Авторы
Литературный редактор:
Елизавета Отмахова
Научный редактор:
Сергей Федосов
Вступление
В конце 2020 года в стоматологическую клинику обратилась 27-летняя пациентка.
Жалобы
Женщина жаловалась на оголение корня нижнего центрального резца слева (зуба 3.1) и его повышенную чувствительность.
Дискомфорт усиливался при чистке зубов.
Анамнез
Ранее пациентка проходила ортодонтическое лечение с помощью брекет-системы в другой клинике. Ей провели фрэнулэктомию (пластику уздечки губы). Когда женщине сняли брекеты, она отметила оголение корня зуба (рецессию).
В 2019 году и в начале 2020 года пациентке провели две пластические операции по закрытию рецессии с пересадкой трансплантата с нёба, однако проблема так и не решилась. Более того, появились рубцы, а сама рецессия усугубилась. Тогда женщина решила сменить клинику.
Пациентка не курит, чистит зубы правильно, десну зубочисткой не травмировала. Общесоматических заболеваний, которые влияют на восстановление тканей, например сахарного диабета, болезней печени или почек, нет.
Обследование
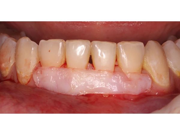
Детальный осмотр полости рта и фотопротокол исходной ситуации выявили:
- ретейнер — проволоку, которую приклеивают к передним зубам с язычной стороны, чтобы стабилизировать результат лечения на брекетах;
- оголение десневого края зуба 3.1;
- утерю 1/3 межзубного десневого сосочка между центральными резцами;
- слизистую складку (дубликатуру) у основания сосочка — результат расхождения краёв раны после предыдущих операций, что снижает эластичность тканей;
- кератинизирование (ороговение) слизистой верхнего края рецессии размером около 1,5–2 мм;
- тонкая десна в области нижних резцов;
- край десны покрасневший и отёчный, в пришеечной части — твёрдый зубной налёт;
- меловидные пятна, кариес.
Конусно-лучевая компьютерная томография (КЛКТ) показала, что вокруг корня зуба 3.1 нет более 1/2 костной стенки с внешней стороны.
Диагноз
К06.0 Рецессия десны. Рецессия десневого края III класса (с потерей костных перегородок).
К05.1 Хронический гингивит: на верхней и нижней челюстях.
Лечение
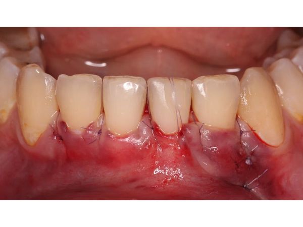
Пациентке провели профессиональную гигиену полости рта, после чего перешли к хирургическому лечению:
- Создали тоннельный доступ — подтянули сосочки вертикально к ретейнеру и добавили центральный композитный шов в области зуба с рецессией.
- Замерили необходимый объём тканей для трансплантации.
- Извлекли свободный десневой трансплантат (СДТ) с нёба и сняли с него слой эпителия, чтобы создать раневую поверхность. Именно такой трансплантат выбрали из-за тонкой десны, возможно, она истончилось, так как с неё брали ткани для предыдущих операций.
- Ввели трансплантат в тоннель и стабилизировали швами, которые прижимают и вытягивают лоскуты вдоль оси зубов.
- Ушили рану на нёбе, остановили кровотечение и нанесли повязку.
В ходе операции участвовали все четыре резца, так как чем шире лоскут, тем лучше мобилизация. Также важно было равномерно утолщить десневой край, чтобы предотвратить рецидив.
После проведённой манипуляции пациентке дали советы по уходу за раной, так как правильный послеоперационный режим является половиной успеха при лечении. Женщине рекомендовали:
- исключить физические нагрузки на 14–21 день;
- первые двое суток прикладывать лёд через тонкую ткань к коже в области операции;
- все зубы, кроме прооперированных, чистить в прежнем режиме, но с использованием минимального количества зубной пасты (нейтральной, лучше с содержанием Хлоргексидина);
- зубы в прооперированной области протирать ватной палочкой, смоченной 0,05–0,2%-м раствором Хлоргексидина, но не прикасаясь к десне;
- делать ванночки полости рта с Хлоргексидином 3–4 раза в день на протяжении двух месяцев.
В течение этого времени также нельзя кусать что-либо прооперированными зубами.
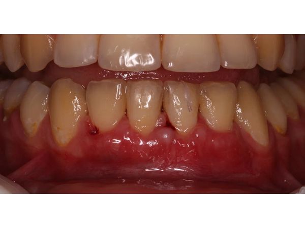
Через неделю провели промежуточный осмотр, чтобы снять мягкие зубные отложения, через 2 недели сняли швы и гигиенически обработали поверхность зубов. Донорская зона заживала вторичным натяжением (грануляционной тканью).
Через 2 месяца женщине назначили профессиональную гигиену полости рта.
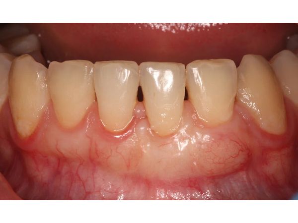
Уже через 2 недели рецессия была устранена, а сосочек восстановлен. Дубликатура сохранилась, но пациентку она не беспокоила.
Заключение
Рецессия десны на ранних стадиях проще поддаётся лечению и в большинстве случаев даёт максимальный результат. Оперативное лечение рецессий III класса приносит результат в 70 % случаев. Гингивит и рубцы осложняют течение, поэтому необходим комплексный подход: не только хирургическое лечение, но и щадящая профессиональная чистка. Также важно обучить пациента навыкам грамотной индивидуальной гигиены, чтобы предотвратить возникновение проблем с десной в будущем.






