Авторы
Литературный редактор:
Елизавета Отмахова
Научный редактор:
Сергей Федосов
Шеф-редактор:
Маргарита Тихонова
Вступление
В клинику «Медалл» обратился мужчина, чтобы сделать профессиональную гигиену рта.
Жалобы
В последнее время пациент стал отмечать чувствительность левых верхних премоляров (зубов 2.4 и 2.5) к горячему, холодному и сладкому. Кариеса он не замечал.
Чувствительность проходила после чистки зубов и через некоторое после еды.
Анамнез
В последний раз мужчина был у стоматолога 3 года назад. Ранее также лечил зуб 2.5 по поводу кариеса, с зубом 2.4 проблем не было. Профессиональную гигиену полости рта до этого никогда не делал.
Работа пациента не сопряжена с профессиональными вредностями. Мужчина никогда не пользовался зубной нитью и межзубными ёршиками.
Обследование
На приёме полость рта осмотрели с помощью микроскопа, что позволило заподозрить кариес зубов 2.5 и 2.4.
Компьютерная томография (КТ) подтвердила это предположение.
Диагноз
К02.1 Кариес дентина зубов 2.4 и 2.5.
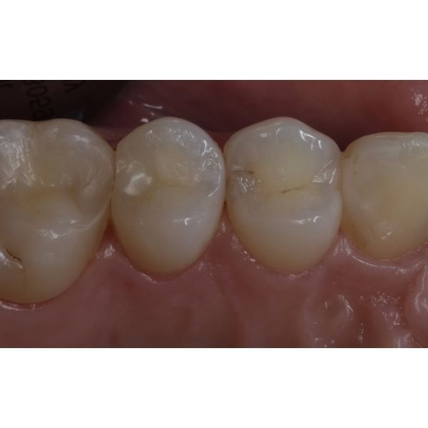
Лечение
Пациенту сразу же провели лечение:
- сделали анестезию;
- изолировали операционное поле системой коффердам;
- раскрыли полость зубов;
- обработали кариозный дентин, контролируя процесс через микроскоп;
- восстановили плотные точечные контакты между поражёнными премолярами при помощи матричной системы;
- нанесли адгезив, чтобы пломбировочные материал лучше держались на поверхности зубов;
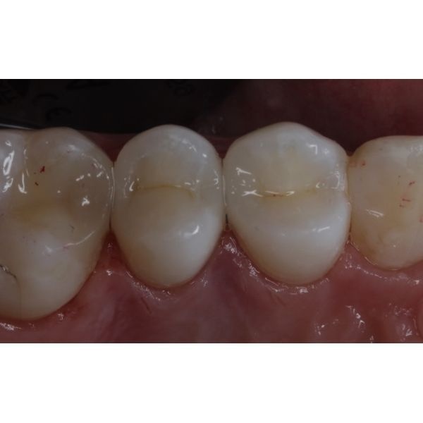
- запломбировали полости композитным светоотверждающим материалом Filtek z250 — восстановили первоначальную форму зубов (бугры и углубления) с учётом правильной анатомии и контактов с нижними зубами.
После процедуры чувствительность пропала.
Мужчина был полностью доволен результатами.
Заключение
Очень часто кариес развивается незаметно для пациентов, так как патологический процесс начинается на контактных пунктах и развивается вглубь зуба, и внешне это никак не проявляется. Такие изменения можно увидеть только на КТ. Поэтому важно каждые полгода посещать стоматолога для профилактического осмотра.
Наряду с КТ хорошим методом диагностики является использование аппарата DIAGNOcam, который просвечивать зубы насквозь. Кариозные контакты отражают другой по интенсивности свет, что очень хорошо видно и доктору, и пациенту.
Чтобы улучшить гигиену межзубного пространства, удалить бактериальную микрофлору и предотвратить развитие кариеса, важно использовать зубную нить и межзубный ёршик. Также следует снизить потребление травмирующей пищи, например хлебцев или сухариков, и полностью избавиться от привычки грызть ручки и другие твёрдые предметы, так как это приводит к образованию микротрещинок на зубах, в которых также могут скапливаться бактерии.






