Авторы
Литературный редактор:
Елизавета Отмахова
Научный редактор:
Сергей Федосов
Шеф-редактор:
Маргарита Тихонова
Вступление
В феврале 2017 года в Российский научный центр «Восстановительная травматология и ортопедия» имени академика Г. А. Илизарова обратился 38-летний мужчина, которого беспокоила интенсивная боль в пояснично-крестцовом отделе позвоночника.
Жалобы
Пациент рассказал, что болевой синдром носил постоянный характер и усиливался в течение дня. Интенсивность болевых ощущений оценивал на 7–8 баллов из 10 по визуально-аналоговой шкале (ВАШ). Особенно выраженной боль становилась при наклонах вперёд, подъёме даже умеренных тяжестей (свыше 5–7 кг), резких поворотах туловища, а также при длительном пребывании в неподвижном положении, например, когда мужчина сидел за рабочим столом или ехал в автомобиле.
По словам пациента, на фоне физической нагрузки наблюдалось не только усиление боли, но и чувство напряжения в пояснице, боль становилась стреляющей и распространялась на заднюю поверхность бедра и голени. Особенно тяжело было в первые часы после сна из-за выраженной скованности движений, которая постепенно ослабевала после «расхаживания».
По вечерам, особенно если мужчина сильно уставал за день, нарастали парестезии в левой ноге: ощущение «ползания мурашек» и онемение в области наружной поверхности голени и тыла стопы.
Боль значительно ограничивала его физическую активность, мешала полноценному выполнению профессиональных обязанностей и повседневной деятельности, негативно отражалась на качестве сна и общем психоэмоциональном состоянии.
Пациенту становилось немного легче, когда он лежал на жёсткой поверхности, особенно если подтягивал ноги к животу. Нестероидные противовоспалительные препараты (НПВП — Ибупрофен, Мелоксикам) и ортопедический пояс давали только временный обезболивающий эффект. Результат от физиопроцедур был невыраженным.
Анамнез
Впервые боль возникла за полгода до обращения. Мужчина связывал это с переносом тяжестей, поэтому сначала пытался вылечиться самостоятельно: использовал медикаментозное лечение, физиотерапию и лечебную физкультуру (ЛФК). Но все эти методы давали лишь временный эффект.
Постепенно симптомы начали прогрессировать, боль стала отдавать в левую ягодицу, заднюю поверхность бедра и голени. Пациент также отметил снижение чувствительности в левой ноге и слабость при разгибании большого пальца стопы.
Мужчина работает инженером, ведёт умеренно активный образ жизни, значимых соматических заболеваний нет. Операций на позвоночнике не было.
У отца пациента в 50 лет диагностировали грыжу диска.
Обследование
При осмотре было заметно, что у мужчины нарушена осанка, он слегка наклонялся вправо, чтобы снизить болезненные ощущения. Объём движений в поясничном отделе был ограничен. Прощупывание спины вдоль позвоночника на уровне сегмента L4–L5 вызывало выраженную болезненность. Симптом Ласега слева положительный: когда мужчина поднимал выпрямленную ногу, у него появилась боль уже при подъёме на 40°.
Кроме того, у пациента наблюдалось снижение чувствительности по наружной поверхности левого бедра и голени. Сила разгибателя большого пальца стопы была снижена до 4 баллов (лёгкий парез).
Магнитно-резонансная томография (МРТ) поясничного отдела позвоночника выявила:
- большую парамедианно-латеральную грыжу диска L4–L5, т. е. она была расположена слева от центра и направлена вбок;
- сдавление (компрессия) левого корешка L5;
- признаки разрыва фиброзного кольца (наружной оболочки диска);
- выраженное поражение диска (IV стадия по классификации Pfirrmann).
Электронейромиография (ЭНМГ) подтвердила корешковую компрессию.
Показатели лабораторных исследований в пределах нормы.
Диагноз
Остеохондроз поясничного отдела позвоночника. Грыжа межпозвонкового диска L4–L5 слева с компрессией корешка L5. Радикулопатия. Секвестрация диска (пульпозное ядро отделилось от диска). Разрыв фиброзного кольца.
Лечение
Было принято решение о проведении операции под микроскопическим контролем:
- ввели мужчину в общий интубационный наркоз;
- удалили грыжу, что освободило корешок от сдавления;
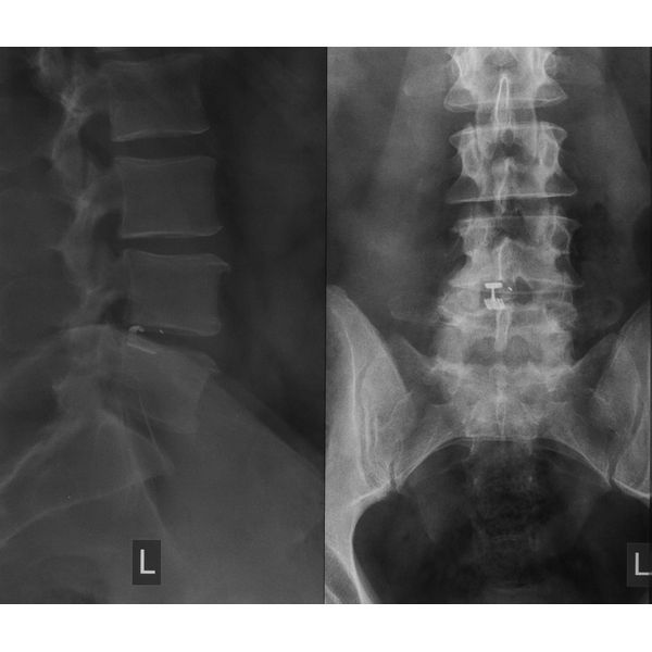
- установили анулярный замыкатель, который имитирует фиброзное кольцо, чтобы содержимое диска больше не выходило за его пределы, т. е. восстановили герметичность диска.
Послеоперационный период протекал без осложнений. Уже на вторые сутки после хирургического вмешательства интенсивность боли снизилась до 2 баллов, а через неделю болевой синдром полностью прошёл. Тогда пациента выписали из больницы и рекомендовали носить ортез и соблюдать режим ограничения физической нагрузки.
Спустя 3 месяца мужчина восстановил весь объём движений, все неприятные симптомы исчезли. Повторное МРТ показало стабильное положение импланта и отсутствие признаков рецидива.
Через 6 и 12 месяцев также наблюдался стойкий положительный результат. Пациент вернулся на работу, новых жалоб у него не было.
Заключение
Этот клинический случай показывает высокую эффективность и безопасность использования анулярного замыкателя при лечении грыж поясничных межпозвонковых дисков с разрывом фиброзного кольца. Применение протеза позволило не только устранить симптомы компрессии нервных структур, но и снизить риск рецидива грыжи, что подтверждено как клинически, так и по данным инструментальных исследований. Такая методика может быть рекомендована для широкого применения в практике реконструктивной нейроортопедии при наличии необходимых инструментов, правильном отборе пациентов и соблюдении техники вмешательства.


