Авторы
Литературный редактор:
Елизавета Отмахова
Научный редактор:
Сергей Федосов
Вступление
В стоматологическую клинику обратился мужчина, у которого застревала пища между верхними зубами.
Жалобы
При детальном расспросе пациент уточнил, что проблемное место находится между двумя правыми премолярами — зубами 1.4 и 1.5.
Пища застревала из-за нависающих краёв пломб и неправильного контактного пункта между зубами.
Анамнез
Примерно год назад мужчина лечил премоляры в другой стоматологической клинике, после чего появилась такая жалоба.
Острых и хронических заболеваний у пациента нет.
Обследование
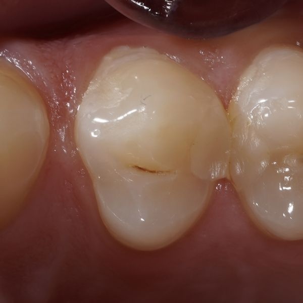
Осмотр подтвердил наличие нависающих краёв пломб. В области соприкосновения зубов 1.4 и 1.5 отмечалось воспаление десны.
По результатам компьютерной томографии и bite-снимкам (внутриротовому исследованию, во время которого пациент смыкает зубы) выявили кариес.
Диагноз
Кариес дентина.
Лечение
Мужчине провели лечение:
- определили исходные контакты премоляров с нижними зубами;
- изолировали передние зубы сплит-дамом;
- окрасили зубы индикатором зубного налёта и удалили его аппаратом AirFlow и Эритритолом (14 мкм);
- удалили пломбу и поражённые кариесом ткани зуба с применением кариес-индикатора (очистили область эмалево-дентинного соединения и 1–2 мм кнутри от неё, при этом светло-розовые участки окрашивания в проекции пульпы (нервов) зуба оставили);
- изолировали зуб 1.4 латексной пластиной и подготовили его к восстановлению адгезивной системой — специальными веществами, улучшающими сцепление зуба с реставрацией;
- запломбировали премоляр композитным материалом из фотополимеров (Estelite, Tokuyama Dental);
- отполировали зуб и определили новые контакты с их последующей коррекцией.
На протяжении всего лечения вели фотопротокол всех этапов лечения. После манипуляции сделали рентген.
Пациенту дали рекомендации по уходу за реставрацией и советовали также пройти лечение зуба 1.5. Следующий осмотр назначили через 10 дней.
На втором приёме спустя 10 суток мужчина отметил, что пища между зубами больше не застревала. Чтобы закрепить эффект, пломбу ещё раз отполировали.
Заключение
Этот клинический случай показывает, что стоматологическое лечение, основанное на современных протоколах и доказательной медицине, позволяет получить прекрасные результаты. Однако качественное лечение невозможно провести без адекватной диагностики (bite-снимков и КЛКТ), различных систем изоляции зубов, современных композитных пломбировочных материалов, увеличения (фотоаппарата, бинокуляров, микроскопа), кариес-индикатора и других инструментов.
Благодаря всем этим современным возможностям стоматолог может восстановить физиологический контакт между зубами и сделать отличную реставрацию без нависающих краёв, что максимально увеличит жизненный цикл зуба.







