Определение болезни. Причины заболевания
Веснушки (Freckles) — это множественные, округлые пигментные пятна светло-жёлтого или тёмно-коричневого цвета, которые чаще всего расположены на лице. Их относят к гиперпигментациям, но они не относятся к патологическим процессам и не являются заболеванием.
Другое название веснушек — эфелиды.
Веснушки чаще встречаются у людей с I и II фототипами по шкале Фитцпатрика:
- Для I типа характерна очень светлая кожа, рыжие или светло-русые волосы, светло-голубые или зелёные глаза и высокий риск повреждения кожи ультрафиолетом.
- Для II типа — светлая кожа, светлые или русые волосы, голубые, зелёные или светло-карие глаза и значительный риск повреждения кожи ультрафиолетом, но меньший, чем у I фототипа.
Шкала Фитцпатрика
В основном веснушки впервые появляются в детстве — с 3–5 лет [16]. Их количество напрямую зависит от гормонального фона: в период полового созревания веснушек становится больше, а с годами — меньше. Также их появлению свойственна сезонность: весной и летом, когда солнце более активно, число эфелид увеличивается, а зимой уменьшается [1].
Чаще всего веснушки встречаются у представителей европейской популяций [1], но могут возникать и у азиатов [16].
Причины и факторы риска появления веснушек
Причина развития веснушек — генетические нарушения, из-за которых под действием ультрафиолета усиливается выработка меланина (пигмента, придающего цвет коже, волосам и глазам) [1]. При этом количество меланоцитов (клеток, которые производят меланин) не увеличивается, они просто становятся более активны.
В основном предрасположенность к появлению веснушек передаётся по наследству, но не всегда [16].
По данным современных авторов, факторами чрезмерного образования пигмента в 52–63 % случаев является избыточное ультрафиолетовое излучение (УФИ), в 25–35 % случаев — гормональные нарушения, и в 18–25 % случаях — беременность [15].
Симптомы веснушек
Веснушки представляют собой мелкие пятнышки, величиной от одного до нескольких миллиметров. Они не выступают над кожей и имеют различные оттенки: бледно-жёлтые, светло-, тёмно- и жёлто-коричневые. Форма может быть круглой или овальной, контуры бывают неправильными. Располагаются неравномерно, зачастую сливаются [2].
В основном они появляются на открытых солнцу участках тела таких, как кожа щёк, носа, висков, лба, предплечий, кистей рук. Иногда высыпаний много и они располагаются по всему телу, включая и закрытые его части.
![Веснушки [16] Веснушки [16]](/media/bolezny/vesnushki/vesnushki-16_s_rJSDFjP.jpeg)
Веснушки [16]
Кожа, где есть веснушки, не изменена, на ней нет воспаления и шелушения, так как это наследственный признак, который обусловлен наличием определённых генов [3][4].
Патогенез веснушек
Механизм развития веснушек включает в себя взаимодействие генетических и фотохимических факторов, которые приводят к гиперпигментации (потемнению) кожи.
Строение кожи
Кожа состоит из трёх слоёв: эпидермиса, дермы и подкожно-жировой клетчатки (ПЖК). В свою очередь, эпидермис состоит из пяти слоёв. Самый поверхностный — это роговой слой. Ниже расположены блестящий, зернистый, шиповатый и базальный слои.
Структура эпидермиса
Основные клетки эпидермиса — кератиноциты, но ближе к базальной мембране и под слоем базальных кератиноцитов залегают меланоциты. Это крупные отростчатые клетки, отвечающие за выработку меланина.
Свойства и действие меланина
Меланин — это природный пигмент, который определяет цвет кожи, волос и глаз, а также защищает клетки кожи от вредного ультрафиолетового излучения (УФИ). Каждый меланоцит вырабатывает ограниченное количество меланина в соседние клетки.
Цвет кожи и число веснушек зависит не от количества меланоцитов (оно примерно одинаково у людей всех рас), а от количества меланина в одной клетке. У людей с веснушками выработка меланина и его накопление в кератиноцитах увеличивается даже при незначительном воздействии УФИ. Кроме того, у людей с веснушками особое строение меланосом, в которых образуется и хранится пигмент: они более вытянутые и палочковидные
Меланоцит, меланосомы и меланин
Что предрасполагает к появлению веснушек
Пигмент образуется из аминокислоты тирозин под влиянием фермента тирозиназы, который очень чувствителен к УФИ: под воздействием ультрафиолета фермент становится более активным, что провоцирует превращение тирозина в меланин.
