Определение болезни. Причины заболевания
Перелом пальца (Broken finger) — это нарушение целостности кости одной или нескольких фаланг пальца (основной, средней или ногтевой). Такая травма может привести к стойким функциональным нарушениям: снижению силы хвата, тугоподвижности (контрактуре) суставов и развитию раннего артроза [1].
Распространённость переломов пальцев рук
В США ежегодно переломы фаланг кисти фиксируют примерно у 0,012 % человек. Они занимают второе место по частоте среди всех переломов различных отделов рук (после переломов нижнего отдела лучевой и/или локтевой кости) в большинстве возрастных групп и встречаются в 23 % случаев, диагностированных в отделениях неотложной помощи [3].
Как правило, они происходят в возрасте 45–85 лет, причём у пациентов старше 85 лет переломы пальцев являются самым распространённым типом переломов различных отделов руки [3].
Причины перелома пальца
Все причины переломов пальцев разделяют на две группы:
- Травматические — перелом возникает под действием внешней силы, которая превышает прочность кости. Разделяют механизмы травмы:
- прямой — сила действует в месте перелома, например при ударе тупым твёрдым предметом, ранении и сдавлении;
- непрямой — сила действует не в месте перелома, к примеру при резком перегибе кости или скручивании;
- комбинированный — действует несколько механизмов одновременно, что приводит к многооскольчатым повреждениям [6].
![Непрямой перелом пальца руки [6] Непрямой перелом пальца руки [6]](/media/bolezny/perelom-palca/nepryamoy-perelom-palca-ruki-6_s.jpeg?dummy=1777377207825)
Непрямой перелом пальца руки [6]
- Патологические — перелом возникает в результате незначительной, обычно нетравматичной силы (например, при опоре на руку, лёгком ударе или даже при перевороте в постели). Это связано со снижением прочности костной ткани на фоне болезней [3]. К таким заболеваниям, повышающим риск переломов, относятся:
- остеопороз — кость становится хрупкой, и перелом происходит при минимальной нагрузке;
- доброкачественные (энхондрома, костная киста) и злокачественные (остеосаркома и метастазы) опухоли костной ткани — ослабляют кость изнутри [2];
- метаболические и эндокринные нарушения (к примеру, сахарный диабет) — при них нарушается обмен кальция и фосфора, что приводит к резорбции кости (естественному процессу разрушения и рассасывания костной ткани);
- инфекционные заболевания (например, остеомиелит);
- наследственные заболевания (к примеру, несовершенный остеогенез, при котором нарушается формирование костной ткани).
Симптомы перелома пальца
При переломе пальца в момент травмы человек может испытывать острую, интенсивную и пульсирующую боль, которая со временем становится постоянной и ноющей. Болевые ощущения могут резко усиливаться при активных и пассивных движениях в суставе, а также при осевой нагрузке, например когда пациент стучит по кончику пальца. Также наблюдается ограниченность движений, в том числе человек не может выполнять действия, требующие мелкой моторики, к примеру он не может писать или застегнуть пуговицу.
Для перелома пальца характерны видимая деформация, при которой он может быть укороченным или неестественно изогнутым, и патологическая подвижность кости вне области сустава. Также могут отмечаться характерный костный хруст (крепитация) и ощущение трения отломков [4].
К менее специфическим признакам, которые часто наблюдаются при этой травме, относятся быстро нарастающий и распространяющийся отёк, а также вынужденная поза (пациент держит руку в наименее болезненном положении) и образование гематомы. В первые сутки синяк может быть багрово-синюшным, но через 5–7 дней он становится жёлто-зелёным.
При переломе пальца ноги пациент из-за резкой боли не может полноценно наступать на стопу, поэтому переносит вес на пятку или ребро подошвы.
Патогенез перелома пальца
Когда на палец воздействуют силы, превышающие прочность кости, происходит перелом с разрывом надкостницы и повреждением сосудов. В травмированной области образуется сгусток крови — первичный соединительный материал, который содержит факторы роста и клетки, способствующие формированию первичной костной мозоли, — запускается воспалительная реакция, что вызывает боль, отёк и покраснение [4]. Затем в течение нескольких недель остеобласты формируют сначала мягкую, а затем твёрдую костную мозоль, соединяющую отломки.
