Авторы
Литературный редактор:
Юлия Липовская
Научный редактор:
Сергей Федосов
Шеф-редактор:
Маргарита Тихонова
Вступление
В частную медицинскую клинику Московской области в сентябре 2022 года обратился пациент с жалобами на постоянные боли в нижней челюсти слева.
Жалобы
Также мужчина отмечал припухлость щеки слева, боль при глотании слюны, увеличение лимфатических узлов и повышение температуры тела до 38 °C.
Субъективно боль усиливалась вечером и ночью, приём обезболивающих лекарств не снимал её.
Анамнез
Зуб стал беспокоить три дня назад.
Ранее пациент лечился и наблюдался в клинике по поводу других зубов. Также наблюдался у терапевта и уролога.
В семье пациент был единственным ребёнком. Рос и развивался в соответствии с возрастом. Сейчас работает в ресторане, живёт один в съёмной квартире. Социальные и бытовые условия удовлетворительные, питание правильное и сбалансированное.
Вирусных гепатитов, ВИЧ-инфекции, туберкулёза или других хронических заболеваний у пациента нет. Аллергии никогда не было.
Обследование
При осмотре отмечается асимметрия лица за счёт припухлости левой щеки, незначительное ограничение и боль при открывании рта, а также болезненность и увеличение регионарных лимфатических узлов (подбородочных, поднижнечелюстных, околоушных и др.). Кожа чистая, без видимой патологии. В полости рта зуб 38 (зуб мудрости снизу слева) находится под десной, его не видно.
Рентгенологическое исследование показало мезиоангулярную ретенцию зуба 38. Ретенция означает, что зуб не прорезался и находится внутри челюсти, термин «мезиоангулярная» указывает на расположение зуба пол наклоном. На снимке также обнаружилась небольшая резорбция (разрушение) одного из корней рядом стоящего зуба.
Диагноз
Ретенированный зуб (K01).
Лечение
В ходе лечения:
- Сделали проводниковую (мандибулярную — в область нижнего альвеолярного нерва) и инфильтрационную (в область хирургического вмешательства) анестезию раствором Ультракаина 1:200000 1,7 мл.
- С помощью хирургического лезвия 15С сделали два разреза на десне таким образом, чтобы получился треугольный лоскут. Этот лоскут отодвинули в сторону, чтобы обнажить кость, покрывающую непрорезавшийся зуб.
- Удалили кость над зубом, сам зуб разрезали хирургическим бором.
- С помощью прямого элеватора, который используется для вывиха и удаления корней, извлекли фрагменты зуба.
- Лунку промыли физиологическим раствором и скорректировали костные неровности. На лунку наложили швы нитью Викрил 6:0.
После процедуры пациенту назначили антибиотик Сумамед по 500 мг 1 раз в день в течение 5 дней и анальгетик Нурофен 200 мг при болях.
Также дали подробные послеоперационные инструкции и рекомендации:
- избегать пребывания на солнце, горячей и твёрдой пищи и физических нагрузок, по крайней мере до снятия швов;
- употреблять жидкую или мягкую и холодную пищу;
- чистить зубы и язык как обычно, но избегать оперированной области;
- делать ротовые ванночки антисептиком — 0,05%-м раствором Хлоргексидина.
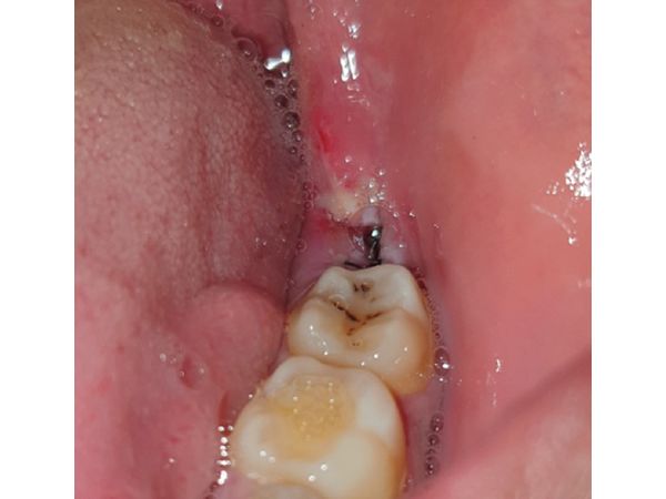
Через семь дней после удаления пациент пришёл на осмотр. Жалоб у него не было, рана заживала вторичным натяжением и без осложнений, динамика была положительной. В это же посещение сняли швы, лунку обработали физиологическим раствором (0,09%-м раствором Натрия хлорида).
На контрольном осмотре через 14 дней было видно, что десна зажила, признаков воспаления не было.
Заключение
Удаление ретенированных зубов мудрости снизу — одна из наиболее распространённых операций в стоматологии и челюстно-лицевой хирургии. Чтобы провести процедуру как можно лучше и свести к минимуму ошибки и осложнения в будущем, перед операцией требуется подробная консультация, а также клинические и инструментальные обследования: прицельная рентгенография, панорамная рентгенография и компьютерная томография.