Этот фермент кодируется геном TYR, активность которого передаётся по наследству [7]. Некоторые неопасные изменения (мутации) в TYR приводят к образованию фермента, который чрезмерно усиливает выработку меланина, что, в свою очередь, проявляется в виде веснушек.
На появление веснушек также могут влиять мутации гена меланокортинового рецептора 1-го типа — МС1R. Он находится на 16-й хромосоме и включает в себя 951 пару нуклеотидов.
Ген MC1R кодирует рецепторный белок для меланостимулирующего гормона (MSH) и является регулятором пигментации кожи, в частности веснушек. Мутация этого гена отвечает за выработку рыжего и красного пигмента кожи (эумеланина) и волос, а также за появление веснушек. Почти всегда мутация передаётся по наследству.
Склонность к ожогам и появлению эфелид под воздействием солнечных лучей обусловлена генетически, и поэтому у людей с веснушками при воздействии УФИ их появляется больше, а загар не ложится ровно.
В итоге воздействие этих генетических и биохимических факторов приводит к гиперпигментации кожи в ответ на УФИ и образованию веснушек
Классификация и стадии развития веснушек
Веснушки не разделяют на отдельные виды, но они являются частью классификации гиперпигментаций, в которую также входят:
- Кофейные пятна (пятна цвета кофе с молоком) — они обычно появляются в раннем детстве, увеличиваются по мере роста ребёнка и тяжело поддаются лечению. Иногда кофейные пятна связаны с наследственными заболеваниями. Пигментация у них равномерная.
- Лентиго — бывает простым и солнечным. Второй тип, как и веснушки, возникает под воздействием ультрафиолета, с возрастом количество пятен увеличивается.
- Мелазма — чаще всего возникает на лице, но может быть и на сгибе рук [8]. Связана не только с ультрафиолетом, но и с гормональными изменениями и приёмом лекарств (в том числе гормонов).
- Поствоспалительная и посттравматическая гиперпигментация — возникает из-за воспалительных заболеваний кожи или её повреждений, например в ходе лазерной терапии, дермабразии, криотерапии и пилингов [9].
- Лекарственная гиперпигментация — появляется при лечении медикаментами и не связана с воздействием ультрафиолета, часто возникает после химиотерапии злокачественных опухолей Блеомицином, реже — Циклофосфамидом или 5-фторурацилом.
- Дерматит Берлока — это токсическая воспалительная реакция кожи, которая проявляется в месте нанесения парфюма, если этот участок в дальнейшем попал под солнечные лучи. Проявляется в виде бурых пятен.
- Невусы — родимые пятна, чаще всего их появление связывают со сбоями в гормональной системе, избыточным воздействием УФИ на кожу, реже — с наследственностью.
- Солнечный (актинический) эластоз — это накопление патологически изменённого эластина в дерме, которое возникает, если человек долго находится под открытыми солнечными лучами. Пигментные пятна в этом случае распространяются по ушным раковинам, лицу и тыльной стороне рук.
- Хлоазма — симметричные пятна жёлто-коричневого цвета, чаще всего вызваны гормональным дисбалансом, но могут говорить о нарушении в работе внутренних органов.
- Себорейные кератомы — доброкачественные образования от светло-коричневого до тёмно-коричневого цвета, которые появляются на коже у пожилых людей из-за разрастания эпидермиса с выраженным ороговением. Часто напоминают веснушки больших размеров.
- Витилиго (лейкодермы) — это белые пятна на коже, которые возникают из-за недостатка меланина. Обычно они появляются на лице и руках и могут быть вызваны генетическими факторами или воздействием солнечных лучей.
Веснушки могут быть похожи на поствоспалительную гиперпигментацию, себорейные кератомы и другие состояния. В сомнительных случаях следует всегда обращаться к дерматологу, чтобы он оценил состояние кожи, определил тип гиперпигментации и подобрал правильную тактику лечения при необходимости.
Осложнения веснушек
Эфелиды — это не заболевание, а наследственный признак, который не вызывает осложнений. Однако некоторые люди считают веснушки эстетическим недостатком, могут испытывать дискомфорт или неудовлетворённость своим внешним видом из-за них. Это может повлиять на самооценку и психологическое благополучие.
