Авторы
Литературный редактор:
Юлия Липовская
Научный редактор:
Сергей Федосов
Вступление
В стоматологическую клинику «Здоровая улыбка» в Митино обратилась пациентка 23 лет.
Жалобы
Девушка жаловалась на самопроизвольную длительную ноющую боль, отдающую в правый висок, и застревание пищи между двумя зубами на верхней челюсти справа.
Также пациентку беспокоила острая боль во время приёма холодной, кислой и сладкой пищи. После устранения раздражителя симптомы быстро проходили.
Болевые ощущения усиливались ночью, что не давало пациентке нормально спать. Обезболивающие улучшали состояние, но, когда их действие прекращалось, боль возвращалась.
Анамнез
Впервые самопроизвольная боль появилась за неделю до обращения. Со временем она стала беспокоить ночью. Спустя 7 дней обезболивающие перестали помогать и пациентка обратилась в клинику.
Хронические заболевания девушка отрицает, аллергии, с её слов, нет.
Обследование
При внешнем осмотре общее состояние пациентки неудовлетворительное, конфигурация лица не изменена. Кожа лица и губ нормальной окраски, собирается в складку. Регионарные лимфатические узлы не увеличены. Рот открывается нормально, движения нижней челюсти свободные. Температура тела в норме (36,6 °С). Насморка, заложенности носа, боли в горле и кашля нет.
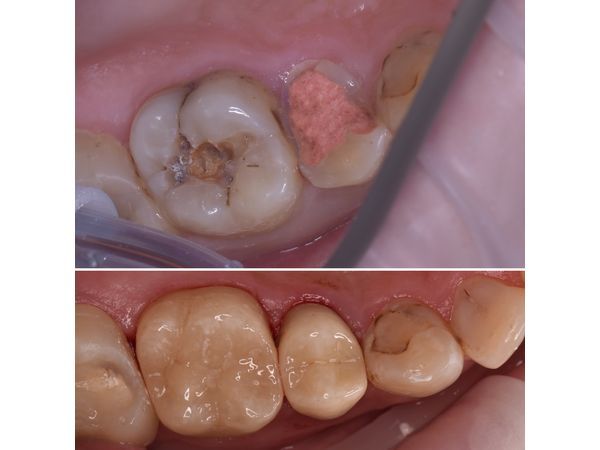
При осмотре верхних жевательных зубов справа на зубе 1.5 (премоляре) видна глубокая кариозная полость, заполненная размягчённым пигментированным дентином. Обследование дна кариозной полости стоматологическим зондом резко болезненно. Коронковая часть зуба разрушена на 70 %.
На зубе 1.6 (моляре) также имеется глубокая кариозная полость, заполненная размягчённым пигментированным дентином. Зондирование нерезко болезненно по границе эмали и дентина. Коронковая часть зуба разрушена на 50 %.
Слизистая оболочка полости рта бледно-розового цвета, умеренно увлажнена, без видимых патологических изменений. Поражений, характерных для COVID не обнаружено.
Зуб 1.5
При термотесте (воздействии холодом) пациентка почувствовала резкую боль, отдающую в висок (по ходу тройничного нерва). Затем боль стала ноющей и сохранялась длительное время.
При перкуссии (постукивании) боли не возникло.
На КТ видно, что глубокая кариозная полость сообщается с камерой, где находится пульпа (сосудисто-нервный пучок). Ткани вокруг верхушек корней зубов не поражены.
Зуб 1.6
Перкуссия зуба и пальпация (прощупывание) десны безболезненны. При воздействии холодом возникла кратковременная боль.
На КТ видно, что кариозная полость находится в пределах дентина, т. е. пульпа не затронута. Ткани вокруг верхушек корней зубов без видимых изменений.
Диагноз
Лечение
Лечение проводилось в несколько посещений.
Первое посещение
Составили план и пролечили зуб 1.5 под инфильтрационной анестезией и контролем микроскопа:
- наложили коффердам (латексный платок), чтобы изолировать зуб от остальной полости рта и защитить от слюны;
- препарировали зуб, т. е. удалили нежизнеспособные ткани;
- сформированную полость обработали медикаментами;
- раскрыли полость зуба;
- пролечили каналы;
- наложили временную пломбу.
Второе посещение
Под инфильтрационной анестезией и контролем микроскопа пролечили зуб 1.6:
- наложили коффердам;
- препарировали зуб;
- сформированную полость обработали медикаментами;
- подготовили зуб под протезирование керамической накладкой;
- изготовили временную накладку.
Третье посещение
Подготовили зуб 1.5 под протезирование:
- под контролем микроскопа частично распломбировали корневой канал для восстановления литой штифтовой вкладкой;
- сняли слепки;
- наложили временную пломбу.
Четвёртое посещение
- под контролем микроскопа зафиксировали литую вкладку на зуб 1.5;
- обточили зуб под коронку из диоксида циркония;
- изготовили временную коронку.
Пятое посещение
- сняли слепки с зубов 1.6 и 1.5 под керамическую накладку и циркониевую коронку;
- зафиксировали временные коронки.
Шестое посещение
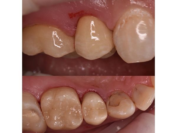
- Зафиксировали керамические реставрации (постоянные коронки).
Седьмое посещение
- провели профилактический осмотр.
После проведённого лечения у пациентки пропали все неприятные симптомы, она снова могла нормально жевать.
На контрольном осмотре через полгода девушку ничего не беспокоило. Изготовленные коронки были в хорошем состоянии. Пациентке рекомендовали сделать профессиональную гигиену полости рта.
Заключение
Этот клинический случай подтверждает, что лечить больные зубы гораздо сложнее, чем регулярно заниматься профилактикой. Из-за того что пациентка долго не обращалась к стоматологу, потребовалось 7 приёмов, чтобы вылечить кариес, пульпит и поставить коронки. Этого можно было избежать с помощью профессиональной и личной гигиены полости рта, а также профилактических осмотров у стоматолога раз в полгода.





