Авторы
Литературный редактор:
Диана Медведева
Научный редактор:
Сергей Федосов
Шеф-редактор:
Маргарита Тихонова
Вступление
В стоматологию «Доктор Келлер» в Ростове-на-Дону обратился мужчина 25 лет с жалобами на дискомфорт.
Жалобы
Пациента также беспокоила подвижность верхнего зуба справа.
Боль возникала преимущественно при приёме пищи. Мужчина обходился без обезболивающих и старался не касаться зуба языком и нижними зубами.
Анамнез
Несколько лет назад в другой клинике пациенту лечили осложнённый кариес, но тогда зуб не покрыли коронкой. Позже мужчина неудачно укусил твёрдую пищу и сломал зуб.
По словам пациента, сопутствующих заболеваний и аллергий нет.
Обследование
При осмотре полости рта обнаружено, что зуб 1.1 запломбирован, прощупывание переходной складки безболезненное. Определялась подвижность зуба 2-й степени (движение заметно, но в пределах физиологии). Слизистая оболочка полости рта бледно-розового цвета, без патологических изменений.
На компьютерной томографии (КТ) наблюдался рецидивный кариес. Определялся плохо запломбированный корневой канал. Ширина кости — 7 мм, высота — 14 мм, плотность — 3-й класс (относительно нормальная костная ткань).
Диагноз
Патологический перелом зуба 1.1.
Лечение
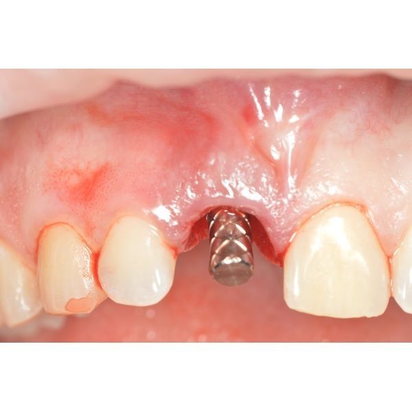
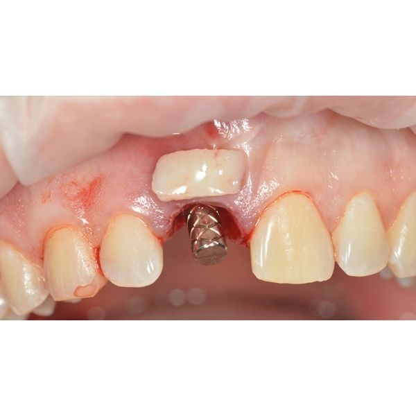
Под местной анестезией удалили зуб, после чего сформировали ложе для имплантата и провели пластику мягких тканей вокруг него. Изготовили и установили временную коронку на 4 месяца.
Рекомендации:
- не есть горячую, острую, кислую и твёрдую пищу (7 дней);
- избегать перегрева (7–10 дней);
- ежедневно 3–4 раза обрабатывать швы 0,05%-м раствором Хлоргексидина биглюконата;
- соблюдать правила гигиены полости рта.
Через неделю после операции сняли швы. Спустя месяц провели контрольный осмотр. Протезирование запланировали примерно на 3–6-й месяц после хирургического вмешательства, точный срок зависел от приживления имплантата.
Пациент приходил на осмотр раз в месяц. Повторные КТ показывали, что имплантат приживался без осложнений.
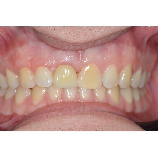
С помощью немедленной имплантации пациенту восстановили переднюю часть зубного ряда.
Заключение
Этот клинический случай показывает, что существуют способы быстрого и качественного восстановления переднего зуба. К сожалению, не всегда возможно установить имплантат сразу после удаления — часто нужно ждать больше 3 месяцев. Однако в этой ситуации условия позволили провести процедуру без задержки.
Стоит отметить, что важно своевременно проводить протезирование, особенно следует покрывать коронками зубы, в которых удалён нерв, так как они становятся хрупкими и более подверженными перелому. Ни один имплантат не заменит собственный зуб в полной мере, поэтому рекомендуется соблюдать правила гигиены.