При этом наличие веснушек указывает на некоторые особенности кожи, которые нужно иметь в виду. Чаще веснушки появляются у людей с I и II фототипами по шкале, которую в 1975 году разработал Томас Фитцпатрик (Thomas Fitzpatrick) из Гарвардской медицинской школы (США). Она классифицирует цвет кожи человека и охватывает диапазон оттенков от очень светлого (I фототип) до очень тёмного (IV фототип) [14]. Шкала помогает не только определить фототип, но и оценить неблагоприятное воздействие УФИ на кожу человека и вероятность ожога: чем меньше фототип, тем выше риск обгорания.
У людей с веснушками кожа, как правило, светлая и сильнее подвержена негативному воздействию УФИ: если долго находиться на солнце, на светлой коже быстрее появляются покраснения и ожоги.
Так как светлая кожа сильнее подвержена солнечным ожогам, она более склонна к фотостарению. Также наличие веснушек означает природную склонность к перерождению и гиперпигментации кожи, что может привести к формированию возрастных пигментных пятен — солнечных лентиго.
Кроме того, такая кожа более склонна к развитию злокачественных образований, таких как меланома, поэтому при появлении странных родинок или пятен на коже желательно не откладывать визит к врачу.
Диагностика веснушек
По поводу гиперпигментации кожи следует обратиться к врачу-дерматологу. Эфелиды обычно легко диагностировать, так как у них характерный вид, локализация, они появляются в детстве и часто встречаются у членов одной семьи. У родителей и детей при этом обычно характерный цвет волос и кожи (светлые или рыжие волосы и светлая кожа) и веснушки расположены на одних и тех же участках [1].
Но в некоторых случаях нужно исключить другие виды пигментаций, в этом случае врач проведёт обследование.
Сначала соберёт анамнез (историю) жизни и болезни. Для этого может спросить:
- в какое время года гиперпигментация сильнее;
- есть ли в области гиперпигментации зуд, покраснение, шелушение и другие проявления;
- есть ли веснушки у близких родственников;
- проводилось ли ранее обследование дерматоскопом.
Затем проведёт осмотр под лампой Вуда. Этот способ позволяет определить глубину залегания и однородность меланина. Веснушки под лампой Вуда становятся более тёмными, так как пигмент залегает в эпидермисе. Если же меланин откладывается в дерме, цвет пятна не изменится.
Осмотра под лампой Вуда, как правило, достаточно, чтобы поставить диагноз «эфелиды», но если нужно более сфокусировано увидеть какие-либо патологические изменения, то врач может провести дерматоскопию.
Она проводится с помощью дерматоскопа — неинвазивного (нетравматичного) инструмента, который позволяет рассмотреть кожу под 10–20-кратным увеличением.
Дерматоскопия
Возможно применение и некоторых новых методов диагностики, например электронной дерматоскопии и анализаторов кожи.
Электронная дерматоскопия отличается от обычной тем, что позволяет фотографировать, записывать и сохранять файл для более тщательного изучения и обработки данных через компьютер. Кроме того, такой дерматоскоп подключается к программе, которая оценивает изменения и выводит по цветовой шкале уровень опасности (жёлтый, красный и белый), а также автоматически ставит предварительный диагноз.
Дифференциальная диагностика
Веснушки врач будет отличать от других похожих состояний: симптома Кроува, вторичной гиперпигментации кожи (а именно крапчатой пигментации), лентиго, поствоспалительной гиперпигментации и себорейных кератом.
1. Симптом Кроува (аксиллярные веснушки)
Это пигментные высыпания по типу веснушек: у них такой же цвет, размер, возраст появления и гистологические особенности. Однако есть и различия, о которых врач может узнать при сборе анамнеза и осмотре:
- аксиллярные веснушки находятся в подмышечных областях или паховых складках;
- не связаны с сезонностью;
- не меняют свой цвет при воздействии ультрафиолета;
- выявляются у пациентов с нейрофиброматозом 1-го типа.
![Симптом Кроува (аксиллярные веснушки) [22] Симптом Кроува (аксиллярные веснушки) [22]](/media/bolezny/vesnushki/simptom-krouva-aksillyarnye-vesnushki-22_s.jpeg)
Симптом Кроува (аксиллярные веснушки) [22]
2. Вторичная гиперпигментация кожи (ВПГ)
Появление высыпаний по типу веснушек после 30 лет может быть проявлением крапчатой пигментации — маркером фотостарения кожи. Такая пигментация, как правило, появляется в областях, подверженных излишней инсоляции, ведь старение кожи — это не только запрограммированный процесс дистрофических изменений в клетках, но и результат влияния внешней среды, которое ускоряет процессы увядания.