Стадии формирования костной мозоли
Классификация и стадии развития перелома пальца
Переломы пальцев классифицируют по нескольким признакам:
- По характеру травмы:
- закрытый — без повреждения кожи;
- открытый — с нарушением целостности кожи, требует неотложной хирургической обработки [6].
![Открытый перелом пальца руки [6] Открытый перелом пальца руки [6]](/media/bolezny/perelom-palca/otkrytyy-perelom-palca-ruki-6_s_gFPowoi.jpeg?dummy=1777380644097)
Открытый перелом пальца руки [6]
- По смещению:
- без смещения — отломки сохраняют анатомическое положение;
- с минимальным смещением — отломки смещены на ширину кортикального слоя (примерно на 1–2 мм);
- со смещением — отломки значительно смещены относительно друг друга.
- По локализации:
- перелом дистальной фаланги;
- перелом средней фаланги (кроме переломов большого пальца);
- перелом проксимальной фаланги.
Строение кисти

Строение пальцев ног
- По линии излома:
- спиральный;
- косой перелом;
- многооскольчатый перелом;
- неполный суставной;
- полный суставной [1].
Переломы кости по линии излома [1]
Осложнения перелома пальца
При переломе пальца могут возникнуть следующие осложнения:
- Повреждение нервов. Происходит во время самой травмы или при задевании острым отломком кости. Может сопровождаться покалыванием, онемением и потерей чувствительности на одной или обеих сторонах пальца.
- Повреждение сухожилий (сгибателей или разгибателей). Человек не может согнуть или разогнуть палец, наблюдается деформация фаланги. Это состояние часто требует хирургического восстановления.
- Инфекционно-воспалительный процесс. Развивается при открытых переломах или при сниженном иммунитете, когда рана нагнаивается и инфекция переходит на кость. Требует хирургической обработки и проведения антибиотикотерапии.

Инфекционно-воспалительный процесс при переломе пальца руки
- Компартмент-синдром. При этом состоянии из-за отёка повышается давление в закрытом костно-фасциальном футляре пальца, кисти или стопы. Такой синдром может привести к сдавливанию сосудов, мышц и нервов.
- Подногтевая гематома. Часто возникает при переломе дистальной фаланги. Кровь, которая скапливается под ногтем, создаёт сильное давление и вызывает интенсивную пульсирующую боль. Чтобы облегчить состояние, пациенту прокалывают ноготь [5].
- Посттравматический артроз. Может возникнуть из-за повреждения суставного хряща. Сопровождается болью, отёком, тугоподвижностью (контрактурой) и деформацией сустава.
- Несращение (ложный сустав). Из-за того, что кость не срастается, между отломками формируется подвижное соединение. Это может происходить при нарушении кровоснабжения отломков, инфицировании и интерпозиций мягких тканей (попадании мышц, фасций, сухожилий или надкостницы между отломками). В результате может возникать боль, формироваться патологическая подвижность и нарушаться функция пальца.

Несращение кости
- Комплексный региональный болевой синдром (КРБС). При таком состоянии нарушается регуляция кровотока и трофики тканей (совокупности обменных процессов, которые обеспечивают рост, структуру и функционирование клеток организма). Это может сопровождаться жгучей болью, отёками, изменением цвета кожи, нарушением терморегуляции пальца и пятнистым остеопорозом.
- Тендовагинит. Из-за того, что неровная поверхность сросшейся кости раздражает сухожилие, воспаляются его оболочки. Это осложнение проявляется болью и хрустом при движениях пальца.
Диагностика перелома пальца
При подозрении на перелом пальца следует обратиться в травмпункт, где врач уточнит всю информацию и проведёт физикальное обследование.
Осмотр
Травматолог может заподозрить перелом пальца по достоверным (характерным только для перелома) и относительным признакам (могут быть и при других травмах).
К достоверным признакам относятся патологическая подвижность в том месте, где нет сустава (например, посередине фаланги), деформация пальца и крепитация [4]. Относительными признаками являются отёк, гематома и вынужденное положение.
