Авторы
Литературный редактор:
Елизавета Отмахова
Научный редактор:
Сергей Федосов
Шеф-редактор:
Маргарита Тихонова
Вступление
В стоматологическую клинику пришла 32-летняя женщина с резкой болью в области нижних зубов.
Жалобы
Пациентка рассказала, что болевые ощущения появлялись после того, как она выпивала холодную воду (особенно газированную), ела липкие сладости или что-то кислое. Неприятные ощущения возникали, даже если она просто вдыхала холодный воздух.
Боль была кратковременной, но очень неприятной.
Ей становилось легче, когда она выпивала тёплую воду, полоскала рот отваром ромашки, использовала пасту для чувствительных зубов и исключала кислые продукты на 1–2 дня.
Анамнез
Чувствительность к холодному женщина начала замечать давно, но тогда она появлялась редко. Затем возникла реакция на кислое, а в последние 2 недели — на вдыхание ртом холодного воздуха.
Все меры, которые она предпринимала, для снижения неприятных ощущений либо давали слабый результат, либо не помогали вовсе, например полоскание рта содой.
Пациентка рассказала, что чистит зубы 2 раза в день, но жёсткой щёткой. Последний раз у стоматолога была больше года назад.
Женщина призналась, что любит фрукты и свежевыжатые соки, особенно цитрусовые. Также часто пьёт газированную воду.
Обследование
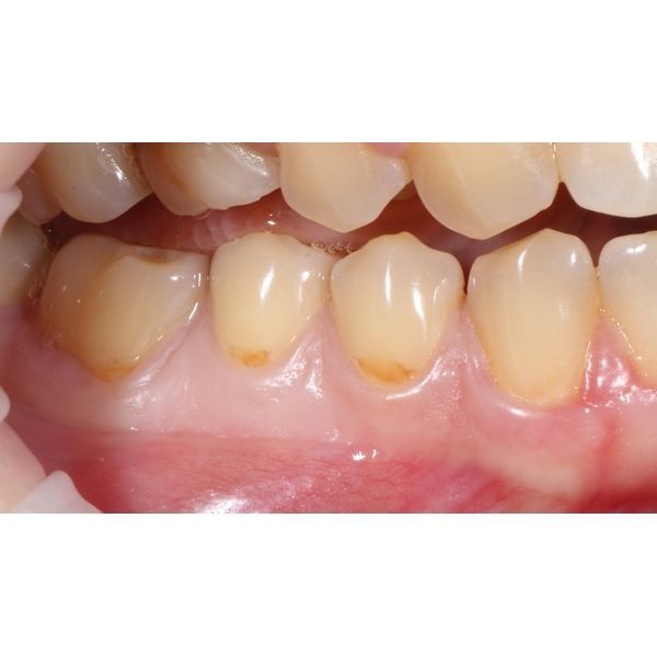
При осмотре на нижних правых премолярах (зубах 4.4 и 4.5) наблюдались желтовато-коричневые пятна. Эмаль была шероховатой: зонд застревал в микротрещинах эмали.
Реакция на холод подтвердила чувствительность в проблемных зонах. Боль исчезала через 10–15 секунд.
Пациентке также сделали конусно-лучевую компьютерную томографию (КЛКТ), которая исключила осложнённый кариес, патологии периодонта и рецессию десны.
Диагноз
Лечение
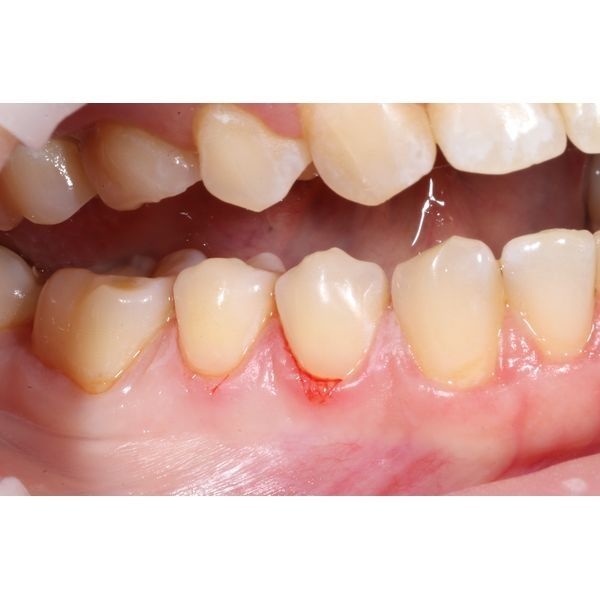
На приёме женщине провели профессиональную гигиену полости рта и запломбировали зубы 4.4 и 4.5.
В качестве профилактики ей рекомендовали сменить щётку на мягкую, ограничить кислую пищу в рационе и в течение 10 дней использовать реминерализующую пенку или гель. Также пациентку обучили правильной технике чистки зубов.
Спустя 2 недели после лечения чувствительность зубов полностью прошла. Пломбы адаптировались хорошо. Кроме того, на протяжении 10 дней женщина использовала аппликации GC Tooth Mousse, благодаря чему меловидные пятна значительно посветлели.
Пациентка также освоила правильную технику чистки зубов, что положительно сказалось на гигиене полости рта, ограничила перекусы и начала пить соки через трубочку.
Благодаря успешному лечению была восстановлена анатомическая форма зубов, а реакция на термические раздражители исчезла.
Заключение
Этот случай описывает классическое развитие пришеечного кариеса, вызванного абразивным воздействием (применением жёсткой щётки), химическими факторами (кислотами) и плохой гигиеной. При развитии такого состояния очень важно вовремя обратиться за помощью, ведь на стадии пятна процесс полностью обратим.