Отличить крапчатую пигментацию от веснушек помогут данные анамнеза и осмотра. На неё будет указывать:
- время появления пигментации — после 30 лет;
- признаки фотостарения: землисто-жёлтый оттенок кожи, потеря эластина и, как следствие, тургора (упругости) кожи, бугристость, неровность;
- частое пребывание на солнце.
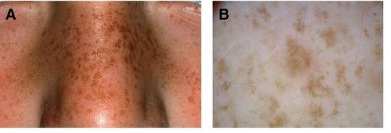
3. Лентиго
При дифференциальной диагностике лентиго на помощь приходит гистологическое исследование — изучение образца тканей под микроскопом [1]. Врач обратит внимание на такие различия:
- В веснушках будет повышено количество меланина в кератиноцитах, в особенности базальных, но количество меланоцитов будет в норме [5].
- Патогистология лентиго отличается повышенным числом меланоцитов в базальном слое, наличием удлинённых гребешков эпидермиса с повышенным количеством меланина в меланоцитах и кератиноцитах базального слоя. В сетчатом слое дермы при этом обнаруживаются меланофаги — клетки, которые поглотили меланин.
Также отличительной чертой лентиго будет:
- увеличение количества пятен с возрастом, в то время как число веснушек с возрастом уменьшается;
- более чёткие очертания пятен;
- при юношеском лентиго — более светлые элементы на коже и слизистых оболочках;
- при старческом — пятно окрашено в более тёмный цвет и связано с пребыванием на солнце (образуются из-за замедленного синтеза меланина).
![Солнечное лентиго [21] Солнечное лентиго [21]](/media/bolezny/vesnushki/solnechnoe-lentigo-21_s.jpeg)
Солнечное лентиго [21]
4. Посттравматическая или поствоспалительная гиперпигментация
От веснушек отличается тем, что появляется после повреждений или воспалительного процесса на коже, например после акне или солнечного ожога. Такая гиперпигментация более тёмная, на коже может сохраняться в течение нескольких недель, месяцев или лет.
5. Себорейные кератомы
Эти образования появляются у пожилых людей. Они представляют собой опухоли, которые образуются в эпидермисе. В отличие от веснушек, которые находятся на одном уровне с кожей, они слегка приподняты и могут шелушиться [20].
![Себорейные кератомы [20] Себорейные кератомы [20]](/media/bolezny/vesnushki/seboryaynye-keratomy-20_s.jpeg)
Себорейные кератомы [20]
Лечение веснушек
У веснушек благоприятное течение — они не приносят никакого вреда, поэтому не требуют лечения, но если пациент хочет осветлить пигмент, врач может предложить современные методы в косметологии. При этом важно понимать, что веснушки — это генетически обусловленное состояние кожи, поэтому осветлить их навсегда и полностью избавиться от пигмента невозможно.
При осветлении веснушек нужен комплексный подход, который включает: местное лечение с применением кремов, пилинги, криотерапию, лазерную и инъекционную терапию.
Все мероприятия и процедуры рекомендуется проводить зимой. Во время беременности и лактации, а также при наличии аллергических реакций применение лечебных кремов, пилингов и лазерной терапии строго запрещено.
Местное лечение отбеливающими кремами
Они позволяют добиться некоторого осветления. Доступны многочисленные средства, которые различаются по составу и силе воздействия. Рассмотрим основные действующие вещества.
1. Гидрохинон (2–4 %)
Кремы с гидрохиноном используются для лечения гиперпигментаций уже более 50 лет. Считается, что гидрохинон подавляет тирозиназу и таким образом уменьшает образование меланина. Это также приводит к разрушению меланосом и меланоцитов, благодаря чему этих клеток становится меньше [7][8]. Но современные авторы утверждают, что длительное использование гидрохинона может токсически действовать на другие клетки кожи [18].
Для достижения эффекта обычно нужно использовать крем несколько месяцев, сколько именно его наносить и как часто, может определить только врач. Побочным эффектом может быть аллергическая реакция в виде шелушения, зуда, покраснения в местах применения. Возникновение эритемы (покраснения) может привести к медикаментозной гиперпигментации, поэтому при её появлении следует отменить лечение.