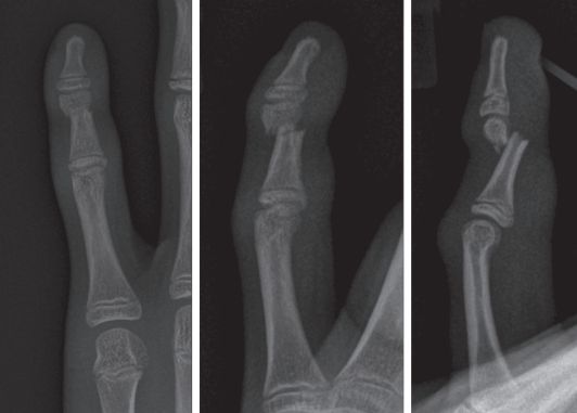
Инструментальная диагностика
Основной метод диагностики — рентгенография в нескольких проекциях, как правило в прямой и боковой, но дополнительно могут делать косую (особенно для пальцев ног). Рентген может показать наличие перелома, его локализацию и линию, характер и степень смещения отломков, а также возможные осколки.
![Рентген кисти в заднепередней, косой и боковой проекциях [8] Рентген кисти в заднепередней, косой и боковой проекциях [8]](/media/bolezny/perelom-palca/rentgen-kisti-v-zadneperednyay-kosoy-i-bokovoy-proekciyah-8_s.jpeg?dummy=1777377925978)
Рентген кисти в заднепередней, косой и боковой проекциях [8]
При переломе пальца также могут проводить компьютерную томографию (КТ). Она показана, если у пациента:
- внутрисуставной перелом;
- сложный оскольчатый перелом;
- подозрение на перелом, который не виден на стандартных рентгеновских снимках.
КТ позволяет провести многоплоскостной анализ любого перелома, поэтому она может быть полезна при оценке суставных переломов.
Магнитно-резонансную томографию (МРТ) в случае перелома пальца практически не используют, однако она может визуализировать повреждение хрящей, связок и сухожилий, а также скрытый перелом (ушиб кости).
Дифференциальная диагностика
Перелом пальца следует отличать от сильного ушиба, вывиха и растяжения.
Дифференциальная диагностика перелома пальца с ушибом
Лечение перелома пальца
Перелом пальца могут лечить как консервативно, так и хирургически.
Консервативное лечение
Показания для консервативного лечения разделяют на две группы:
- Абсолютные:
- перелом без смещения;
- стабильный перелом с минимальным смещением;
- краевой перелом фаланги;
- перелом дистальной фаланги (в большинстве случаев).
- Относительные показания:
- угловая деформация до 10–15°;
- укорочение пальца не более 2–3 мм;
- минимальное ротационное смещение (менее 5–10°);
- наличие высоких операционных рисков.
Раньше ригидность пальцев (ограничение подвижности или полная неподвижность суставов, которая сопровождается болью) была почти неизбежным последствием переломов фаланг. Однако Дж. И. П. Джеймс установил, что можно избежать контрактур коллатеральных связок (парных боковых связок, стабилизирующих суставы), если закреплять палец в согнутом положении: межфаланговый сустав — под углом 70°, а пястно-фаланговый — почти в полном сгибании [7].
При необходимости пациентам проводят репозицию (сопоставление костных отломков), а затем палец фиксируют гипсовой повязкой или её полимерными аналогами, также могут использовать специальные ортезы или шины (например, шину Бадди, когда повреждённый палец фиксируют вместе со здоровым).
![Фиксация пальцев [10] Фиксация пальцев [10]](/media/bolezny/perelom-palca/fiksaciya-palcev-10_s.jpeg?dummy=1777382975767)
Фиксация пальцев [10]

Недопустимая фиксация при переломах пальцев кисти
Давящую повязку накладывают примерно до 4-й недели после травмы. В этот период могут назначать рентген, чтобы подтвердить заживление [7]. Контрольные снимки делают через 7 и 14 дней. Если перелом был в средней фаланге, его линия может быть видна до 6 месяцев.
В случае формирования подногтевой гематомы её лечат с помощью прожигания: нагретой стерильной проволокой делают прокол в ногте и обеспечивают отток крови [5].
