Авторы
Литературный редактор:
Елизавета Отмахова
Научный редактор:
Сергей Федосов
Вступление
В стоматологическую клинику обратилась 13-летняя девочка с неправильным прикусом.
Жалобы
Пациентку также беспокоили редкие щелчки в челюсти при открывании рта.
3–4 раза в месяц у неё болела голова. Этот симптом девочка связывала с изменением погоды.
Анамнез
Нарушение прикуса пациентка заметила в 6–7 лет, но выраженными симптомы стали недавно, в 12–13 лет, когда она начала активно расти.
Со слов девочки, у родителей проблем с прикусом и челюстными суставами нет.
Обследование
У пациентки отмечалась асимметрия нижней трети лица за счёт смещения нижней челюсти вправо. Прощупывание латеральной крыловидной мышцы сопровождалось болью с обеих сторон. При открывании рта был слышен двойной щелчок слева. Рот открывался до 4,5 см.
При осмотре полости рта наблюдался перекрёстный прикус в боковом отделе справа, сужение верхней челюсти, особенно справа. Верхние боковые зубы скучены. Верхний левый клык повёрнут в неправильную сторону. Эстетический центр между верхней и нижней челюстью смещён. Также имелась небольшая рецессия десны в области правого нижнего моляра (зуба 4.6).
Девочке сделали телерентгенограмму, ортопантомограмму и КЛКТ челюстных суставов, провели функциональные нагрузочные пробы и определили центральное соотношение челюстей для дальнейшей диагностики в артикуляторе (аппарате, воспроизводящем движения нижней челюсти). Оценили изменение тонуса мышц шеи при смыкании в привычном прикусе и при смыкании зубов в центральном соотношении (отмечалась положительная динамика во время изменения положения нижней челюсти).
Для более детальной диагностики также изготовили гипсовые модели челюстей.
Диагноз
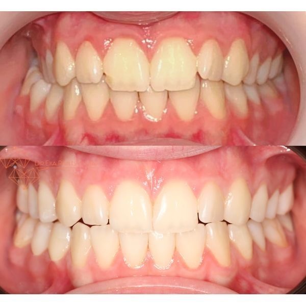
Дисфункция височно-нижнечелюстного сустава. Перекрёстный прикус справа.
Лечение
Лечение проходило в несколько этапов. Сначала девочке выдали двучелюстную каппу по размеру челюстей для разобщения зубных рядов и перепрограммирования мышц.
Через пару месяцев установили композитные накладки, которые помогли зафиксировать смыкание челюстей в центральном соотношении. Окклюзионные контакты (точки смыкания нижних и верхних зубов) были созданы с направляющим наружным контактом, чтобы стимулировать расширение правой половины верхней челюсти.
Пациентке выдали вторую каппу для выполнения жевательных упражнений сидя, стоя и лёжа. Это необходимо для создания корректного и симметричного мышечного тонуса с правой и левой стороны тела.
В течение года и двух месяцев корректировали контакты на накладках и меняли каппы на более широкие. Девочка приходила в клинику раз в полтора месяца.
В конце лечения удалось исправить прикус и избавиться от щелчков в челюстном суставе.
В дальнейшем планируется окончательная коррекция смыкания зубов с помощью элайнеров или реставраций. Этот этап лечения отложили до окончательного завершения роста и формирования лицевого скелета.
Заключение
Щелчки в челюстном суставе — достаточно обширный симптом. Он может указывать не только на неправильный прикус, но и в целом на дисфункции в организме: проблемы с опорно-двигательным аппаратом, нарушение осанки и дисбаланс работы мышц тела. Сужение верхней челюсти может привести к вынужденному неправильному положению нижней челюсти и, как следствие, влиять на тонус мышц шеи, создавая неустойчивый компромисс.
Таким образом, перекрёстный прикус — это проблема не только зубов, но также соотношения челюстей и привычного жевания на одну сторону. Отдельная особенность лечения такой патологии — достижение баланса между смыканием зубов и структурой всего тела.
Когда пациенты хотят исправить прикус, они думают, что единственный вариант — это брекеты. Но если нарушение прикуса вызвано дисфункцией челюстного сустава, а она, в свою очередь, связана с нарушением осанки, установка брекет-системы не является основным лечением: проблему необходимо рассматривать в комплексе.