2. Ретиноиды
Их добавляют для отшелушивания верхнего слоя кожи в такие продукты, как Solage (2 % меквинол и 0,01 % третиноин) и Triluma (0,01 % флуоцинолона ацетонид, 4 % гидрохинон и 0,05 % третиноин). Продолжительность применения Triluma должна быть ограничена несколькими месяцами, так как при длительном применении кортикостероидов возможны побочные эффекты.
Ретиноиды очень хорошо сочетаются с другими агентами, в том числе гидрохиноном, молочной и аскорбиновой кислотами.
3. Азелаиновая кислота (20 %)
Средства с этой кислотой помогают слегка осветлить и выровнять кожу. Это связано с тем, что азелаиновая кислота подавляет рост и активность меланоцитов, вызывая их гибель. Она действует как слабый, обратимый, конкурентный ингибитор тирозиназы, т. е. замедляет процесс, который приводит к образованию пигмента в коже.
Другой возможный механизм действия азелаиновой кислоты связан с тем, что она снижает образование свободных радикалов, которые могут повреждать клетки и тем самым способствовать преждевременному старению. Свободные радикалы образуются под влиянием ультрафиолета, загрязнения окружающей среды, курения, неправильного питания и других факторов.
В целом азелаиновая кислота хорошо переносится пациентами [9]. Лечение проводится курсом, его рекомендуется проходить зимой.
4. Койевая кислота (1–2,5 %)
Является продуктом метаболизма грибов Aspergillus и Penicillium. Она также способна подавлять выработку тирозиназы [9]. В чистом виде используется редко, как правило, её применяют в комбинации с другими действующими веществами.
Средства с койевой кислотой также обычно применяется зимой, но уже выпущены кремы для всесезонного применения с дополнительным SPF. Курс лечения назначается индивидуально и, как правило, проводится 1–2 раза в год.
5. Ниацинамид
Может уменьшить пигментацию за счёт того, что предотвращает передачу меланина из меланоцитов в кератиноциты. Также используется в комплексе с другими препаратами. Применяется не менее 4-х недель.
6. Транексамовая кислота
Это синтетическое производное аминокислоты лизина. Она стабилизирует стенки сосудов и осветляет кожу. Осветляющий эффект возникает за счёт того, что кислота подавляет выработку пептида эндотелина-1, что снижает образование меланина и пролиферацию (размножение) меланоцитов. Считается более эффективной, чем азелаиновая и койевая кислоты [9].
7. Корень солодки
Это растительный компонент многих кремов, который безопасно подавляет тирозиназу за счёт глабридина. Это вещество предотвращает образование меланина, не влияя на синтез ДНК и РНК. Корень солодки также содержит флавоноиды: ликвиритин и изоликвиритин. Они осветляют пигмент и выравнивают тон за счёт снижения выработки тирозиназы [9]. Препарат действует мягко, но оказывает эффект уже с первых дней применения, однако при отмене пигмент возвращается, поэтому курс лечения может быть длительным (6–9 месяцев).
8. Арбутин и дезоксиарбутин
Арбутин — это естественное производное гидрохинона, полученное из толокнянки обыкновенной. А дезоксиарбутин является производным арбутина. В коже арбутин под влиянием фермента арбутазы распадается на глюкозу, гидрохинон и воду.
Применять осветляющие кремы можно только после консультации в врачом-дерматологом или косметологом.
Химические пилинги
Это незаменимые помощники в практике врача-косметолога. Их тоже рекомендуется использовать зимой. При этом используются поверхностные и/или срединные пилинги, так как глубокие агрессивно воздействуют на кожу и могут привести к дополнительной гиперпигментации.
Варианты пилинга:
- С АНА-кислотами. Такие пилинги считаются препаратами выбора, т. е. наиболее подходящими. При комплексном подходе они слегка осветляют и, как правило, могут быть добавлены в различные косметические средства.
- С гликолевой кислотой (20–50 %). Курс начинают с растворов низкой концентрации, на последующих процедурах её постепенно увеличивают, если пациент хорошо переносит лечение. В некоторых случаях концентрацию могут увеличить до 70 %. Осветление наблюдается после 4–6 процедур.
