Авторы
Литературный редактор:
Елизавета Отмахова
Научный редактор:
Сергей Федосов
Шеф-редактор:
Маргарита Тихонова
Вступление
В сентябре 2020 года в стоматологическую клинику обратился 28-летний мужчина, которому не нравился его внешний вид: нижняя треть лица была слишком большой.
Жалобы
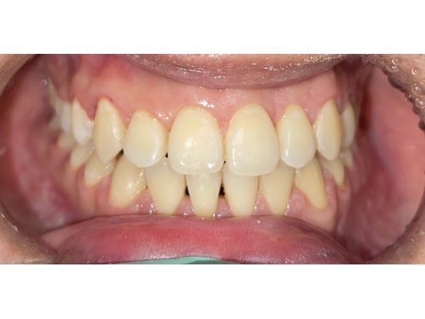
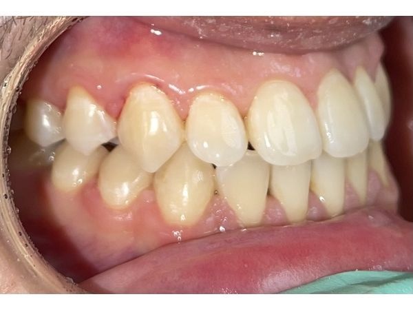
Пациента беспокоил его выступающий подбородок, массивная нижняя часть лица и неровно стоящие зубы, при этом нижний зубной ряд перекрывал верхний.
Кроме того, мужчине было тяжело пережёвывать пищу из-за неправильного смыкания зубов. У него также была повышена чувствительность зубов в пришеечной области.
В области неправильно расположенных зубов образовался зубной налёт.
Анамнез
Пациент рассказал, что мезиальный прикус сформировался с рождения, т. е. является генетически обусловленным: нижняя челюсть была увеличена, а верхняя недоразвита. Недостаток места в зубном ряду спровоцировал скученность зубов, а мышечная тяга губ привела к тому, что нижние передние зубы наклонились в сторону языка.
Ранее мужчина не проходил ортодонтическое лечение и не носил аппараты для изменения прикуса. Травм и воспалительных заболеваний околоушной области не было.
Обследование
Лицо пациента симметрично, но нижняя часть непропорционально велика. Близлежащие лимфатические узлы не прощупывались. Рот открывался свободно. Движения нижней челюсти безболезненные. Посторонних звуков (щелчков и хруста) не было.
Диагностика выявила:
- скученность передних зубов обеих челюстей;
- укорочение нижнего зубного ряда в переднем отделе;
- обратное перекрытие верхних зубов нижними в переднем отделе;
- нижние моляры и клыки выдвинуты вперёд.
Диагноз
Гнатическая форма мезиальной окклюзии, обратная резцовая дизокклюзия (нижние и верхние резцы не могли плотно смыкаться). Скученность и тортоаномалии зубов (их ось изогнута или повёрнута).
Лечение
Мужчине назначили операцию, но перед этим он должен был пройти 10-месячную подготовку. С помощью гипсовых моделей и 3D-планирования наша команда воссоздала макет идеального прикуса. В соответствии с этой моделью началось ортодонтическое лечение с использованием брекет-систем. Они помогли сформировать необходимую форму зубных рядов.
Когда коррекция закончилась, пациенту сделали внутриротовые костные разрезы на обеих челюстях с последующей фиксацией костных фрагментов в правильном соотношении.
После операции начался период реабилитации, в ходе которой ему сняли брекет-системы и установили несъёмные ретейнеры. Период восстановления длился 2,5 месяца.
По началу у мужчины сохранялась сильная отёчность, поэтому ему было тяжело есть, но через 2 недели отёк значительно уменьшился и объём движений нижней челюсти достиг 30–40 % от максимально возможного, спустя месяц — 60–70 %.
Через 2 месяца после операции отёк полностью прошёл, рот открывался без ограничений. Смыкание зубов было плотным и равномерным, лицо приобрело правильные пропорции.
Заключение
Этот клинический случай описывает классическое лечение медиального прикуса с помощью операции. Подготовка зубных рядов в короткие сроки и тщательно спланированный хирургический этап позволили пациенту за год избавиться от проблем, которые беспокоили его всю жизнь.







