Авторы
Литературный редактор:
Юлия Липовская
Вступление
В клинику дентальной микроскопии "Эст" г. Самары обратилась пациентка с жалобами на "некрасивую улыбку". Женщина относилась к "тревожному" типу людей, поэтому потребовалось несколько предварительных консультаций, прежде чем удалось подобрать приемлемый именно для этой пациентки план лечения. Облегчало ситуацию то, что женщина охотно шла на контакт, а её "боязливость" была скорее связана с психологическими особенностями, которые она осознавала и желала преодолеть.
Жалобы
Пациентку беспокоили не столько кариозные поражения практически на всех передних зубах, сколько зуб 12 (правый верхний боковой резец), расположенный вне дуги. От предложенного ортопедического лечения пациентка отказалась письменно. О проблемах остальных зубов она догадывалась, но значения им не придавала, акцентируя внимание исключительно на эстетической составляющей будущего лечения.
Зубы, поражённые кариесом, давали слабую, быстро проходящую реакцию на холодное, более выраженную — на сладкое/кислое.
Анамнез
К стоматологу пациентка обращалась очень давно, что связывала со страхом перед врачами и вмешательством. Пломбы на зубах простояли более десяти лет. Все они были окружены вторичным кариесом и подлежали замене.
Стоматологическое здоровье родителей было неблагополучным, в преклонном возрасте оба пользовались съёмными протезами. Пациентка не стояла на диспансерном учёте по каким-либо заболеваниям. Лечением зубов целенаправленно не занималась, обращаясь только с острой болью.
Обследование
По результату общего осмотра внешних покровов патологий не выявлено. Осмотр полости рта: слизистая бледно-розовая, без изменений, открывание рта свободное, осуществляется в полном объёме. Обнаружены:
- глубокий кариес 13 зуба на вестибулярной (со стороны щеки) и медиальной (со стороны позади стоящего зуба) поверхностях;
- глубокий кариес 12 зуба на медиальной и дистальной (со стороны впереди стоящего зуба) поверхностях;
- средний кариес 11 зуба на медиальной и дистальной поверхностях;
- средний кариес 43 зуба на вестибулярной поверхности;
- средний кариес 42 зуба на вестибулярной поверхности.
Остальные зубы пациентки тоже были осмотрены, но их диагнозы не имеют значения в рассмотрении данного клинического случая.
По результатам термических проб и данным радиовизиографии предполагаемые диагнозы были подтверждены.
Диагноз
Зуб 13 — кариес медиальный и вестибулярный глубокий.
Зуб 12 — кариес медиальный и дистальный средний.
Зуб 11 — кариес медиальный и дистальный средний.
Зуб 43 — вестибулярный пришеечный кариес средний.
Зуб 42 — вестибулярный пришеечный кариес средний.
Лечение
Помимо проблемы, указанной пациенткой, были определены и озвучены проблемы остальных зубов. Составлен подробный план лечения, с которым женщина согласилась, что сделало возможным предложить ей не только вылечить кариес, но и исправить положение зуба в зубной дуге.
Пациентке было назначено два посещения для восстановления отдельно зубов верхней (13, 12, 11) и нижней (43, 42) челюстей. Вместе с лечением 12 зуба от кариеса было предложено исправить его положение в зубной дуге путём коррекции вестибулярной поверхности методом прямой реставрации.
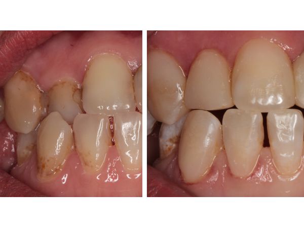
Улучшение внешнего вида пациентка отметила уже после первого визита, когда были восстановлены верхние зубы.
После проведённого лечения был достигнут предполагаемый эстетический результат.
Заключение
Данный клинический случай подтверждает широкие возможности прямой реставрации в эстетической стоматологии. Кроме того, при определённых обстоятельствах (неприятие пациентом ортопедических конструкций, финансовые проблемы) метод прямой реставрации помогает скорректировать незначительные нарушения положения зуба в дуге и тем самым улучшить качество жизни пациента. Но следует отметить, что данная методика призвана помочь исключительно в эстетических целях и на зубах, не несущих существенной нагрузки


