Авторы
Литературный редактор:
Елизавета Отмахова
Научный редактор:
Сергей Федосов
Шеф-редактор:
Маргарита Тихонова
Вступление
В клинику «Лайк Смайл» обратился мужчина с высокой чувствительностью зубов.
Жалобы
Пациент рассказал, что во время еды верхние правые зубы сильно реагировали на холодное, сладкое и кислое. Дискомфортные ощущения обычно проходили через 10 секунд. Иногда чувствительность пропадала, но через время возвращалась.
Мужчину также беспокоила кровоточивость и болезненность десны во время домашней гигиены, а также постоянное застревание пищи между правыми верхними премоляром и моляром (зубами 1.5 и 1.6).
Особенно сильно десна болела при использовании зубной нити.
Анамнез
Впервые жалобы появились около 6 месяцев назад: они то возникали, то пропадали. Однако в последнее время болезненные ощущения начали усиливаться.
В последний раз пациент проходил осмотр у стоматолога несколько лет назад, а лечение — около 6 лет назад. Ранее ни разу не делал профессиональную гигиену полости рта.
В детстве проходил ортодонтическое лечение.
Обследование
Осмотр полости рта выявил:
- минерализованные поддесневые и наддесневые зубные отложения в области нижних резцов;
- большое количество мягкого налёта и пигментированный налёт на всех зубах;
- несостоятельную пломбу с нарушением краевого прилегания и рецидивом кариеса в зубе 1.6.
КТ верхней и нижней челюсти показала тень глубокой кариозной полости под несостоятельной пломбой в правом верхнем моляре.
Диагноз
К.02.1 Кариес дентина (глубокий).
Лечение
Прежде чем приступить к основному лечению, мужчине провели профессиональную гигиену полости рта: удалили поддесневые и наддесневые минерализованные зубные отложения, мягкий и пигментированный налёт, а после тщательно отполировали зубы.
Далее приступили к лечению зуба:
- удалили старую пломбу и кариозные ткани с сохранением нерва;
- наложили коффердам (латексную завесу для изоляции зуба от биологических жидкостей и создания идеально сухих условий);
- проверили, все ли мёртвые ткани были удалены;
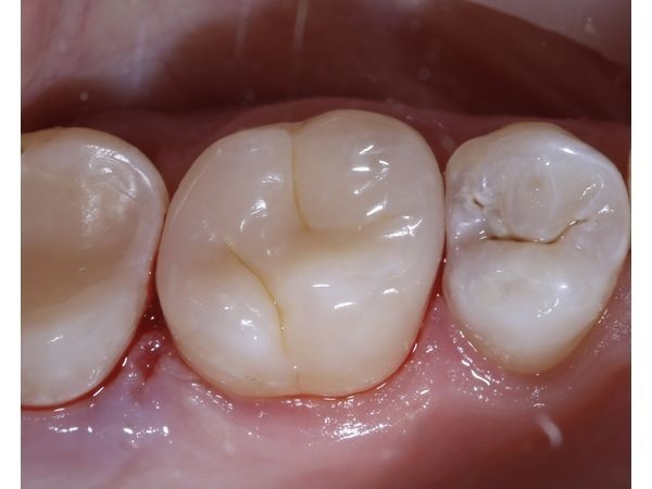
- восстановили анатомически правильную форму зуба с помощью японского пломбировочного материала, т. е. установили пломбу;
- отполировали зуб до зеркального блеска.
Всё лечение проходило строго под микроскопом с большим увеличением, чтобы не допустить случайного повреждения здоровых тканей зуба.
Через 2 недели после лечения все жалобы прошли. Кровоточивость и болезненность десны больше не беспокоили пациента.
На контрольном осмотре через полгода наблюдалась положительная динамика: все зубы были здоровы, симптомы не возвращались.
Заключение
Этот клинический случай показывает, как важно регулярно посещать стоматолога, ведь ранняя диагностика увеличивает шансы на благоприятный исход лечения, максимальное сохранение тканей зуба и нерва.
Также важно отметить, что перед лечением обязательно нужно провести профессиональную гигиену, чтобы микробы не смогли попасть в зону оперативного вмешательства, так как они могут ухудшить герметичность новой пломбы.





