Авторы
Литературный редактор:
Елизавета Отмахова
Научный редактор:
Сергей Федосов
Шеф-редактор:
Маргарита Тихонова
Вступление
В клинику обратился 40-летний мужчина с болями в шее.
Жалобы
Пациент отметил, что выраженные болезненные ощущения отдавали в правую руку до самых пальцев. В нижней части руки снизилась чувствительность, при разгибании кисть слабела.
Чтобы боль стихла, мужчине приходилось принимать неудобное положение. При обострениях использовал пластыри, мази и обезболивающие таблетки.
Обычно болезненный синдром нарастал к вечеру, но во время обострения утром просыпался уже с болью.
Анамнез
В целом шея беспокоит несколько лет. К врачам не обращался, так как обычно боль проходила в течение нескольких дней или недель. Обострения случались редко, но в последнее время участились: до 10 раз в год.
Последнее обострение началось за 3 недели до обращения после физической нагрузки. Сначала появились болезненные ощущения в шее, которые отдавали в правую руку, затем начала неметь кисть.
Пациент использовал обезболивающие, но результата почти не было. В последнюю неделю стал ощущать слабость в кисти.
Работает программистом около 20 лет, сидит за компьютером по 10 часов в день. Вредных привычек нет. В свободное время и в выходные спортом не занимается. Ведёт малоподвижный образ жизни.
Обследование
На приёме мужчина находился в ясном сознании, шёл на контакт, ориентировался во времени и пространстве. Глаза без патологий, нарушений речи и глотания не было.
Мышечная сила в правом трицепсе и разгибателях кисти — 4 балла (слегка снижена). Сухожильные рефлексы с трицепса правой руки снижены, слева живые. Рефлексы ног и брюшины в пределах нормы. Признаков поражения центрального двигательного нейрона не было: рефлексы в кистях и стопах не нарушены. При натяжении правой руки мужчина чувствовал боль. Кисть немела.
Признаков менингита не было. Координация в норме. В положении стоя со сдвинутыми вместе стопами, закрытыми глазами и вытянутыми прямо перед собой руками устойчив. Тазовые функции (мочеиспускание и дефекацию) контролировал. Походка нормальная.
Прощупывание нижней части шеи болезненно, повышен тонус трапециевидной и подзатылочных мышц, ременных мышц шеи и головы, а также мышц, поднимающих лопатку.
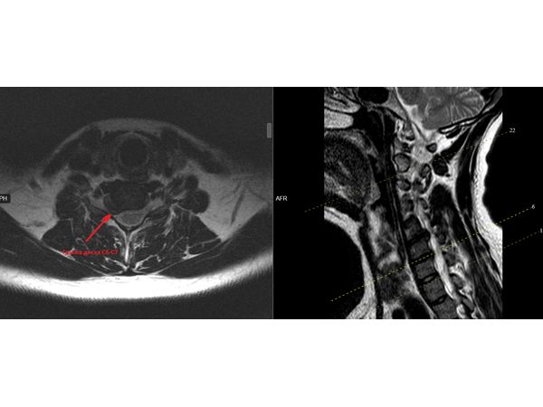
МРТ шейного отдела показал признаки остеохондроза и грыжу диска С5-С6 (6 мм), С6-С7 (4,5 мм).
Результаты общего и биохимического анализов крови в пределах нормы.
Диагноз
Дорсопатия шеи на фоне остеохондроза. Выраженный мышечно-тонический синдром. Обострение цервикалгии.
Вторичный корешковый синдром справа на фоне грыжи диска С5-С6, С6-С7 со снижением чувствительности и силы в правой руке.
Лечение
Для начала необходимо было снять острый болевой синдром и восстановить чувствительность и силу в правой руке, поэтому мужчине назначили:
- метаболическую, нейротропную и сосудистую терапию в течение 2 месяцев — восстановили нерв, его чувствительность и силу, сняли боль в зоне обострения грыжи и снизили грыже-радикулярный конфликт (воздействие на нервы и сосуды);
- нестероидные противовоспалительные препараты в течение 10 дней и миорелаксанты на протяжении месяца — сняли острую боль, расслабили напряжённые мышцы.
Пациент также проконсультировался с физиотерапевтом, который назначил ему по 10 процедур магнитотерапии и высокоинтенсивного лазера. Манипуляции проходили 3 раза в неделю. Через 3 недели курс завершился.
На фоне лечения чувствительность и сила в руке восстановились, но сохранялась умеренная боль в шее, которая немного отдавал в руку.
Мужчину проконсультировал врач лечебной физкультуры и назначил ему реабилитационный курс из 12 занятий по 3 раза в неделю. Реабилитация была направлена на создание мышечного баланса в шее, что позволяет улучшить осанку и равномерно распределить нагрузку на межпозвонковые диски. Это препятствует дальнейшему прогрессированию грыжи и помогает избежать операции.
Пациент также посетил 10 сеансов массажа шеи по 2 раза в неделю.
По окончании курса лечения чувствительность и сила в правой руке восстановились, боль полностью прошла.
Спустя полгода пациент повторно обратился в клинику, чтобы уточнить динамику его состояния. Для закрепления достигнутого раннее результата ему назначили 5 сеансов мануальной терапии и 10 занятий лечебной физкультуры.
Заключение
Обычно боль в шее — это хроническая патология. Часто она сопровождается грыжами. Как показывает клинический случай, своевременное обращение и адекватное лечение в таких ситуациях обычно помогает пациенту восстановиться.
Чтобы избавиться от боли, необходимо регулярно заниматься лечебной физкультурой, а для профилактики мышечных зажимов и суставных блоков могут назначить массаж или мануальную терапию.