![Лечение подногтевой гематомы [5] Лечение подногтевой гематомы [5]](/media/bolezny/perelom-palca/lechenie-podnogtevoy-gematomy-5_s_KxEedM6.jpeg?dummy=1777382827261)
Лечение подногтевой гематомы [5]
Хирургическое лечение
При переломах пальца могут проводить операции. Показания к ним также делятся на две группы:
- Абсолютные:
- открытый перелом;
- нестабильный перелом со смещением;
- внутрисуставной перелом;
- оскольчатый перелом;
- перелом с повреждением сухожилий, сосудов или нервов;
- неправильное сращение.
- Относительные:
- поперечный и короткий косой перелом диафиза (средней части) фаланги со смещением;
- спиральный (длинный косой) перелом, который часто сопровождается ротационным смещением;
- перелом проксимальной (ближе к основанию кисти/стопы) фаланги со значительным угловым смещением;
- контрактура суставов до травмы;
- неэффективность консервативного лечения.
При относительных показаниях могут проводить как консервативную терапию, так и хирургическое вмешательство, выбор тактики зависит от функциональных требований и желаний пациента. Стоит отметить, что при относительных показаниях переломы пальцев ног чаще лечат с помощью иммобилизации (фиксирования) повязкой или гипсом, исключения составляют травмы больших пальцев, так как они значительно влияют на опороспособность стопы [11].
К методам хирургического лечения перелома пальца относятся:
- Закрытая репозиция и чрескожная фиксация спицами Киршнера или аппаратами внешней фиксации. Этот малоинвазивный метод позволяет без открытого вмешательства аккуратно вправить отломки и зафиксировать их проведёнными через кожу металлическими спицами. При этом пациенты могут сгибать дистальный межфаланговый сустав, однако не могут активно его разгибать.
![Лечение перелома средней фаланги безымянного пальца кисти спицами Киршнера [6] Лечение перелома средней фаланги безымянного пальца кисти спицами Киршнера [6]](/media/bolezny/perelom-palca/lechenie-pereloma-srednyay-falangi-bezymyannogo-palca-kisti-spicami-kirshnera-6_s_joj3beW.jpeg?dummy=1777378745495)
Лечение перелома средней фаланги безымянного пальца кисти спицами Киршнера [6]
- Открытый остеосинтез. При нём хирург разрезает кожу, сопоставляет отломки и фиксирует их с помощью мини-винтов, пластин или спиц. Такой подход позволяет максимально восстановить анатомию и начать раннюю реабилитацию.
![Лечение перелома основной фаланги указательного пальца кисти с помощью пластин и винтов [5] Лечение перелома основной фаланги указательного пальца кисти с помощью пластин и винтов [5]](/media/bolezny/perelom-palca/lechenie-pereloma-osnovnoy-falangi-ukazatelnogo-palca-kisti-s-pomoshyu-plastin-i-vintov-5_s.jpeg?dummy=1777378284724)
Лечение перелома основной фаланги указательного пальца кисти с помощью пластин и винтов [5]
Стоит отметить, что в ходе операций могут применять портативные устройства для мини-флюороскопии — технологии визуализации, использующей низкие дозы рентгеновского излучения, которая позволяет получить изображения внутренних структур тела в режиме реального времени. Такой подход существенно сокращает время вмешательства. Подобные аппараты полезны при введении штифтов и винтов (особенно через проколы в коже), они позволяют оценить вправление перелома и фиксацию сразу в нескольких плоскостях [5].
Осложнения лечения
Одним из осложнений терапии может быть неправильное сращение с угловой деформацией, ротацией или укорочением. Оно развивается, если отломки костей сопоставили неправильно или они были недостаточно зафиксированы. В случае перелома пальца руки это может привести к нарушению функции кисти, невозможности полностью сжать кулак, а также к косметическому дефекту.
После лечения у пациентов могут развиваться контрактуры суставов, которые резко ограничивают их подвижность. Это происходит из-за длительной иммобилизации, повреждения самого сустава и рефлекторных мышечных спазмов. В результате палец может перестать нормально двигаться, причём даже если перелом сросся правильно и без осложнений.