- Пилинг Джесснера (резорцин + молочная кислота + салициловая кислота). Это срединный пилинг, считается эффективным в борьбе с гиперпигментациями, но его можно использовать только при фототипах lll–V. Проводится при строгой защите от солнца, т. е. с использованием средств с SPF. Перед процедурой проводится проба на ограниченном участке, чтобы избежать аллергической реакции. Можно использовать комбинацию раствора Джесснера и трихлоруксусной кислоты (ТХУ). Раствор Джесснера отшелушивает кожу, что позволяет ТХУ проникать глубже [8].
- Многокомпонентные поверхностные пилинги. Они стали набирать особую популярность, в их состав входит триада компонентов:
- трихлоруксусная кислота (33 %) — оказывает антибактериальное и противовоспалительное действие, а также стимулирует выработку организмом собственного коллагена и эластина;
- перекись водорода (3 %) — обладает противовоспалительными свойствами и помогает кислотам проникнуть в более глубокие слои кожи;
- койевая кислота — подавляет тирозиназу.
- Масляные и липосомальные пилинги. Они также эффективны в составе комплексной терапии, применяются при фотостарении I и II стадии.
Дома самостоятельно пациент может проводить только поверхностные пилинги и только по рекомендации доктора.
Криотерапия
Осветлить веснушки можно с помощью криотерапии в составе комплексной и курсовой терапии. Она подразумевает воздействие жидким азотом низких температур (от -50 до -170 °C). Такое воздействие может быть локальным или в специальной криосауне.
Лазерная терапия
При гиперпигментации эффективен двухчастотный Nd:YAG лазер (неодимовый) с длиной волны 532 нм, александритовый лазер (755 нм) с изменением частоты и рубиновый лазер (695 нм) [8][10].
В одном исследовании для осветления эфелид у 20 пациентов с IV типом кожи применяли двухчастотный Nd:YAG лазер (532 нм). У 80 % пациентов было отмечено улучшение более чем на 50 %. Благодаря лечению неодимовым лазером наблюдалось стойкое осветление пигмента в течение 6 месяцев [19].
Также хорошо зарекомендовал себя Nd:YAG лазер (1064 нм) с длительностью импульса до 6 нс при большой мощности световой энергии. Такой лазер при воздействии минимально повреждает ткани. Во время лазерной вспышки происходит дробление пигмента в эпидермисе и дерме. Затем частицы пигмента утилизируются макрофагами (клетками иммунной системы).
Лазерная терапия наиболее эффективна при тёмных веснушках. Пациентов с тёмной кожей нужно лечить с осторожностью, чтобы избежать гиперпигментации, которая может продержаться в течение месяцев. После лечения обычно возникают рецидивы: веснушки могут появиться снова через 6–8 месяцев.
Важно понимать, что лазерную терапию нужно использовать в комплексе с другими процедурами. Например, чередование гликолевой и аскорбиновой кислот с лазерной терапией (через 2 недели) даёт более долгосрочный результат. В результате действия гликолевой кислоты роговой слой становится тоньше, а дерма утолщается. Аскорбиновая кислота, также известная как витамин С, обладает антиоксидантными свойствами и способностью тормозить меланогенез.
Возможно также использование IPL лазеров (фотолечение) 1–2 раза в месяц в зимний период времени.
Инъекционная терапия
В последнее время стала пользоваться популярностью инъекционная терапия, в частности биоревитализация. Это связано с тем, что в состав препаратов для этой процедуры входит гиалуроновая кислота, которая даёт осветляющий эффект. Инъекционную терапию могут назначить по показаниям примерно с 18 лет.
Прогноз. Профилактика
Как уже было сказано, веснушки не являются заболеванием, сами по себе они не опасны и не требуют лечения. Но при желании их можно осветлить.
Любое лечение, как правило, даёт эффективные результаты — пигмент становится светлее на 1–2 тона. Но, как показывает практика, лечение обычно длительное и сложное, а эффект кратковременный. После лечения возможны рецидивы: как правило, в течение 6 месяцев (до года при лечении лазером).
Для профилактики рецидивов после лечения необходимо использовать средства с SPF 50–90, с фильтрами UVA и UVB, которые защищают от разных видов УФИ.
В целом такие средства важно использовать всем людям с веснушками, независимо от того, проходят они лечение или нет, так как кожа при I и II фототипах сильно реагирует на УФИ.
