Авторы
Литературный редактор:
Елизавета Отмахова
Научный редактор:
Сергей Федосов
Шеф-редактор:
Маргарита Тихонова
Вступление
В стоматологическую клинику «СВ-Дент» в Ангарске обратились родители 7-летней девочки с неправильным прикусом.
Жалобы
Пациентка жаловалась на неровно стоящие передние зубы. Её также беспокоило, что нижняя челюсть перекрывала верхнюю.
Неправильное положение зубов не позволяло девочке качественно их почистить.
Анамнез
Родители отметили, что зубы прорезывались неправильно ещё во временном прикусе, однако к стоматологу-ортодонту они не обращались.
Девочка родилась в срок, была на грудном вскармливании. Жилищно-бытовые условия хорошие. Первые молочные зубы начали прорезываться в 5,5 месяцев. Смена временных зубов на постоянные началась в 5 лет.
Проблем с едой нет, питается регулярно. В школе учится хорошо. До обращения в клинику переболела ОРВИ и ветряной оспой.
У родителей пациентки патологий зубочелюстной системы нет.
Обследование
Лицо у девочки симметричное, кожа нормального цвета. Близлежащие лимфоузлы не прощупывались.
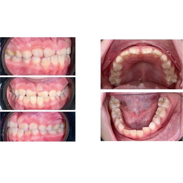
Слизистая оболочка полости рта бледно-розовая, умеренно влажная, без патологических изменений. При смыкании челюстей верхние резцы (зубы 1.1 и 2.1) располагались позади нижних. Правый верхний резец был повёрнут по часовой стрелке, левый — против. Нижний левый резец (зуб 3.2) смещён в сторону языка.
Оба зубных ряда были расположены в форме полуэллипса.
После осмотра пациентке сделали фотопротокол (фотографии лица и зубов), панорамный рентгеновский снимок и сканирование зубных рядов, на основе которого напечатали диагностические 3D-модели, после чего провели их антропометрическое исследование.
Диагноз
Перекрёстный прикус, язычное положение зуба 3.2 и поворот зубов 1.1 и 2.1.
Лечение
С учётом патологии прикуса и активности девочки ей назначили ортодонтическое лечение с помощью индивидуальной системы элайнеров, которую необходимо было носить в течение 3 месяцев. Раз в неделю пациентка приходила в клинику, чтобы сменить капы. Всего она сменила 13 пар элайнеров.
Контрольные осмотры проводились через каждые 3 замены кап. Во время этих осмотров проверяли качество гигиены полости рта, как хорошо садится капа на зубы, а также следили за тем, чтобы на зубах были аттачменты (специальные элементы, надёжно прикрепляющие капу). При их отсутствии элайнеры фиксировали заново.
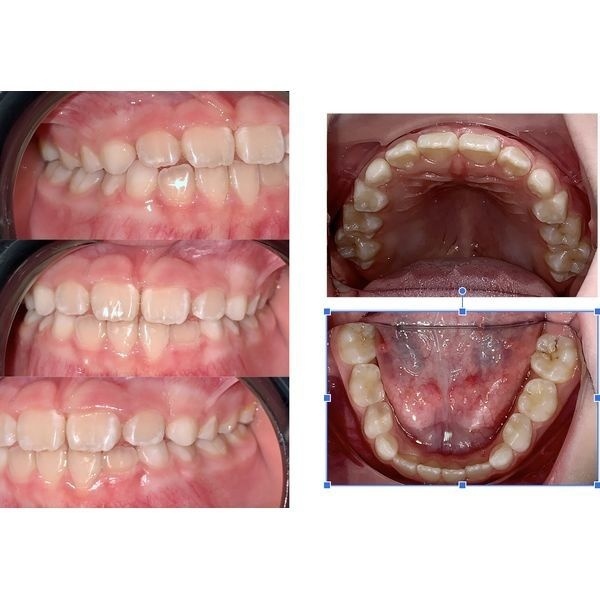
Всего было 4 осмотра, каждый из которых подтверждал положительную динамику в процессе изменения прикуса. Смена элайнеров не доставляла никаких проблем. Каждая последующая капа «садилась» легко. Это значило, что предыдущие капы качественно «отработали» необходимое движение зубов.
За довольно короткий срок прикус девочки изменился, а зубы 1.1 и 2.1 приняли естественное положение. Чтобы закрепить результат, ей рекомендовали надевать последний элайнер на ночь.
Заключение
Этот клинический случай показывает, что элайнеры крайне эффективны при лечении неправильного прикуса, при котором форма и размер челюсти соответствуют норме. При этом капы не создают никакого дискомфорта, а, наоборот, вызывают интерес у детей, так как каждая капа помещена в индивидуальную ярко раскрашенную упаковку.