Контрактура сустава
Реабилитация после перелома пальца
Её начинают сразу после снятия иммобилизации или, в случае стабильного остеосинтеза, уже через несколько дней после хирургического вмешательства, но только под контролем врача ЛФК.
После лечения пациентам нужно делать комплекс упражнений, направленный на восстановление полного объёма активных и пассивных движений, силы и мелкой моторики, в том числе щипкового хвата [3].
![Упражнения для восстановления подвижности [7] Упражнения для восстановления подвижности [7]](/media/bolezny/perelom-palca/uprazhneniya-dlya-vosstanovleniya-podvizhnosti-7_s.jpeg?dummy=1777378448381)
Упражнения для восстановления подвижности [7]
Также в рамках реабилитации могут проводить физиотерапевтические процедуры:
- магнитотерапию — магнитное воздействие улучшает микроциркуляцию крови и ускоряет формирование костной мозоли [9];
- ультравысокочастотную терапию — воздействие электромагнитными полями эффективно уменьшает отёк и воспаление;
- лазеротерапию — улучшает микроциркуляцию, регенерацию (восстановление) тканей, возвращает эластичность связок;
- электрофорез — способствует рассасыванию рубцов и размягчению тканей, ускоряет сращение (при терапии Лидазой или Хлоридом кальция) и снимает болевой синдром (при применении Новокаина или Лидокаина).
Прогноз. Профилактика
При правильной диагностике и своевременном лечении прогноз перелома пальца обычно благоприятный. На успех лечения значительно влияет реабилитация.
Профилактика перелома пальца
Для предупреждения травматических переломов следует:
- установить доводчики/стопоры на дверях;
- осторожно обращаться с тяжёлыми предметами;
- соблюдать правила техники безопасности на производстве и при занятиях спортом [3].
Чтобы предотвратить патологические переломы на фоне остеопороза, важно проходить обследования (особенно после 50–65 лет), отказаться от курения и алкоголя, а также заниматься физической активностью. При наличии хронических болезней (сахарного диабета, гипертиреоза и др.) следует внимательно контролировать состояние здоровья.
Список литературы
Рюэди Т. П., Бакли Р. Э., Моран К. Г. AO-Принципы лечения переломов. — 2-е изд., доп. и перераб. — М.: Васса-Медиа, 2013. — Т. 2. — С. 679–694.
Hashimoto K., Nishimura S., Ito T., Kakinoki R. et al. Treatment outcomes of pathological fractures in patients with benign bone tumors // Medicine (Baltimore). — 2025. — Vol. 104, № 7.ссылка
McDaniel D. J., Rehman U. H. Phalanx Fractures of the Hand // StatPearls. — 2023.ссылка
Bowen J. E. Phalangeal Fractures // Medscape. — 2026.
Wolfe S. W., Hotchkiss R. N., Pederson W. C., Kozin S. H. et al. Green's Operative Hand Surgery. — 7th ed. — Elsevier, 2017. — P. 456–489.
Chung K. C. Operative Techniques: Hand and Wrist Surgery. — 3rd ed. — Elsevier, 2018. — P. 49–98.
Garcia А. Nonoperative treatment // AO Surgery Reference. [Электронный ресурс]. Дата обращения: 28.04.2026.
Abzug J. M., Gaston R. G., Osterman A. L., Tosti R. J. et al. Pediatric and Adult Hand Fractures: A Clinical Guide to Management. — 1st ed. — Springer, 2023. — P. 167–178.
Caruso G., Massari L., Lentini S., Setti S. et al. Pulsed Electromagnetic Field Stimulation in Bone Healing and Joint Preservation: A Narrative Review of the Literature // Appl Sci (Basel). — 2024. — Vol. 14, № 5.
Hirt B., Seyhan H., Wagner M., Zumhasch R. et al. Hand and Wrist Anatomy and Biomechanics: A Comprehensive Guide. — Stuttgart: Thieme, 2017.
Телицын П. Н., Жила Н. Г. Современные аспекты лечения переломов костей стопы и голеностопного сустава // Дальневосточный медицинский журнал. — 2016. — № 3. — С. 138–143.

