Авторы
Литературный редактор:
Вера Васина
Научный редактор:
Сергей Федосов
Шеф-редактор:
Маргарита Тихонова
Вступление
В краснодарскую Краевую клиническую больницу № 1 им. профессора С. В. Очаповского обратился 37-летний мужчина.
Жалобы
Он жаловался на сильную головную боль, выпадение правых полей зрения, повышение температуры, слабость, одышку и ощущение сердцебиения.
Температура и головная боль уменьшались при приёме нестероидных противовоспалительных препаратов.
Анамнез
Сильная головная боль беспокоила нескольких дней.
Пациент длительное время внутривенно употреблял наркотики.
Обследование
Выявили астению — физическую и нервно-психическую слабость, которая сопровождалась постоянной повышенной утомляемостью, перепадами настроения, раздражительностью, расстройствами сна и другими нарушениями. Также наблюдались менингеальные симптомы — напряжённость затылочных мышц и другие признаки, характерные для поражения центральной нервной системы.
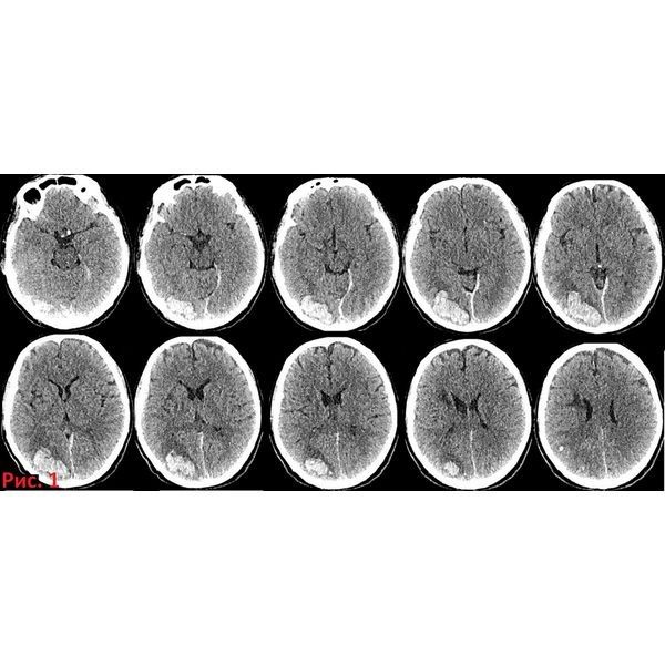
При проведении компьютерной томографии (КТ) головного мозга обнаружили подострую внутримозговую гематому правой затылочной области.
На КТ-ангиографии и прямой церебральной ангиографии выявили источник внутримозгового кровоизлияния — дистальную аневризму (ближе к дальней части сосуда) шпорной ветви правой задней мозговой артерии. Размер образования — до 3 мм.
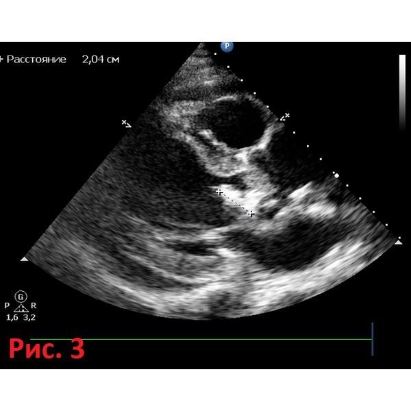
Эхокардиография показала:
- недостаточность аортального и митрального клапанов;
- наличие подвижных гиперэхогенных образований створок клапанов (светлых участков на снимке);
- дилатацию (расширение) левых отделов сердца.
Также у мужчины был пансистолический шум в сердце (признак митральной недостаточности).
При посеве крови выявили бактерию Streptococcus viridans.
Диагноз
Инфекционный эндокардит аортального клапана. Острая внутримозговая гематома правой затылочной доли справа. Дистальная аневризма задненижней височной ветви правой задней мозговой артерии.
Лечение
Назначили антибиотикотерапию. Хотя была показана операция на сердце, введение гепарина и послеоперационная антикоагулянтная терапия могли усилить повреждение головного мозга. Так как внутримозговая гематома не вызывала масс-эффекта (т. е. не давила на окружающие структуры мозга), а нейрохирургическое лечение могло привести к нарушению кровообращения во время операции, решение было принято в пользу эндоваскулярного лечения.
Под общим наркозом в правую позвоночную артерию ввели катетер. При попытке селективного заведения микрокатетера Excelsior SL-10 (Stryker) при помощи микропроводника PT2 0,014” (Boston Scientific) произошёл разрыв правой задней мозговой артерии на уровне сегмента P3. Вероятно, это было связано с выраженной извитостью P2–3 сегментов и возможным инфекционным артериитом — воспалением, вызывающим изменение стенок артерий. Без промедления выполнили окклюзию (блокировку) задней мозговой артерии на уровне P2 сегмента при помощи микроспиралей Target (Stryker).
На КТ головного мозга после операции выявили субарахноидальное кровоизлияние на фоне множественных артефактов от имплантированных спиралей и контрастного вещества в субарахноидальном пространстве и цистернах головного мозга.
В течение суток после операции на фоне субарахноидального кровоизлияния появилась выраженная неврологическая симптоматика, а также развилась окклюзионная гидроцефалия и ишемия (недостаточное кровоснабжение) в правой затылочной области. Окклюзионная гидроцефалия — это состояние, при котором нарушается отток ликвора из желудочков головного мозга, что приводит к накоплению этой жидкости в желудочковой системе и повышению внутричерепного давления.
Нейрохирурги выполнили эндоскопическую тривентрикулостомию (создали отверстие в желудочке мозга, чтобы улучшить отток ликвора) и закрытое наружное дренирование желудочковой системы по Арендту справа (вывели жидкость из желудочков через систему трубок в наружный резервуар).
В течение последующих двух недель динамика была положительная. На 14-й день после эндоваскулярного этапа КТ показала, что геморрагическое и ишемическое повреждение головного мозга уменьшилось.
Через 3 недели состояние пациента позволило кардиохирургам установить механические протезы аортального и митрального клапанов, а также провести санацию полостей сердца.
Лечение антибиотиками рекомендовали продолжить в течение 6 недель.
На последующей эхокардиограмме не было никаких патологических изменений. Мужчину выписали из стационара без неврологического дефицита через 3 недели после операции на сердце.
Заключение
Если при инфекционном эндокардите и сопутствующих аневризмах мозга с неврологическими проявлениями выключить аневризмы из кровотока до операции на сердце, то выживаемость пациентов увеличится. Во многих случаях эндоваскулярная эмболизация аневризмы будет операцией, которую проводят в первую очередь.





