Авторы
Литературный редактор:
Юлия Липовская
Научный редактор:
Сергей Федосов
Вступление
23 января 2017 года в стоматологическую клинику обратилась девушка 27 лет.
Жалобы
Пациентка жаловалась на эстетический дефект (выступающие клыки), затруднённое пережёвывание пищи, травму слизистой из-за накусывания щеки и губ и боли в области височно-нижнечелюстного сустава при широком открывании рта.
Несколько лет назад дискомфорт в области височно-нижнечелюстного сустава и раздражение слизистой стали усиливаться. Девушка принимала обезболивающие препараты, но они помогали ненадолго.
Анамнез
В детстве пациентке рано удалили верхние молочные моляры (жевательные зубы) из-за невозможности качественно пролечить кариес.
У родителей, со слов девушки, имеется скученное положение зубов.
Обследование
При осмотре слизистая оболочка полости рта гиперемирована (есть покраснение), видны следы накусывания на слизистой щеки в области жевательных зубов. Гигиена полости рта удовлетворительная.
- Антропометрическое исследование головы. Включает изучение размеров и формы головы и лица, а также взаимосвязи параметров лицевого отдела черепа и зубоальвеолярных дуг.
- Ортопантомограмма (ОПТГ). Представляет собой панорамный снимок челюсти.
- Телерентгенограмма черепа (ТРГ) в боковой проекции. Это разновидность рентгена лицевой части головы. ТРГ позволяет получить снимок, максимально приближенный к реальным размерам.
- Магнитно-резонансная-томограмма височно-нижнечелюстного сустава (МРТ ВНЧС).
Также были сняты слепки и проведён анализ моделей.
Все показатели были в пределах нормы.
Диагноз
- Скелетный класс 1, т. е. патология находится в области фронтальных зубов.
- Мезиальный прикус.
- Дизокклюзия слева и справа (вертикальное разобщение верхнего и нижнего зубных рядов).
- Сужение обеих зубных дуг.
- Вестибулярный наклон клыков верхней челюсти (зубы расположены вне зубного ряда).
- Эндопозиция трёх резцов, т. е. их смещение или наклон кнутри от зубного ряда.
- Тесное положение зубов.
- Дисфункция височно-нижнечелюстного сустава слева.
- Диастема.
Лечение
Назначено аппаратурное ортодонтическое лечение с применением Эджуайз-техники (брекет-системы) на верхней и нижней челюсти. Ориентировочный срок лечения на основе диагностических данных и диагноза составлял 24-28 месяцев. Сначала брекеты были установлены на верхнюю челюсть.
Спустя 3 месяца клыки стали опускаться. Со стороны височно-нижнечелюстного сустава сохранялся небольшой дискомфорт, но он был не таким сильным, как раньше. Далее были установлены брекеты на нижнюю челюсть.
Спустя 8 месяцев была полностью устранена диастема, пациентка больше не прикусывала щёку, поэтому слизистая была блестящей и бледно-розовой, без изменений.
Через 10 месяцев ортодонтического лечения пациентка уже не жаловалась на боли в области височно-нижнечелюстного сустава. Было назначено ношение эластиков (ортодонтических резинок) по второму классу. Эластики помогают смещать зубы в нужном направлении, чтобы исправить соотношение челюстей.
Через 18 месяцев было исправлено положение зубов и форма зубной дуги, назначено ношение эластиков в жевательном отделе, чтобы добиться плотных контактов между антагонистами (зубами верхней и нижней челюсти, которые соприкасаются при накусывании).
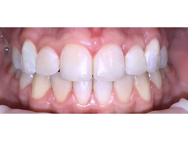
Через 21 месяц контакты между антагонистами восстановились (первый класс Энгля), была устранена скученность, жалобы со стороны височно-нижнечелюстного сустава отсутствовали.
Брекет-систему сняли и зафиксировали несъёмные ретейнеры, также были изготовлены съёмные ретейнеры на обе челюсти. Пациентке рекомендовано носить капы и провести реминерализирующую терапии. Следующий приём назначен через 3 месяца.
Заключение
В ходе лечения пациентка выполняла все рекомендации:
- носила эластики;
- соблюдала повышенную гигиену полости рта: использовала ирригатор и межзубный ёршик;
- соблюдала особую диету: мелкая пища, исключение горячего и холодного.
Благодаря этим факторам удалось добиться таких результатов без удаления постоянных зубов.



