Авторы
Литературный редактор:
Елизавета Отмахова
Научный редактор:
Сергей Федосов
Шеф-редактор:
Маргарита Тихонова
Вступление
В онкологическое отделение обратился 63-летний мужчина, которому диагностировали опухоль головного мозга.
Жалобы
Пациент жаловался на головную боль, асимметрию лица слева и слабость в левой руке и ноге.
Чтобы снизить боль, принимал нестероидные противовоспалительные средства.
Анамнез
Впервые асимметрия лица появилась в конце октября 2021 года. Невролог назначил мужчине лечение, но со временем стало хуже. 27 ноября того же года пациент вызвал скорую с подозрением на инсульт.
30 ноября компьютерная томография показала опухоль в правой лобно-теменной области, рентгенография — опухоль левого лёгкого.
Мужчина курит более 30 лет. Операций ранее не делал.
По словам пациента, туберкулёза, вирусных гепатитов и венерических болезней не было, так же как и переливания компонентов крови. Аллергию на лекарства ранее не замечал.
В последние 3 месяца до консультации с инфекционными пациентами не общался.
Обследование
Индекс Карновского (физической активности онкобольных) — 70 баллов (обслуживает себя самостоятельно, но не может нормально заниматься привычными делами и активно работать).
По шкале ECOG — 2 балла (больше половины времени проводит активно, но иногда ему нужно прилечь, чтобы отдохнуть).
Температура — 36,6 °C, артериальное давление — 130/80 мм рт. ст., пульс — 65 уд. в мин., дыхание в лёгких везикулярное, частота дыхательных движений — 18 вдохов и выдохов в мин., хрипов нет. Тоны сердца ясные и ритмичные. Живот при прощупывании мягкий и безболезненный во всех отделах. Стул и моча в норме.
Пациент находился в ясном сознании, хорошо ориентировался во времени и пространстве. Зрачки 3 и 6 мм, реакция на свет живая, глаза отклоняются вправо или влево (горизонтальный нистагм), косоглазия не было. Центральный парез лицевого нерва слева. Рефлексы сухожилий и мышц справа слабее, чем слева.
При раздражении кожи левой подошвы рефлекторно разгибается большой палец (рефлекс Бабинского). Все остальные рефлексы в норме.
По результатам инструментальной диагностики:
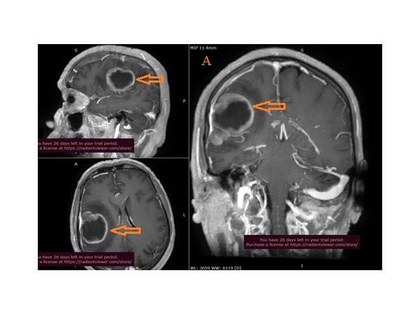
- МРТ головного мозга с контрастным усилением — объёмное образование в правых лобной и теменной долях, отдельно лежащий метастаз в правой теменной доле, срединные структуры смещены в сторону;
- остеосцинтиграфия — в пределах нормы;
- КТ органов грудной клетки — периферические, симметричные опухоли в верхних долях лёгких с обеих сторон, распад опухолей.
Диагноз
Периферический рак левого лёгкого, T4NxM1, 4 стадия. Уточнить поражение лимфатических узлов не удалось. Левосторонний пирамидный синдром (нарушение тонуса мышц рук и ног).
Лечение
Пациенту провели операцию, в ходе которой удалили опухоль в правой лобно-теменной области головного мозга с помощью микрохирургической техники, интраоперационного микроскопа и станции планирования Brainlab, которая позволяет удалить новообразование без последующих неврологических осложнений.
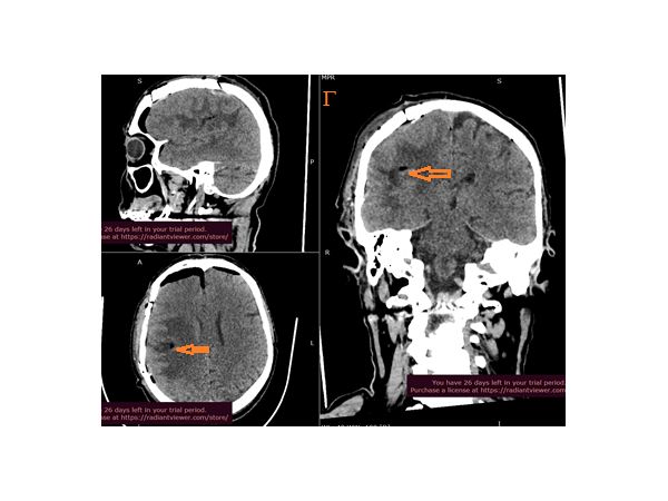
На следующий день после хирургического вмешательства КТ головного мозга показала участки пониженной плотности в зоне операции.
Гистологический анализ метастаз карциномы показал очаги некроза и непрямого деления клеток. Чтобы уточнить иммунофенотип опухолевых клеток, мужчине рекомендовали пройти иммуногистохимическое исследование.
После операции неврологические отклонения не выявили. Пациент мог самостоятельно передвигаться.
Заключение
Этот клинический случай показывает, что раннее обращение к врачу и вовремя назначенный комплекс инструментальных исследований может помочь поставить правильный диагноз и начать своевременное лечение. Использование современных технологий позволяет сохранить дееспособность пациента, не нарушив работу его нервной системы.