В целом предотвратить появление веснушек невозможно, так как это генетический признак, но можно снизить риск появления новых. Для этого людям с эфелидами также рекомендуется:
Список литературы
Руководство по дерматокосметологии / под ред. Е. Р. Аравийской и Е. В. Соколовского. — СПб.: Фолиант, 2008. — 632 с.
Федотов В. П. Расстройства пигментации кожи (дисхромии) // Дерматовенерология. Косметология. Сексопатология. — 2014. — С. 114–130.
Скрипкин Ю. К., Кубанова А. А., Акимов В. Г. Кожные и венерические болезни. — М.: ГЭОТАР-Медиа, 2012. — 544 с.
Султанова А. А. Веснушки // ГЕНОКАРТА. — 2021.
Цветкова Г. М., Мордовцева В. В., Вавилов А. М.., Мордовцев В. Н. Патоморфология болезней кожи: руководство для врачей. — М.: Медицина, 2003. — 496 с.
Олисова О. Ю., Андреева Е. В. Ещё раз о проблеме гиперпигментации // Российский журнал кожных и венерических болезней. — 2014. — № 2. — С. 20–24.
Ebanks J. P., Wickett R. R., Boissy R. E. Mechanisms regulating skin pigmentation: the rise and fall of complexion coloration // Int J Mol Sci. — 2009. — Vol. 10, № 9. — Р. 4066–4087. ссылка
Аврам М. Р., Цзао С., Танноус З., Аврам М. М. Атлас косметической дерматологии / пер. с англ. под ред. проф. Н. Н. Потекаева. — СПб.: Диалект, М.: Бином, 2013. — 296 с.
Иконникова Е. В, Стенько А. Г., Корчажкина Н. Б. Современные методы коррекции и комплексный подход к терапии неопухолевых меланиновых гиперпигментаций кожи // Физиотерапия, бальнеология и реабилитация. — 2017. — № 2. — С. 84–88.
Шептий О. В., Круглова Л. С., Жукова О. В., Эктова Т. В., Ракина Д. А., Шматова А. А. Высокоэнергетическое лазерное излучение в дерматологии и косметологии // Российский журнал кожных и венерических болезней. — 2012. — № 6. — С. 39–43.
Коляденко Е. Прислушиваясь к Фитцпатрику. Влияние УФО на различные фототипы кожи // Косметолог. — 2010. — № 3.
Шептий О. Лазерная коррекция возрастных изменений и фотостарения кожи // Эстетическая медицина. — 2012. — № 1 (11). — С. 39.
Долотов О. В. Альфа-меланоцитстимулирующий гормон как регулятор гипоталамо-гипофизарной оси // Российский физиологический журнал им. И. М. Сеченова. — 2020. — T. 106, № 6. — С. 683–695.
Фицпатрик Т., Джонсон Р., Вулф К., Полано М., Сюрмонд Д. Дерматология: атлас-справочник. — М.: Практика, 2007. — 1312 с.
Галлямова Ю. А., Зайдиева Я. З., Фурзикова К. М. Гиперпигментация — современная проблема дерматокосметологии // Лечащий врач. — 2012. — № 10–12.
Praetorius C., Sturm R. A., Steingrimsson E. Sun-induced freckling: ephelides and solar lentigines // Pigment Cell Melanoma Res. — 2014. — Vol. 27, № 3. — Р. 339–350. ссылка
Дерматология: учебное пособие в 2 частях / под ред. В. Г. Панкратова. — 3-е издание. — Минск: БГМУ, 2012. — 227 с.
Круглова Л. С., Иконникова Е. В. Гиперпигментация кожи: современный взгляд на методы коррекции (часть 2) // Российский журнал кожных и венерических болезней. — 2017. — № 4. — С. 248–251.
Rashid T., Hussain I., Haider M., Haroon T. S. Laser therapy of freckles and lentigines with quasi-continuous, frequency-doubled, Nd:YAG (532 nm) laser in Fitzpatrick skin type IV: a 24-month follow-up // Journal of Cosmetic and Laser Therapy. — 2002. — Vol. 4, № 3. — Р. 81–85.ссылка
Michael J. G., Beenish S. B. Seborrheic Keratosis // StatPearls Publishing. — 2024.ссылка
Robert A. S. Lentigo // Medscape. — 2022.
Keator C. Neurofibromatosis Type 1 // Epilepsy Foundation. — 2016.

