог правильно произносить некоторые звуки.
Анамнез
Ранее у пациента выявили глубокий кариес на внутренней (нёбной) поверхности зуба 1.1. Мужчина отказался от лечения, и спустя два года кариозный процесс развился до такой степени, что в один из дней, когда пациент ел яблоко, зуб выпал.
На работе мужчине приходится много общаться с людьми. Сопутствующих заболеваний нет.
Обследование
При осмотре полости рта определялся перелом коронки зуба 1.1 и части корня. Перелом располагался под десной. Восстановить такой дефект без вытягивания корня зуба невозможно, но рассматривать этот вариант лечения не стали, так как помимо глубокой границы скола, также обнаружили скрытые трещины корня 1.1. Прогноз лечения в таком случае обычно неблагоприятный.
Пациенту провели конусно-лучевую компьютерную томографию, проанализировали дефект зубного ряда, просканировали челюсти и их смыкание. Сопоставили сканы ротовой полости и снимки компьютерной томографии.
Противопоказаний к хирургическому вмешательству не было.
Диагноз
S02.53 Перелом корня зуба 1.1. К02.8 Кариес цемента зуба 1.1.
Лечение
Чтобы временная адаптивная коронка максимально гармонично располагалась на импланте, произвели специальные расчёты. После этого мужчине под местной анестезией удалили корень сломанного зуба и сразу же установили дентальный имплант, т. е. искусственный зуб с металлическим корнем (штифтом). Восполнили костный дефект лунки зуба и увеличили объём мягких тканей в зоне улыбки. Временную коронку сконструировали и зафиксировали в день операции.
Пациент обещал бережно относиться к новой конструкции. На период реабилитации ему назначили:
- Аугментин — по 625 мг 2 раза в день в течение 5 суток;
- Нурофен и Нимесил — однократный приём при боли;
- Цетрин — по таблетке в сутки первые три дня с момента операции;
- ванночки с раствором Тантум Верде — 4 раза в день до снятия швов.
При осмотре через одну и две недели послеоперационная рана без патологических изменений. Имплант оставался стабилен, мягкие ткани формировались в необходимом направлении.
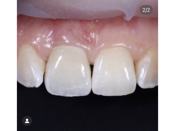
Через три месяца после операции пациенту установили постоянную коронку из диоксида циркония. Неоднократно проводили её коррекцию, так как, помимо цвета коронки, важное значение для внешнего вида имеет преломление света.
Зуботехнической лаборатории удалось смоделировать коронку, которую невозможно отличить от соседнего зуба. Мужчина остался доволен.
Заключение
Зона улыбки предъявляет к специалистам особые требования, при этом важно начать лечение своевременно.
Съёмная косметическая пластинка или временный адгезивный протез могли облегчить состояние пациента, но не решили бы его проблему. Можно было бы также установить мостовидный протез с опорой на соседние зубы, но современная стоматология предлагает больше вариантов реабилитации зубов.






