Авторы
Литературный редактор:
Елизавета Отмахова
Научный редактор:
Сергей Федосов
Шеф-редактор:
Маргарита Тихонова
Вступление
В 2017 году в московскую клинику «Здоровое поколение Дента» обратилась 38-летняя женщина, у которой не было левого нижнего моляра (зуба 3.6).
Жалобы
Пациентка рассказала, что из-за отсутствия зуба ей было тяжело пережёвывать пищу. Иногда её беспокоил дискомфорт в челюсти справа.
Женщина отметила, что она страдает от выраженной стоматофобии — боязни стоматологов и стоматологического лечения.
Анамнез
Зуб удалили 5 лет назад. Удаление и последующее заживление проходило сложно и длительно. Тяжесть перенесённых эмоциональных переживаний явилась серьёзным препятствием для последующей реабилитации, пациентка долгое время не решалась обратиться к врачу за помощью. Впоследствии, преодолев страх перед стоматологическим кабинетом, решила проконсультироваться с хирургом-имплантологом. Он сообщил, что ей необходима костная пластика. Такая формулировка сильно напугала женщину, разбудив старые воспоминания.
Накануне визита дискомфорт в челюсти усилился, пациентка больше не могла его игнорировать, поэтому обратилась к врачу.
Вредных привычек у женщины нет.
Обследование
При осмотре отмечался дефицит объёма твёрдых тканей альвеолы (лунки) и прикреплённой слизистой в области отсутствующего зуба и предстоящей имплантации.
КЛКТ подтвердила недостаток костной ткани со стороны языка. Фактическая ширина от 2 до 5 мм, форма гребя скошенная.
Диагноз
Частичная вторичная адентия нижней челюсти.
Лечение
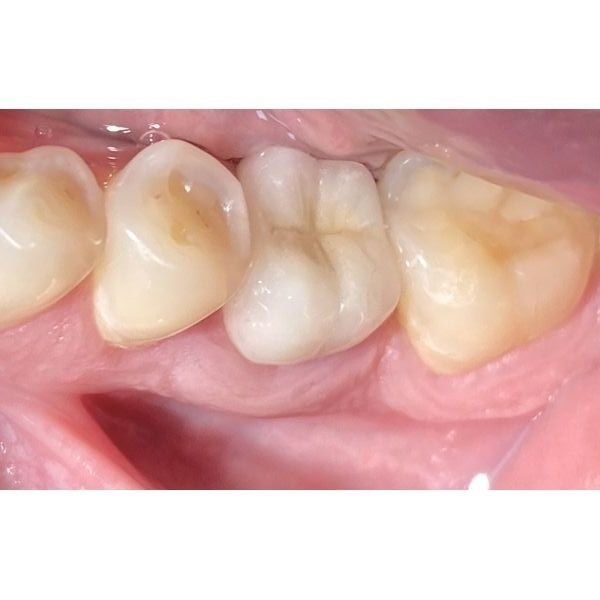
Под инфильтрационной анестезией на месте зуба 3.6 поставили имплант Astra tech profile TX (Швеция) размером 4,5 × 9 мм. Непосредственно на скелетированный гребень уложили соединительнотканный трансплантат с бугра верхней челюсти и установили формирователь десны, после чего наложили фиксирующие швы.
Заживление прошло без особенностей, швы удалили через неделю. Спустя 3 месяца женщине провели протезирование с помощью индивидуального абатмента (надкостного компонента, выполняющего функцию культи зуба) и коронки из диоксида циркония.
Также изготовили и зафиксировали окклюзионную вкладку на зуб 3.7. На момент протезирования объём и контур десны был достаточным.
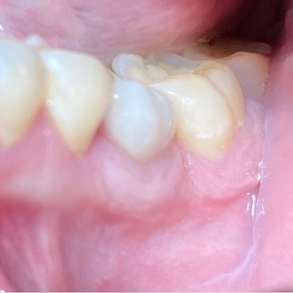
На плановых осмотрах спустя 2, 5 и 7 лет после имплантации объём мягких тканей был в норме, жалоб на застревание пищи, кровоточивость десны и другие неприятные ощущения не было.
Заключение
Дефицит объёма костной ткани, возникающий после удаления нижних моляров, — распространённая проблема в случае имплантации в этой зоне. Основной способ её решения — операция: направленная костная регенерация (НКР), или простыми словами «костная пластика».
Но страх перед предстоящим хирургическим вмешательством является непреодолимым препятствием для большинства людей, поэтому проблема альтернативных решений при имплантации является актуальной до сих пор.
Есть несколько способов избежать НКР. Одна из них — это имплант, повторяющий профиль дефекта (каковым является имплант Astra tech profile) и пластика прикреплённой десны свободным соединительнотканным трансплантатом. В совокупности дизайн импланта, индивидуальный абатмент и аккуратная работа с мягкими тканями даёт положительный долгосрочный результат, при котором зубной ряд выполняет все свои функции и выглядит эстетично.








